Einleitung
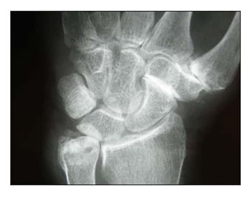
Die Rhizarthrose gehört zum rheumatischen Formenkreis und macht sich je nach Stadium durch eine sehr schmerzhafte zunehmende arthrotische Zerstörung des Daumensattelgelenkes bemerkbar. Nach einer Untersuchung von Pellegrini 1 erkranken Frauen 10- bis 15-mal häufiger an Rhizarthrose als Männer. Das deckt sich mit den Erfahrungen des Autors aus den Evaluierungsübersichten von fast 4.000 Patientinnen und Patienten mit dem durchschnittlichen Verhältnis von 13:1 zugunsten der Patientinnen. Die Rhizarthrose tritt bei Frauen nach den Erfahrungen des Autors ca. 3 Jahre nach dem Beginn der Menopause auf und ist vermutlich genetisch bedingt: Nur zwei Prozent der Patientinnen des Autors erwähnten in der Anamnese, keine Schwangerschaft gehabt zu haben. Auslöser für die Rhizarthrose bei Männern ist in den meisten Fällen eine traumatisch bedingte Verletzung des Daumensattelgelenkes („Skidaumen“) oder eine ständige berufliche Überbeanspruchung, zum Beispiel bei Vibrationen durch Maschinen oder auch durch handschriftliches Schreiben in Büroberufen. Die Rhizarthrose tritt nach Eaton/Littler radiologisch klassifiziert in vier Stadien auf (Abb. 1) 2:
- Stadium I: normale Gelenkkonturen, erweiterter Gelenkspalt (Erguss)
- Stadium II: geringe Gelenkspaltverschmälerung, evtl. vorhandene Gelenktrümmer kleiner als 2 mm
- Stadium III: sklerotische und zystische Veränderungen im subchondralen Knochen, Osteophyten größer als 2 mm, Zerstörung des Daumensattelgelenkes, normale trapezioskaphoidale Gelenkfläche
- Stadium IV: zusätzlich zum Verschleiß der trapeziometakarpalen Gelenkfläche degenerative Veränderungen im Bereich der trapezioskaphoidalen Gelenkfläche
Die Patienten geben bereits beim Stadium I Schmerzen beim Pinzettengriff und/oder beim kleinen oder großen Rundgriff an. Häufig treten die ersten Schmerzen beim Schwenken der Daumen zur volaren Handfläche auf. Beim Stadium II treten die Subluxationsstellung im Daumensattelgelenk und eine temporäre Schmerzhaftigkeit bei vielen Tätigkeiten sowie häufig auch in Ruhe auf. Im Stadium III findet sich eine deutliche Luxierung des Daumensattelgelenkes und eine beginnende Proximalisierung des Mittelhandknochens des Daumens. Zusätzlich geben die Patientinnen und Patienten eine Schmerzhaftigkeit auch bei bereits geringen Bewegungen an. Häufig wird auch über Nachtschlafstörungen beim Greifen nach dem Kopfkissen oder dem Oberbett geklagt. Im Stadium IV finden sich ebenfalls eine deutliche Luxierung des Daumensattelgelenkes, eine deutliche Proximalisierung des Daumenmittelhandknochens und eine Schmerzhaftigkeit auch bei bereits geringen Bewegungen. Häufig findet man eine Fehlstellung des Daumens im Daumengrundgelenk. Oft ist zunächst die sekundäre Hand – beim Rechtshänder das linke Daumensattelgelenk, beim Linkshänder umgekehrt – von der Rhizarthrose betroffen. 18 Prozent der versorgten Patienten litten an einer zu versorgenden doppelseitigen Rhizarthrose. Durch einen vom Autor 2010 entwickelten Testgriff – ähnlich dem Ansatz des Daumens beim Händeschütteln – durch Druck des Daumens der Patienten in die Tabatiere des Behandlers kann festgestellt werden, bei welchem Druck der Schmerz einsetzt.
