Einleitung
Die Ära der Behandlung nach „eigenen Erfahrungswerten“ ist vorbei. Evidenzbasierte Medizin ersetzt eminenzbasiertes Vorgehen. Die anamnestischen Angaben der Patienten, aber auch die diagnostischen Fähigkeiten des untersuchenden Arztes werden zunehmend in Zweifel gezogen. Eine differenzierte Diagnostik mittels Bildgebung als Beweis für die Behandlungsindikation mit dem Nachweis der Behandlungswirksamkeit durch Messergebnisse wird gefordert. Der Preis dafür ist hoch. Die Kosten der bildgebenden Diagnostik übersteigen nicht selten die Behandlungskosten. Gerade bei der Orthetik wäre eine differenzierte klinische Untersuchung oder ein Therapieversuch bei geringem Nebenwirkungsrisiko der kosteneffizientere Weg. Die für dieses Vorgehen notwendige wissenschaftliche Beweisführung wurde aber bisher vernachlässigt, und so schwebt das Damoklesschwert der Kostenverweigerung über dieser Behandlungsform.
Die Pharmaindustrie mit ihren Schmerzmedikamenten, aber auch die medizintechnische Branche mit ihren Implantaten hat vorgeführt, wie Wissenschaft zum wirtschaftlichen Erfolgsfaktor wird. Die Orthopädie-Technik kann bei Wirbelsäulenorthesen nur für die Behandlung der Adoleszentenskoliose durch eine gezielte Grundlagenforschung von SRS (Scoliosis Research Society) und SOSORT (International Society on Scoliosis Orthopaedic and Rehabilitation Treatment) die wissenschaftlichen Grundlagen für deren Wirksamkeit liefern 1 2 3.
Diese sehr subjektiven Zeilen sollen als Anregung für eine strukturierte wissenschaftliche und klinische Vorgehensweise bei der Orthesenindikationsstellung dienen. Die Fokussierung auf behandlungswürdige Diagnosen muss das Ziel sein.
Orthesenindikation im Hinblick auf das mechanische Kriterium des knöchernen Umbaus
Julius Wolff und Kollegen haben bereits 1892 erkannt, dass es einen Zusammenhang zwischen mechanischer Belastung und Knochenarchitektur gibt. Das Wolff ̓sche Gesetz bildet somit die Grundlage für die Erkenntnis der Zusammenhänge zwischen Aktivität und Knochenstoffwechsel 4 (Abb. 1). Das SATMU-System (SATMU = skeletal structural adaptations to mechanical usage) kann als gutes Erklärungsmodell für Orthesenindikationsstellungen bei knöchernen Veränderungen dienen. Bei diesem System wird die Belastung der knöchernen Strukturen im Verhältnis zum Knochenumbau dargestellt 5 6 7 8 9.
Daraus ergibt sich, dass bei fehlender oder geringer Belastung ein Knochenabbau (= Osteopenie/Osteoporose) die logische Folge ist. Bei physiologischer Belastung stehen die Knochenumbauprozesse (Knochenaufbau und Knochenabbau) in einem Gleichgewicht. Jede Überbelastung des Knochens führt schlussendlich zur Fraktur. Die Grenze zwischen Remodellierung, Modellierung und Fraktur ist von vielen individuellen Faktoren abhängig (Alter, hormoneller Status, genetische Voraussetzungen etc.).
Wird nun dieses Konzept auf die Orthesenversorgung angewendet, so ergeben sich klare Indikationen. Das oberste Ziel jeder Behandlung von Schmerzpatienten ist die Aktivierung der Patienten. Für die Remodelling-Phase ist daher die lokale Stabilisierung der Wirbelsäule in einer schmerzarmen Stellung zu fordern, damit Knochenaufbau durch Remobilisierung erreicht werden kann. Dazu zählt auch die Frakturbehandlung als temporäre lokale Stabilisierung der Wirbelsäule. In der Phase der Modellierung besteht die Aufgabe der Orthese dann nur mehr in der Verhinderung der schmerzhaften Position bei freier Mobilisierung.
Sind hingegen Knochenbelastungen mit drohender Frakturgefahr zu erwarten, so wird die Orthese zum Protektor. Ob es sich dabei um einen Patienten mit Osteoporose und Sturzgefahr oder um einen jungen Sportler bei riskanten Sportarten handelt, ist zweitrangig. Das Überlastungsrisiko für die Knochenfraktur muss durch die Orthese minimiert werden.
