In der Diagnostik der chronischen multiligamentären Bandverletzung spielen gehaltene Aufnahmen eine wichtige Rolle, da sie geeignet sind, das Ausmaß der posterioren Instabilität zu quantifizieren. Bei chronischen Instabilitäten sollte auch immer eine fixierte hintere Schublade ausgeschlossen werden. Bei chronischen Instabilitäten muss zwischen ligamentären Rekonstruktionseingriffen und ossären Korrekturen unterschieden werden. Als operatives Verfahren zum Ersatz des hinteren Kreuzbandes werden arthroskopische transtibiale Tunneltechniken und sogenannte Inlaytechniken beschrieben. Wichtig ist es, posterolaterale und posteromediale Begleitinstabilitäten durch entsprechende Rekonstruktionen zu adressieren. Liegt bei einer chronischen Instabilität eine Kombination aus Genu varum und posterolateraler Instabilität vor, so sollte vor einer ligamentären Rekonstruktion eine Korrektur der Beinachse erfolgen.
Einleitung
Die Knieluxation ist eine schwere Knieverletzung, bei der es nicht nur zu multiplen Bandverletzungen, sondern auch zu Gefäß- und Nervenverletzungen kommen kann. Aus diesem Grunde erfordern Knieluxationen eine differenzierte Diagnostik, um adäquat auf die verschiedenen Verletzungen reagieren zu können. Knieluxationen können in Folge eines Hochenergietraumas (z. B. Verkehrsunfall, Sportunfall) oder infolge eines Niedrigenergietraumas auftreten 1 2. Insbesondere bei Hochenergietraumen mit schweren weiteren Verletzungen (Frakturen der unteren Extremität, Polytrauma) können Knieluxationen auch übersehen werden, da initial die weiteren Verletzungen im Vordergrund stehen. Chronische Verläufe mit erheblichen funktionellen Einschränkungen sind dann oft unausweichlich. Aber selbst im chronischen Stadium können noch Fehler in der Diagnostik zu therapeutischen Fehlentscheidungen führen. Insbesondere Verletzungen des hinteren Kreuzbandes werden oft falsch behandelt, da die vom vorderen Kreuzband bekannten Algorithmen auf das hintere Kreuzband übertragen werden. Dieser Übersichtsartikel vermittelt einen Überblick über das Management und die Therapie von Knieluxationen in der akuten, der subakuten und der chronischen Phase.
Verletzungsmechanismus
Knieluxationen treten typischerweise nach Hochenergietraumen auf (Autounfall, Motorradunfall). Eine epidemiologische Studie hat jedoch gezeigt, dass bis zu 40 % der HKB-Verletzungen auf Sportunfälle zurückzuführen sind 3 4. Hier spielt sicher die zunehmende Popularität von Extremsportarten mit Hochgeschwindigkeitskollisionen (z. B. Stürze aus großer Höhe, Skiabfahrtslauf, Snowboard, Kitesurfen) eine Rolle. Aber auch Niedrigenergietraumen können eine Knieluxation zur Folge haben. Typische Sportarten sind dabei Ballsportarten oder auch der Skisport 5. Typische Unfallmechanismen im Sport sind der Sturz auf die Tuberositas tibiae, Rotations- und Hyperextensionstraumata.
Klassifikation
Verschiedene Klassifikationen wurden für die Knieluxation vorgeschlagen. Am weitesten verbreitet ist jedoch die von Schenck angegebene Klassifikation 6. Dabei wird der Schweregrad der Knieluxation nach der Anzahl der betroffenen Bänder und der begleitenden Frakturen bestimmt (Tab. 1). Es werden 5 verschiedene Schweregrade unterschieden. Bei den Graden I bis IV richtet sich der Schweregrad nach der Zahl der betroffenen Bänder. Grad III (zentraler Pfeiler und periphere Bandstrukturen) wird außerdem in M (medialer Kollateralbandkomplex) und L (lateraler Kollateralbandkomplex) unterteilt. Typ V entspricht der Knieluxation bei gelenknaher Fraktur. Hier gilt es zu bedenken, dass die Kombination aus Femurfraktur und Knieluxation häufig ist.