Behandlung der Rhizarthrose
Konservative Versorgung
Die Behandlung der Rhizarthrose erfolgt im klassischen Verlauf zunächst durch eine Therapie mit entzündungshemmenden Schmerzmitteln und weiteren nichtoperativen medizinischen Maßnahmen. Hinzu kommen Ergo- und Physiotherapie. Verschiedene das Daumengrundglied und das Handgelenk umfassende Daumenorthesen oder ‑bandagen sind bei den leichteren Formen der Rhizarthrose weltweit therapeutischer Standard. Das Ziel der vorübergehenden Schmerzlinderung durch die Behandlung mit Daumenorthesen und ‑bandagen ist die Ruhigstellung des Daumensattelgelenkes unter Einfassung des Handgelenkes und des ersten Daumengliedes. Hier seien beispielhaft die Produkte „RhizoLoc®“ (Bauerfeind) und „SellaFix®“ (Bort) genannt. Häufig verordnet der Facharzt zusätzlich entzündungshemmende Medikamente. Einige Orthesen wie beispielsweise der „Rhizo-Ring®“ (Sporlastic) oder die „Push ortho Daumenorthese CMC“ (Ofa) verzichten auf Daumen- und Handgelenkumfassung und ziehen das Daumensattelgelenk durch zirkulären Druck zusammen. Auf diese Weise reduzieren sie das Spiel der aufeinander reibenden arthrotischen Gelenkflächen.
Die Studienlage zu Rhizarthroseversorgungen mit industriell und individuell gefertigten Daumenorthesen ist insbesondere im englischsprachigen Bereich sehr umfangreich:
- Maddali-Bongi et al. untersuchten bei 50 Patienten nach 30 Tagen und nach einem Jahr die Wirksamkeit der Versorgung mit einer individuell gefertigten Daumenorthese in Bezug auf die Reduktion des Schmerzempfindens und die Verbesserung der Griffkraft. Es zeigte sich nach 30 Tagen eine Zunahme der Griffkraft um 14 % und eine Schmerzreduktion um 56 %, nach einem Jahr immer noch um 46 % 3.
- In einer sehr detaillierten Meta-Analyse mit 9 eingeschlossenen Studien fanden Kjeken et al. einen signifikanten Nachweis für die Schmerzreduktion durch individuell gefertigte ruhigstellende Orthesen, wohingegen der Effekt von Übungsbehandlungen nicht eindeutig belegt werden konnte 4.
- Im Gegensatz dazu beschreiben Aebischer et al. in ihrer Meta-Analyse mit 27 eingeschlossenen Studien den positiven Aspekt sowohl von vorgefertigten Neoprenals auch von individuell gefertigten Thermoplast-Orthesen, allerdings eher als einen von mehreren Bausteinen im multimodalen Gesamtkonzept 5.
Operationstechniken bei Rhizarthrose
Bei der operativen Versorgung des arthrotischen Daumensattelgelenkes werden heute verschiedene Operationstechniken mit unterschiedlichen Ergebnissen angewandt, beispielsweise die Resektion des großen Vieleckbeines nach Epping, die Einfügung von Interponaten sowie Implantate von Sattelgelenkprothesen bis hin zur Arthrodese des Sattel- und Daumengrundgelenkes. Einen genaueren Überblick mit Evaluierungsergebnissen findet man in der Übersichtsarbeit von Spies et al. 6.
Die Entwicklung der „Rhizarthrose Extensions Orthese“ (R. E. O.)
Im Jahre 2010 wurde im Hümmling Hospital im niedersächsischen Sögel eine neue konservative Behandlungsmethode gesucht, da die bisherigen, vorgefertigten Bandagen und Orthesen für die Patienten auf Dauer vielfach keine Schmerzlinderung erbrachten. Die industriell gefertigten Orthesen und Bandagen waren häufig aufgrund des Materials nicht im beruflichen Umfeld einsetzbar, sei es wegen mangelnder Haltbarkeit oder aus hygienischen Gründen. Im Gegenteil – die Rhizarthrosen entwickelten dadurch, dass die verordneten Orthesen und Bandagen wegen fehlender Compliance nicht getragen wurden, immer schmerzhaftere Ausprägungen. Zudem konnte und wollte sich ein Teil der Patienten nicht operieren lassen – teilweise, um ihren Arbeitsplatz durch die längere Arbeitsunfähigkeit nicht zu gefährden, teilweise aber auch, um sich nicht bei jeder Operation möglichen weiteren Risiken auszusetzen. Diese Patienten waren häufig insgesamt unzufrieden mit der bisherigen konservativen Versorgung. Die von Ergo- und Physiotherapeuten angewandte biodynamische Lösung bestand in einer Extension. Das bedeutet, dass ein Zug am Daumen den Druck reduziert und damit zu einer Schmerzreduktion im Daumensattelgelenk führt.