Orthesenindikation im Hinblick auf das mechanische Kriterium der Wirbelsäulenstatik
Das dorsale sagittale Wirbelsäulenprofil
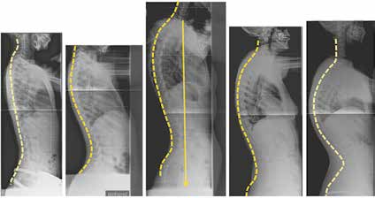
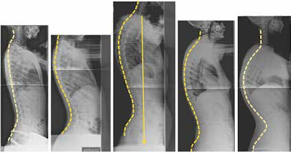
Das dorsale sagittale Wirbelsäulenprofil wird von einer großen Bandbreite an beschwerdefreien Formen geprägt. Ein direkter Zusammenhang zwischen Form und Funktion darf angenommen werden, während die Wahrscheinlichkeit für Beschwerden für den einzelnen Patienten kaum vorhersehbar ist. Werden dagegen Beschwerden diagnostiziert, so kann die Wirbelsäulenstatik in vielen Fällen als gutes Erklärungsmodell herangezogen werden (Abb. 2).
Beeinflussung von Fehlhaltung und Fehlstellung der Wirbelsäule
Es wird bewusst nur von einer Beeinflussung und nicht von einem Ausgleich oder einer Korrektur im eigentlichen Sinne gesprochen, da Orthesen mit geringem Druck, aber langer Zeitanwendung wirken. Die Wirbelsäule wird damit in eine gewünschte Richtung beeinflusst und meist nicht akut korrigiert.
Besonders in der Wachstumsphase kann noch eine Wachstumslenkung erreicht werden. Das beste Beispiel ist die Behandlung der Adoleszentenskoliose. Der Adoleszentenskoliose wird in diesem Beitrag keine besondere Aufmerksamkeit geschenkt, da deren Behandlung nach eigenen gut definierten Empfehlungen verläuft. Trotzdem muss darauf hingewiesen werden, dass die Skoliose durch ihre rotatorische Komponente zur Streckhaltung im sagittalen Profil mit eingeschränkter Beweglichkeit führt. Die unweigerliche Folge ist die Überbelastung der angrenzenden Segmente. Dies ist beim Korsettaufbau zu bedenken und wird bei langstreckigen Wirbelsäulenfusionen zum entscheidenden Faktor zwischen Erfolg und Misserfolg. Die Anschlussdegeneration wird zur Antwort auf jede mangelnde Wirbelsäulenbalancierung.
Die erst gegen Ende der Pubertät auftretende Hyperkyphose des Morbus Scheuermann (Abb. 3) entzieht sich durch den Zeitpunkt ihres Auftretens und damit ihrer späten Diagnostik einer effektiven Orthesenbehandlung 10 11 12. Das Potenzial der Orthesenversorgung zur Verhinderung einer Kyphoseprogredienz ist jedoch in Einzelfällen zu nutzen. Besonders Kyphosen im kaudalen Brustwirbelsäulenbereich bieten dabei günstige Hebelverhältnisse.
Die Behandlung von Spondylolyse und Spondylolisthese mittels Orthesen ist aus den Behandlungsempfehlungen weitgehend verschwunden 13 (Abb. 4). Dies ist nur damit erklärbar, dass Orthesen so dargestellt werden, als seien sie zur Ruhigstellung des gesamten Patienten vorgesehen. Das Gegenteil ist jedoch der Fall: Durch eine lokale Stabilisierung und Wirbelsäulenkorrektur wird eine beschwerdearme Aktivierung der Patienten erst wieder möglich.
Das Betätigungsfeld der Aktivität wird aktuell alleinig der Physiotherapie zugeordnet und damit das Potenzial der Orthetik vernachlässigt. Das Potenzial einer segmentalen korrigierenden Stabilisierung mittels Orthesen zur Aktivierung der Patienten mittels Physiotherapie wird derzeit kaum genutzt.
Der Faktor Zeit stellt eine weitere Größe im Behandlungsregime dar. Die Tragedauer von Orthesen pro Tag und das Zeitintervall ihrer Verwendung müssen in Abhängigkeit von der Indikation festgelegt werden. Die Forderung nach einer Tragedauer von 24 Stunden pro Tag und ein offenes Behandlungsende lassen nichts Gutes erahnen. Vielfach wird die Behandlungsindikation für Orthesen zu spät gestellt oder in Ermangelung alternativer Behandlungsformen eingesetzt. Auch die Hoffnung, eine Operation verhindern zu können, stellt eine schlechte Voraussetzung einer Behandlungsempfehlung mit Orthesen dar. Eine zeitgerechte Indikationsstellung für Orthesen nach klaren klinischen Kriterien mit Anfang und Ende der Behandlung sind zu fordern. Ein klares Behandlungsziel zur Patientenaktivierung ist der Grundpfeiler eines Behandlungserfolgs.