Kritisch ist zu dieser Klassifikation anzumerken, dass Typ I (Kombination aus peripherer medialer oder lateraler Bandläsion und einem Kreuzband) von vielen Autoren nicht als Knieluxation angesehen wird 7. Das betrifft insbesondere die häufigen erst- bis zweitgradigen Verletzungen des medialen Kollateralbandes mit Ruptur des vorderen Kreuzbandes. Außerdem finden wesentliche prognostisch relevante Begleitverletzungen keine Berücksichtigung (Verletzungen der Gefäße und Nerven der Fossa politea oder des N. peroneus) [Petersen und Zantop]. Auch Affektionen des Streckapparates werden in der Schenck-Klassifikation nicht berücksichtigt 8. Hier besteht Bedarf für ein differenzierteres Klassifikationssystem.
Begleitverletzungen
Bei einer Knieluxation sind nichtligamentäre Begleitverletzungen häufig. Diese können in extra- und intraartikuläre Begleitverletzungen unterteilt werden. Eine schwere extraartikuläre Begleitverletzung ist die Verletzung der Arteria poplitea. Angaben im Schrifttum zur Häufigkeit von Gefäßverletzungen bei Knieluxation schwanken zwischen 5 % 9 und 40 % 10. Aufgrund ihrer Anheftung sowohl proximal am Adduktorenkanal als auch distal am Soleusbogen ist die A. poplitea bei einer Knieluxation besonders vulnerabel. Da die A. poplitea die Kniebasislinie lateral des Kniezentrums kreuzt, sind Gefäßverletzungen eher bei lateral aufklappenden Knieluxationen (Schenck Typ III L) zu erwarten 11. Der Schweregrad begleitender Gefäßverletzungen reicht vom Vasospasmus über Intimarisse bis zur kompletten Gefäßzerreißung 12. Da die Läsionen meist oberhalb der Trifurkation entstehen, kann die Durchblutung des Beines akut gefährdet sein. Auch Verletzungen des N. peroneus sind aufgrund seiner topografischen Lage am Fibulakopf und Septum intermusculare eher bei lateralen Knieluxationen zu erwarten. Die Häufigkeit von Läsionen des N. peroneus wird mit 19 % angegeben 13. Dabei kann es zur kompletten Paralyse, zur Parese und/oder zu Gefühlsstörungen kommen.
Weitere prognostisch relevante extraartikuläre Verletzungen, die auch das Management in der akuten Situation beeinflussen, sind die Frakturen der an das Knie grenzenden Knochen (16,6 %) oder Verletzungen des Streckapparates (8,6 %) 14. Häufige intraartikuläre Begleitverletzungen sind Meniskus- und Knorpelschäden. Verletzungen des medialen oder lateralen Meniskus werden in bis zu 37 % und Knorpelverletzungen in 28 % der Fälle beobachtet 15. Dabei kommen Knorpelläsionen häufiger bei chronischen Verläufen vor als in der akuten Situation.
Behandlungsphasen
Bei den Behandlungsphasen unterscheiden die meisten Autoren eine akute (< 3 Wochen) von einer chronischen Phase (> 3 Wochen). Unter therapeutischen Gesichtspunkten erscheint es jedoch sinnvoll, drei Diagnostik- und Therapiephasen voneinander zu unterscheiden (1. akute Phase: Verletzungstag; 2. subakute Phase: < 3 Wochen; 3. chronische Phase: > 3 Wochen) 16. Dazu im Einzelnen:
Akute Phase
Insbesondere Hochenergieverletzungen erreichen die Klinik meist umgehend am Tage der Verletzung. Aber auch viele Niedrigenergieverletzungen führen aufgrund der deutlichen Symptomatik schnell zu einem Arztbesuch. Die Unterscheidung zwischen Hochenergie- und Niedrigenergietrauma ist relevant, da beim Hochenergietrauma oft ein Polytrauma vorliegt, dessen unmittelbar lebensbedrohliche Verletzungen das weitere Management bestimmen 17 18. In den meisten Fällen hat sich die Knieluxation spontan reponiert. Eine nicht spontan reponierte Knieluxation sollte umgehend in Narkose reponiert werden (Abb. 1).
In der akuten Phase sollte umgehend eine effiziente und zielorientierte Diagnostik erfolgen, um Verletzungen zu identifizieren, die eine schnelle operative Versorgung erfordern oder das weitere Management beeinflussen. Am wachen Patienten sollte initial unbedingt der neurologische Status dokumentiert werden (N. peroneus, N. tibialis). Der initiale neurologische Status hat nicht nur prognostische Relevanz – auch für die Beurteilung eines sich entwickelnden Kompartmentsyndroms spielt der initiale neurologische Status eine Rolle.