Der Autor suchte daraufhin eine von der bisherigen Praxis abweichende technische Lösung für das Problem. Zunächst entwickelte er durch Exploration einen weiteren Testgriff unter Anwendung einer schiebenden Distraktion auf die Basis des Daumensattelgelenkes. Bei der Anwendung gaben die versorgten Patienten bereits zu über 80 % eine sofortige oder weitgehende Schmerzfreiheit beim festen Rundgriff auf die Tabatiere des Behandlers an. Nach der gewonnenen Erfahrung mit dem Testgriff wurden diese Erkenntnisse mit der technischen Lösung der Pelottierung und dem Bau des Orthesenkörpers der „Rhizarthrose Extensions Orthese“ (Abb. 2) umgesetzt.
Im Gegensatz zu fast allen anderen bisherigen Daumenorthesen wird bei der R. E. O. weder der Daumen noch das Handgelenk in die Orthese eingeschlossen. Anstatt Zug am Daumen auszuüben und das Daumensattelgelenk ruhigzustellen, wird der auf das Daumensattelgelenk schiebende Druck des Daumens über den Mittelhandknochen mittels einer speziell konstruierten Pelotte auf den Orthesenkörper und damit auf die Mittelhand umgeleitet. Somit wird das Daumensattelgelenk druckentlastet. Bei der Entwicklung der „R. E. O.“ stellte sich heraus, dass das Daumensattelgelenk durch die Distraktion permanent getrennt wird. Das hat zur Folge, dass die arthrotischen Gelenkflächen des Daumensattelgelenkes bei den allermeisten Versorgungen nicht mehr schmerzhaft aufeinander reiben können.
Nach insgesamt 11 Entwicklungsschritten an Orthesenkörper, Material und Pelotte wurde die „Rhizarthrose Extensions Orthese“ 2012 zum Gebrauchsmuster beim Europäischen Patent- und Markenamt angemeldet. Seit Ende 2012 ist die „Rhizarthrose Extensions Orthese“ unter dem Aktenzeichen 20 2012 009 952.3 gebrauchsmustergeschützt. Somit unterliegt die Anfertigung der „R. E. O.“ und die Behandlung von Rhizarthrose-Patienten dem deutschen Patentrecht. Die Versorgung mit der Orthese erfolgt ausschließlich durch lizenzierte Orthopädie-Technik-Meisterbetriebe. Die „R. E. O.“ und deren Weiterentwicklung – die „Carbonfaser Rhizarthrose Extensions Orthese“ – sind unter den HMV-Positionen 23.07.34.1001 bzw. 23.07.34.0001 als individuelle Sonderanfertigungen abrechnungsfähig. Sie werden von fast allen gesetzlichen und privaten Krankenkassen und der Beihilfe bis auf den gesetzlichen Eigenanteil übernommen.
Therapieverlauf
Nach zehn Jahren Erfahrung besteht die vom Verfasser durchgeführte Rhizarthrose-Extensionstherapie aus folgenden Elementen:
- der individuellen Anpassung der “R.E.O.””,
- einer regelmäßigen das Sattelgelenk mobilisierenden ergotherapeutischen Behandlung,
- einer behandlungsbegleitenden ärztlichen und orthopädietechnischen Überwachung im Abstand von 3 Monaten sowie
- (falls erforderlich) einer Medikation nach Bedarf.
Die meisten Patienten wenden nach einer Eintragezeit von 7 Tagen die „R. E. O.“ für die Dauer von 9 Monaten täglich 24 Stunden an. Die Orthese wird lediglich für die Körperpflege und die Desinfektionszeit der Versorgung abgelegt. Regelmäßige Kontrollen und Nachpassungen finden entsprechend der Entwicklung der Rhizarthrosen im Abstand von jeweils drei Monaten statt. Alle Versorgungen werden durch die lizenzierten Unternehmen für die Dauer von einem Jahr in einer Evaluierungsübersicht erfasst und durch farbige Codierung nach Angaben der Patienten bewertet.
Erfahrungswerte aus der Anwendung
Mittlerweile wurden seit 2010 fast 4.000 Versorgungen für Rhizarthrose-Patienten durchgeführt. Jeder Lizenznehmer führt eine Evaluierungsübersicht, deren Ergebnisse im Folgenden aufgelistet sind:
- 63 % der versorgten Patienten gaben eine komplette Schmerzfreiheit an.
- 24 % der Patienten gaben eine sehr deutliche Schmerzreduktion an und konnten dadurch die beruflichen Tätigkeiten und Verrichtungen weiterhin oder zumindest weitestgehend schmerzreduziert ausführen.
