Einleitung
Die Wirksamkeit von Skoliose-Orthesen wird in den jüngsten Studien aus dem Jahr 2013 nachgewiesen, wobei hier der genauere Orthesentyp nicht weiter spezifiziert wird 1 2.
Als Standard hat sich in Deutschland in den letzten Jahrzehnten die dreidimensionale Korrekturtechnik nach Chêneau und Rigo mit dem mittlerweile nach beiden Medizinern benannten Korsett durchgesetzt (Abb. 1). Sie ist zu einem wirksamen Therapiekonzept weiterentwickelt worden 3. Dieses hat folgende Kriterien zu erfüllen:
- Verhinderung der Progredienz, möglichst eine Verbesserung der Verkrümmungswerte;
- derotierende Wirkung;
- lotrechter Stand des Patienten;
- Verhinderung einer weiteren Ausbildung des Flachrückens („flat back”);
- Patientencompliance;
- Tragekomfort für den Patienten (geringes Gewicht, leichte Handhabung, geeignete Luftzirkulation, keine Druck- bzw. Scheuerstellen);
- in Wachstumsphasen soll die Orthese möglichst lange passgerecht sein.
Korrekte Beurteilung einer Skoliose
Unabdingbar bei der Anfertigung und Kontrolle einer Skoliose-Orthese ist die exakte Beachtung der individuellen (kypho-)skoliotischen Krümmungsmuster. Funktionell werden diese Deformierungen der Wirbelsäule als 3- und 4‑bogige Skoliosen bezeichnet („three curve scoliosis”/„four curve scoliosis”) und auch so behandelt (Abb. 2a u. b, 3). Diese Bezeichnung(en) zählen die jeweilige Gegenkrümmung mit (4 S. 17).
Ausgangspunkt für die korrekte Beurteilung einer Skoliose ist eine Ganzwirbelsäulenaufnahme (GWS) im Röntgen. Mittlerweile hat sich an unserer Klinik eine Aufnahme in p.-a.-Richtung etabliert, um bei Mädchen die Ovarien durch Abdeckung des Os ilium zu schützen (Abb. 4). Anhand der GWS kann der Fachmann die wichtigen Parameter wie die Lotabweichung, das Ausmaß der Skoliose, eine eventuell vorhandene und unbedingt zu beachtende Beinverkürzung und das Risser-Stadium beurteilen.
Ebenso ist, zumindest zu Beginn der orthetischen Versorgung, eine Beurteilung des sagittalen Profils im Röntgen erforderlich. Eine alternative Rasterstereografie ist nach Ansicht des Autors im Korsettbau dagegen wenig hilfreich, auch wenn sie dem Arzt im weiteren Behandlungsverlauf Aussagen über einen Progredienzausschluss liefern kann (Abb. 5).
Passformkontrolle beim Korsett
Um im Behandlungsteam eine Skoliose-Orthese auf korrekten Sitz und größtmögliche Effektivität überprüfen zu können, müssen den Verantwortlichen die im Folgenden angeführten Parameter zur Beurteilung eines Korsetts geläufig sein.
Dem skoliotischen Krümmungsmuster folgend ist der hochthorakale Gegenhalt des Korsetts von großer Bedeutung. Bei der Passformkontrolle ist das Augenmerk auf eine ausgeprägt hohe Achselanlage und einen damit eng verbundenen lateralen Gegenhalt zu richten.
Bei einem neuen Korsett sollte ein kontrollierender Zeigefinger nur unter deutlichen Einklemmungserscheinungen zwischen cranialem Korsettrand und nicht abduziertem Arm unter die Achsel passen (Abb. 6a u. b). Je mehr Finger sich im weiteren Behandlungsverlauf einlegen lassen, umso größer ist (bei einem passgerecht gebauten Korsett) das absolvierte Längenwachstum im Rumpf. Damit ist ein Kriterium für eine Neuanfertigung gegeben.
Ein weiteres Kriterium ist die Zunahme der Spinenweite, die ebenso eine Neuanfertigung des Korsetts notwendig macht. Hierbei kommt es häufig zu Trageproblemen während des Wachstums.
Bei den mit den Druckzonen korrespondierenden Expansionsräumen kann man mit einem prüfenden Finger ein ausreichendes Volumen testen (Abb. 7a u. b). Hier sollte bei kräftigem Einatmen genügend Freiraum feststellbar sein. Dieser Umstand harmoniert allerdings oft nicht mit dem kosmetischen Anspruch der Patientinnen.