Werden aktuelle Erkenntnisse aus der Wirbelsäulenchirurgie auf die Orthesenversorgung angewendet, so ergeben sich interessante Gesichtspunkte: In der Wirbelsäulenchirurgie steht die sagittale Balance der Wirbelsäule aktuell an oberster Stelle. Dabei werden in die Gesamtbeurteilung der Wirbelsäule das Becken und die Hüften eingeschlossen.
Das neue Konzept „F. B. I.“ (Full Balance Integrated) von J. C. LeHuec bietet nachvollziehbare Lösungsansätze für den Wirbelsäulenchirurgen und liefert damit viele Erkenntnisse, die auch in der Orthesenversorgung so manchen Erfolg oder Misserfolg erklären können 14 (Abb. 5).
Folgende radiologische Parameter werden aktuell verwendet:
- Die Schwerelinie von C7 sollte physiologisch die Deckplatte von S1 schneiden.
- Zum funktionellen Parameter wird der Sacral Slope (SS; Kreuzbeinneigung) = Winkel zwischen einer Deckplattenparallelen S1 mit der Horizontalebene.
- Pelvic Tilt (PT; Beckenkippung) = Winkel zwischen der Lotlinie durch den Femurkopf und der Verbindung zur Sakrumbasis.
- Pelvic Incidence (PI; Tiefe des Beckens) = Winkel zwischen der Verbindungslinie vom Hüftkopfzentrum zur Mitte der Deckplatte S1 und einer Linie, die in einem rechten Winkel zur Deckplatte S1 steht. Dies bildet ein Maß für die Tiefe des Beckens und wird so zum morphologischen Parameter.
- Die Flexion der Hüftgelenke wird durch den Femur Obliquity Angle (FOA; Hüftflexionseinstellung) = Winkel des Femurs zur Vertikalen beschrieben.
Orthesenindikation im Hinblick auf das mechanische Kriterium des ventralen sagittalen Profils des Körperstammes
Wenn nun schon Becken, Hüften und Oberschenkel in die Betrachtung der Wirbelsäule aufgenommen werden, dann muss das ventrale sagittale Profil ebenfalls Berücksichtigung finden (Abb. 6). Das ventrale Profil mit ausladendem Abdomen bedeutet mehr als nur ein Abweichen vom gängigen Schönheitsideal. Die Verschiebung des Körperschwerpunktes nach ventral führt zu einer Neueinstellung des Beckens mit allen Folgen der dorsalen Überlastung. Kommt es zur Hyperlordose, so kann durch eine entlordosierende Orthese mit Bauchhebegurt die Gesamtstatik und damit die Belastung der einzelnen Wirbelsäulenabschnitte günstig beeinflusst werden. Besonders auf die Entlastung der Facettengelenke ist dabei hinzuweisen. Dies ist kein Aufruf, die notwendige Gewichtsreduktion zu vernachlässigen, als vielmehr ein Schritt zur Schmerzreduktion und damit zur Aktivierung der Patienten mit nachfolgender Steigerung des Kalorienverbrauches 15.
Orthesenindikation im Hinblick auf mechanische Kriterien bei segmentalen Pathologien
Wird nach dem knöchernen Umbau nun auch die Gesamtstatik der Wirbelsäule verlassen, so muss noch auf die Dynamik hingewiesen werden, die sich aus einzelnen Wirbelsäulensegmenten summiert.
Stabilität und Instabilität
Jedes Wirbelsegment, bestehend aus zwei Wirbelkörpern sowie einer Bandscheibe, kann verschiedenste pathologische Veränderungen aus mechanischer Betrachtung entwickeln und ist damit prinzipiell auch einer „mechanischen“ Therapie zugänglich. Da es sich um ein Bewegungssegment handelt, kann vermehrte oder verminderte Beweglichkeit für die Beschwerden verantwortlich sein. Dass sich der Bewegungsumfang mit zunehmendem Alter verringert, ist physiologisch, sollte aber beschwerdefrei vonstattengehen.