- 6 % der Patienten konnten keine Schmerzreduktion feststellen.
- 7 % der Patienten haben die Behandlung mit der „R. E. O.“ abgebrochen oder wurden anschließend operativ versorgt.
- Lediglich 10 % der versorgten Patienten, die wegen der Rhizarthrose vorher nur unter Schmerzmitteleinsatz arbeiten konnten, benötigen weiterhin eine Schmerzmedikation.
Aus diesen Daten lässt sich schließen, dass die „Rhizarthrose Extensions Orthese“ eine erfolgreiche Behandlungsmethode in der konservativen Behandlung der Rhizarthrose darstellt. Die Zusammenstellung der Evaluierungsdaten ist auf Anfrage beim Autor erhältlich.
Nach Rückmeldung kooperierender Chirurgen und Orthopäden stellt die „Rhizarthrose Extensions Orthese“ den Lückenschluss zwischen der bisherigen Versorgung mit ruhigstellenden industriell gefertigten Daumenschienen, Körper und innere Organe belastenden Medikationen und viel zu frühen operativen Behandlungsmethoden (mit auch nicht immer befriedigenden Ergebnissen) dar.
Fazit
Im Gegensatz zu anderen orthetischen Versorgungskonzepten bei Rhizarthrose (die teilweise allein auf Ruhigstellung beruhen und dadurch zwar Schmerzen reduzieren, aber gleichzeitig die Funktion einschränken) oder funktionellen Orthesen (die eine Extension und damit Schmerzreduktion durch Zug auf den Daumen erzielen) arbeitet die „Rhizarthrose Extensions Orthese“ mit einem Schubmoment auf das Sattelgelenk. Diese Entlastung bleibt auch in der Funktion, also in der Bewegung, erhalten. In der nachuntersuchten Patientenklientel (n ≈ 4.000) des Autors und der Lizenznehmer berichteten 87 % der Versorgten über eine komplette oder weitestgehende Schmerzfreiheit bei kaum eingeschränkter Mobilität. Die Erfolgsquote ist auch deswegen so hoch, weil einfache Testgriffe im Vorfeld der Versorgung das Ergebnis simulieren können und dadurch Fehlversorgungen vermieden werden.
Der Autor:
Herbert Seidel, OMM
Ginsterweg 9
49777 Klein Berßen
herbert.seidel@ewetel.net
Begutachteter Beitrag/reviewed paper
- Entwicklung eines zum physiologischen Gangbild kongruenten polyzentrischen Knieorthesengelenks – Zwischenstand eines Forschungsprojektes — 10. April 2026
- Mikroprozessorgesteuerte stand- und schwungphasenkontrollierte Ganzbeinorthesen (SSCO): Entwicklung, Systeme und Versorgungsrealität in der orthopädietechnischen Praxis — 9. April 2026
- Gips oder Orthese bei distalen Radiusfrakturen? — 8. April 2026
- Pellegrini VD Jr, Burton RI. Osteoarthritis of the proximal interphalangeal joint of the hand: Arthroplasty or fusion? J Hand Surg (Am), 1990; 15: 194–209
- Eaton RG, Glickel SZ, Littler JW. Tendon interposition arthroplasty for degenerative arthritis of the trapeziometacarpal joint of the thumb. J Hand Surg (Am), 1985; 10: 645–654
- Maddali-Bongi S, Del Rosso A, Galluccio F, Sigismondi F, Matucci-Cerinic M. Is an intervention with a custom-made splint and an educational program useful on pain in patients with trapeziometacarpal joint osteoarthritis in a daily clinical setting? Int J Rheum Dis, 2016; 19: 773–780
- Kjeken I, Smedslund G, Moe RH, Slatkowsky-Christensen B, Uhlig T, Hagen KB. Systematic review of design and effects of splints and exercise programs in hand osteoarthritis. Arthritis Care Res, 2011; 63: 834–848
- Aebischer B, Elsig S, Taeymans J. Effectiveness of physical and occupational therapy on pain, function and quality of life in patients with trapeziometacarpal osteoarthritis – a systematic review and meta-analysis. Hand Ther, 2016; 21: 5–15
- Spies CK, Langer M, Hahn P, Müller LP, Unglaub F. The treatment of primary arthritis of the finger and thumb joint. Dtsch Arztebl Int, 2018; 115: 269–275. doi: 10.3238/arztebl.2018.0269