Die Patientencompliance ist bei einem zu heftig ausgebeulten Korsett deutlich schlechter. Das kann letztlich dazu führen, dass Patienten die Orthese nicht tragen. Bei einer Erstversorgung ist es für den Orthopädie-Techniker häufig schwierig einzuschätzen, um wie viel sich eine Skoliose aufrichtet; dementsprechend muss ein gewisser Abstand zwischen Körperoberfläche und Korsett eingehalten werden, der anfänglich manchmal zu etwas zu großen Expansionsräumen mit dem geschilderten Nebeneffekt führen kann.
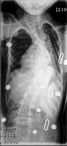
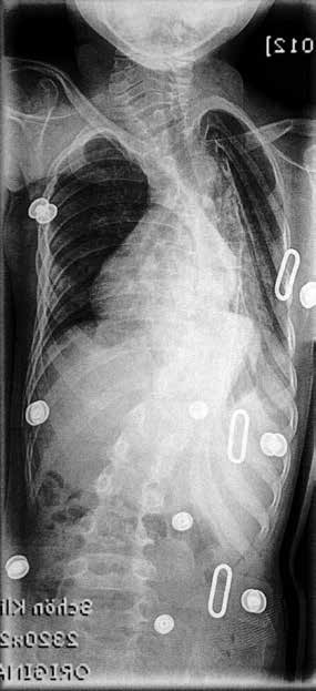
Lage und Funktionsrichtung der Druckzonen sind das wichtigste Kriterium für ein optimal korrigierendes Korsett. Diese müssen auch noch nach der Aufrichtung in der Orthese auf der richtigen Höhe liegen. Eine visuelle Überprüfung mit einem Dermographietest ist nur bedingt aussagefähig. Hierbei wird die Haut gegenüber den Druckzonen durch die Öffnungen in den Expansionsräumen durch leichtes Kratzen markiert, um diese Markierungen dann nach Abnahme des Korsetts mit den sich auf der Haut abzeichnenden Druckzonen in der Höhe zu vergleichen (5 S. 45). Aussagekräftiger ist allerdings immer ein Röntgenbild mit einer vorherigen Markierung der Druckzonen im Korsett mit Blumendraht, Büroklammern oder ähnlichen Markern (Abb. 8).
Um die im thorakalen Bereich derotierende Wirkung zu beurteilen, sollte man mit dem Finger den Freiraum des Thorax unter der rechten Brust im Korsett bei maximaler Inspiration überprüfen. Hierbei darf es zu keiner Einengung des Patienten kommen, damit das volle Maß an Atembewegung in den Freiraum genutzt werden kann. Aus dieser Funktionsbewegung leitet sich unter anderem der Begriff „teilaktives Derotationskorsett” her, siehe Abbildung 9a u. b.
Bedeutsamkeit der Spontanaufrichtung
Ein weiteres wichtiges Kriterium für eine wirksame Orthesenversorgung ist nach wie vor die Beurteilung der Spontanaufrichtung im Korsett, die je nach Literatur bei ca. 30 % der Verkrümmung liegen sollte 6 7 8. Dies steht allerdings im Widerspruch zur ebenfalls geforderten Progredienzverhinderung, die in manchen Fällen schon als Behandlungserfolg gesehen wird und zumindest zum Ende der konservativen Behandlung als Endergebnis in Aussicht gestellt wird.
Grundsätzlich steht für den Autor die Compliance des Patienten in der orthetischen Therapie im Vordergrund. Das dogmatische Festhalten an 30-prozentigen Verbesserungen der ursprünglichen Verkrümmungswinkel kann für den Patienten schnell zum tränenreichen Ende der Therapie führen. Angesichts der zahlreichen Parameter ist der Erfolg oft nicht vorab festzulegen und damit gerade bei der ersten Korsettkontrolle auch nicht einforderbar.
Ein Indikator für eine gut korrigierende Orthese ist die unmittelbare Kontrolle der Körpergröße unter dem Längenmessstab ohne und mit angezogenem Korsett. So ist auch ohne Röntgenbild eine Spontankorrektur nachweisbar, wenn die Körpergröße in einem funktionsgerechten Korsett um 1 bis 1,5 cm zunimmt (Abb. 10).
Die Kontrolle des lotrechten Standes vor und nach der Versorgung mit einer Orthese ist von großer Bedeutung und kann problemlos und schnell mit einem dynamischen Laserlot durchgeführt werden. Eine eventuell vorhandene Beinlängendifferenz spielt immer eine wichtige Rolle bei der Behandlung einer Skoliose. Eine durchgängige Verlaufsdarstellung der Primär- und Sekundärkrümmungen kann dem Team und dem Patienten einen Erfolg der Therapie deutlich machen. Dies kann für alle Beteiligten ein wichtiger Motivator sein.