Aus Sicht der Orthetik steht die Behandlung instabiler Segmente im Vordergrund. Jeder segmentalen Bewegungseinschränkung folgt zwangsläufig eine kompensatorische Instabilität. Damit ergibt sich für Orthesen eine Indikationsstellung auch für rigide Wirbelsäulensegmente, wobei in diesen Fällen die angrenzenden „instabilen“ Segmente zu adressieren sind. Diese segmentale Betrachtung ist wieder in die bereits abgehandelte Gesamtstatik einzufügen. Damit wird die Überbelastung der lumbosakralen Region deutlich und zum zentralen Behandlungsthema.
Mechanische Bedrängung der nervalen Strukturen
Kommt es bei einem Bandscheibenvorfall zu einer Nervenwurzelbedrängung, so kann durch entlastende und stellungskorrigierende Orthesen eine Beschwerdelinderung herbeigeführt werden. Die Industrie hat auf diese Pathologien mit „abrüstbaren“ Orthesen reagiert. Einer anfänglichen suffizienten Entlordosierung folgt eine Abrüstung der Orthese auf eine Bewegungslimitierung und anschließend Bewegungsfreigabe. Dieses Konzept ist auch mit dem aufgezeigten Vorgehen entsprechend dem Wolff’schen Gesetz stimmig und in sich logisch nachvollziehbar.
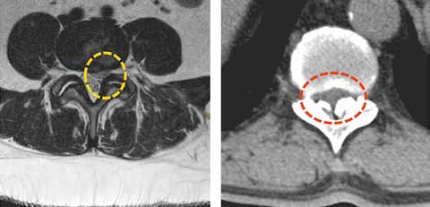
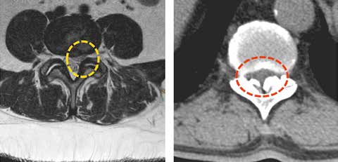
Dies ist aber nur dann sinnvoll, wenn eine sich ändernde Pathologie mit Besserungstendenz besteht. Nervenwurzelbedrängungen durch osteophytäre Ausziehungen etc. sind diesem Behandlungskonzept nicht zugänglich. Schmerzbehandlungen mit intraforaminellen Infiltrationen, Hiatus-sacralis-Infiltrationen oder auch nur Facetteninfiltrationen können in Kombination mit Orthesen in ihrer Effektivität gesteigert werden. Besteht hingegen bereits eine Spinalkanalstenose, so sind die Möglichkeiten der Orthesenversorgung ausgeschöpft (Abb. 7).
Muskulatur
Bei der Orthesenversorgung geht es nicht um die Entlastung der Muskulatur, sondern vielmehr ist die Muskulatur in ihrer Effektivität zu unterstützen. Damit schließt sich der Kreis zur Wirbelsäulenstatik. Auch die Bauchmuskulatur kann aus ihrer „Überdehnung“ mittels Orthesen wieder in eine effektive Funktionsstellung gebracht werden (siehe Abb. 2 und 6).
Zusammenfassung
Die Orthesenversorgung der Wirbelsäule verlangt nach einer differenzierten Diagnostik der Wirbelsäulenstatik unter Beachtung der ventralen Verhältnisse von Abdomen und Thorax. Dem Zusammenspiel von Wirbelsäule, Becken und Hüftgelenken muss dabei besonderes Augenmerk geschenkt werden. Erst nach dieser statischen Beurteilung ist die segmentale Differenzierung der einzelnen Pathologien angezeigt.
Es stellt sich nicht die Frage, ob ein Segment instabil oder rigide ist, sondern vielmehr, weshalb es zu dieser Instabilität gekommen ist. Die Gesamtstatik liefert Erklärungen für die Schädigung einzelner Wirbelsäulensegmente und dabei ganz besonders des lumbosakralen Überganges. Mit diesem Wissen wird die Orthesenversorgung in ihrer Indikationsstellung und den Kontraindikationen (Indikationen ohne Erfolgsaussichten) neu interpretiert. Ziel jeder Orthesenversorgung ist eine lokale und zeitlich limitierte Stabilisierung zur raschen, beschwerdearmen Aktivierung und Mobilisierung des Patienten.
Für die Autoren:
Dr. Franz Landauer
SALK – Salzburger Landeskliniken/
Universitätsklinikum Salzburg
Universitätsklinik für Orthopädie der Paracelsus Medizinische Universität (PMU)
Müllner Hauptstr. 48
A‑5020 Salzburg
f.landauer@salk.at
Begutachteter Beitrag/reviewed paper
Landauer F, Riedl M, Vanas K. Indikationsstellung von Orthesenversorgungen durch Berücksichtigung mechanischer Kriterien der Wirbelsäulenbeschwerden. Orthopädie Technik. 2015; 66 (9): 40–44
- Myoelektrische Orthesenversorgung bei Plexusverletzung der oberen Extremität – Vorstellung eines hybriden bionischen Konzepts — 6. Mai 2026
- Entwicklung eines zum physiologischen Gangbild kongruenten polyzentrischen Knieorthesengelenks – Zwischenstand eines Forschungsprojektes — 10. April 2026
- Mikroprozessorgesteuerte stand- und schwungphasenkontrollierte Ganzbeinorthesen (SSCO): Entwicklung, Systeme und Versorgungsrealität in der orthopädietechnischen Praxis — 9. April 2026
- Nachemson AL, Peterson LE. Effectiveness of treatment with a brace in girls who have adolescent idiopathic scoliosis. A prospective, controlled study based on data from the Brace Study of the Scoliosis Research Society. J Bone Joint Surg Am. 1995; 77 (6): 815–822
- Weiss HR, Negrini S, Rigo M, Kotwicki T, Hawes MC, Grivas TB, Maruyama T, Landauer F, SOSORT guideline committee. Indications for conservative management of scoliosis (guidelines). Scoliosis; 2006; 1: 5. doi: 10.1186/1748–7161‑1–5
- Weinstein SL, Dolan LA, Wright JG, Dobbs MB. Effects of bracing in adolescents with idiopathic scoliosis. N Engl J Med, 2013; 369 (16): 1512–1521
- Frost HM. A 2003 update of bone physiology and Wolff’s Law for clinicians. Angle Orthodontist, 2004; 74 (1): 3–15
- Christen P, Ito K, Ellouz R, Boutroy S, Sornay-Rendu E, Chapurlat RD, van Rietbergen B. Bone remodelling in humans is load-driven but not lazy. Nat Commun, 2014; 5: 4855
- Maurer MM, Weinkamer R, Müller R, Ruffoni D. Does mechanical stimulation really protect the architecture of trabecular bone? A simulation study. Biomech Model Mechanobiol, 2015; 14 (4): 795–805
- Rzewuska M, Ferreira M, McLachlan AJ, Machado GC, Maher CG. The efficacy of conservative treatment of osteoporotic compression fractures on acute pain relief: a systematic review with meta-analysis. European Spine Journal, 2015; 24 (4): 702–714
- Morrisette DC, Cholewicki J, Logan S, Seif G, McGowan S. A randomized clinical trial comparing extensible and inextensible lumbosacral orthoses and standard care alone in the management of lower back pain. Spine (Phila Pa 1976), 2014; 39 (21): 1733–1742
- Shi MM, Cai XZ, Lin T, Wang W, Yan SG. Is there really no benefit of vertebroplasty for osteoporotic vertebral fractures? A meta-analysis. Clin Orthop Relat Res, 2012; 470 (10): 2785–2799
- Tyrakowski M, Janusz P, Mardjetko S, Kotwicki T, Siemionow K. Comparison of radiographic sagittal spinopelvic alignment between skeletally immature and skeletally mature individuals with Scheuermann’s disease. Eur Spine J, 2015; 24 (6): 1237–1243. doi: 10.1007/s00586-014‑3595‑1
- Yaman O, Dalbayrak S. Kyphosis and review of the literature. Turk Neurosurg, 2014; 24 (4): 455–465
- Tyrakowski M, Mardjetko S, Siemionow K. Radiographic spinopelvic parameters in skeletally mature patients with Scheuermann disease. Spine (Phila Pa 1976), 2014; 39 (18): E1080-E1085
- Schuller S, Charles YP, Steib JP. Sagittal spinopelvic alignment and body mass index in patients with degenerative spondylolisthesis. Eur Spine J, 2011; 20 (5): 713–719
- Le Huec JC, Charosky S, Barrey C, Rigal J, Aunoble S. Sagittal imbalance cascade for simple degenerative spine and consequences: algorithm of decision for appropriate treatment. Eur Spine J, 2011; 20 Suppl 5: 699–703
- Hajihosseinali M, Arjmand N, Shirazi-Adl A. Effect of body weight on spinal loads in various activities: a personalized biomechanical modeling approach. J Biomech, 2015; 48 (2): 276–282