Das Team ist wichtig
Eine sachgerechte Begleitung der orthetischen Versorgung liegt nicht nur in der Verantwortung des behandelnden Arztes und des Orthopädie-Technikers, sondern auch in der des Physiotherapeuten, der Eltern und der begleitenden Pädagogen. Am häufigsten wird das Kind von seinen Eltern und vom Physiotherapeuten gesehen. Des Weiteren folgt zu Beginn der orthetischen Behandlung nach wenigen Wochen und dann in größer werdenden Zeitabständen eine Überprüfung der Orthese durch den Orthopädie-Techniker. Die ärztliche Kontrolle erfolgt meistens halbjährlich und damit im größten Zeitfenster.
Von allen Beteiligten ist ein großes Maß an Sachkenntnis gefordert, um dem jungen Patienten hilfreich zur Seite zu stehen und damit für eine wirksame und passgerechte Orthese zu sorgen.
Fazit
Eine adäquat wirkende Skoliose-Orthese setzt nicht nur große Erfahrung beim Orthopädie-Techniker voraus, sondern auch beim verordnenden und kontrollierendem Ärzteteam, das über Lage und Funktion der einzelnen Druckzonen unter Beachtung des skoliotischen Krümmungsmusters informiert sein muss.
Eine erfolgreiche Behandlung einer adoleszenten idiopathischen Skoliose ist nur mit einer individuell gefertigten und möglichst lange optimal passenden Orthese erfolgreich und kann keinesfalls von einer Fertigorthese geleistet werden. Lage und Wirkung der Druckzonen und die mit ihnen korrespondierenden Freiräume sind von größter Bedeutung und müssen vom Behandlungsteam unter den oben geschilderten Parametern beurteilt werden können.
Um Röntgenaufnahmen wegen der erhöhten Strahlenbelastung für Skoliotiker so weit wie möglich zu reduzieren, wurden Aspekte einer schnellen, unkomplizierten Wirkungskontrolle einer Skoliose-Orthese aufgezeigt. Mit allen Beteiligten sollten realistische Versorgungsziele vereinbart werden, um eine größtmögliche Compliance statt Therapiefrustration zu erreichen.
Der Autor:
Rainer Hilker, Orthopädietechniker-Meister
c/o Orthopädietechnik Bauche GmbH
Am Kiebitzberg 10
23730 Neustadt
r.hilker@ot-bauche.de
Begutachteter Beitrag/Reviewed paper
Hilker R. Was haben Orthopädie-Techniker und Arzt in der Begleitung orthetischer Skoliosebehandlungen zu beachten? – Abnahmekriterien und Kontrollen. Orthopädie Technik, 2014; 65 (4): 56–59
- Entwicklung eines zum physiologischen Gangbild kongruenten polyzentrischen Knieorthesengelenks – Zwischenstand eines Forschungsprojektes — 10. April 2026
- Mikroprozessorgesteuerte stand- und schwungphasenkontrollierte Ganzbeinorthesen (SSCO): Entwicklung, Systeme und Versorgungsrealität in der orthopädietechnischen Praxis — 9. April 2026
- Gips oder Orthese bei distalen Radiusfrakturen? — 8. April 2026
- Weinstein SL, Dolan LA, Wright JG, Dobbs MB. Effects of bracing in adolescents with idiopathic scoliosis. N Engl J Med, 2013; 369 (16): 1512–1521. doi: 10.1056/NEJ-Moa1307337. Epub 2013 Sep 19 (Zugriff am 22.12.2013)
- Skoliose: Studie bestätigt Nutzen von Orthesen. www.aerzteblatt.de/nachrichten/55911/Skoliose-Studie, Zugriff am 06.11.2013
- Weiß HR. Die Korsettversorgung bei Skoliose im Wachstumsalter. Orthopädie Technik, 2012; 63 (1): 46–51
- Weiß HR, Rigo M, Chêneau J, Werkmann M, Heinen H‑J. Praxis der Chêneau-Korsettversorgung in der Skoliosetherapie, Stuttgart: Thieme, 2000: 17
- Weiß HR, Rigo M, Chêneau J, Werkmann M, Heinen H‑J. Praxis der Chêneau-Korsettversorgung in der Skoliosetherapie, Stuttgart: Thieme, 2000: 17
- Matussek J, Mellerowicz H, Klöckner C, Sauerlandt B, Nahr K, Neff G. Zwei- und dreidimensionale Korrektur von Skoliosen durch Korsettbehandlung. Der Orthopäde, 2000; 29: 490–499
- Chêneau J, Bovelet K. Das Chêneau-Korsett: ein Handbuch. Behandlung der Skoliose bei üblicher Indikation der Orthese. Dortmund: Verlag Orthopädie Technik, 1993
- Petersen D, John H. Die Orthesen für den Rumpf. Stuttgart: Thieme, 1984: 168
