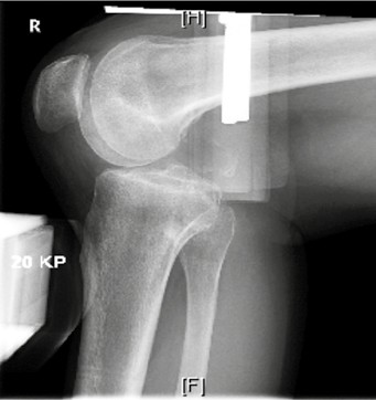
Einen großen Stellenwert nimmt auch die Gefäßdiagnostik ein (Pulse, Doppler-Ultraschall). Im Falle des Verdachtes auf eine Gefäßverletzung sollte eine CT-Angiographie erwogen werden. Diese kann gegebenenfalls im Rahmen des Polytrauma-CT erfolgen (Abb. 2). Konventionelle Röntgenaufnahmen des Kniegelenkes und evtl. auch der angrenzenden Röhrenknochen dienen dem Frakturausschluss (siehe Abb. 1).
Die weitere körperliche Untersuchung umfasst die Dokumentation sichtbarer Wunden, Schwellungen oder Prellmarken. Eine starke Unterschenkelschwellung kann ein Hinweis auf ein Kompartmentsyndrom sein. Der ligamentäre Status kann am wachen Patienten oft aufgrund der Schmerzen nur eingeschränkt beurteilt werden. Sollte in der akuten Phase eine Narkose erforderlich sein, sollte der ligamentäre Status jedoch am besten mit Hilfe eines Bildverstärkers evaluiert werden.
Akut am Unfalltage versorgungspflichtig sind Gefäßverletzungen, Kompartmentsyndrome, offene Verletzungen, dislozierte Frakturen der langen Röhrenknochen oder nicht spontan reponierte Luxationen. Bei Gefäßverletzungen oder einem instabilen Knie sollte initial die Ruhigstellung mit einem gelenkübergreifenden Fixateur erwogen werden. Alle weiteren Verletzungen – insbesondere die ligamentäre Rekonstruktion – können in der subakuten Phase behandelt werden.
Subakute Phase
Die subakute Phase dauert bis zum Ende der dritten Woche, da in diesem Zeitraum die Heilungsvorgänge einsetzen. Therapeutisch stehen in dieser Phase die Rekonstruktion, Naht oder Augmentation der Bänder, des Streckapparates und ggf. die Therapie intraartikulärer Begleitverletzungen (Meniskus) im Vordergrund. Daher sollte unter diagnostischen Gesichtspunkten schnell eine MRT erfolgen, um diese Verletzungen näher zu charakterisieren. Die MRT erlaubt dabei nicht nur eine Klassifikation der Knieluxation, sondern auch eine detaillierte Beschreibung der Bandläsion (intraligamentär, Avulsionsverletzung) sowie der intraartikulären Begleitschäden (Abb. 3).
Systematische Reviews haben gezeigt, dass die operative Therapie der Knieluxation einer konservativen Therapie im Hinblick auf die klinischen Scores sowie auf die Wiederkehr zur Arbeit und zum Sport signifikant überlegen ist 19 20. Ein weiteres aktuelles systematisches Review hat außerdem gezeigt, dass eine operative Therapie der Knieluxation in der subakuten Phase zu besseren klinischen Ergebnissen führt als eine aufgeschobene operative Therapie 21.
Zur Rekonstruktion des Bandapparates stehen in der subakuten Phase verschiedene Verfahren zur Verfügung: die Naht oder Refixation, die Rekonstruktion mit autologen Sehnentransplantaten oder die Augmentation mit künstlichen Fadenkordeln 22 23 24. Klinische Studien haben gezeigt, dass die Ergebnisse nach Naht oder Refixation einer frühen Rekonstruktion mit einem autologen Sehnentransplantat vergleichbar sind 25. Daher kann ein Erhaltungsversuch des Bandapparates durch Naht oder Refixation in der subakuten Phase gerechtfertigt sein 26.
Das genaue Vorgehen hängt erfahrungsgemäß vom Verletzungsmuster ab. Eine gute Indikation für Refixationen sind tibiale oder fibulare Avulsionsverletzungen des medialen und lateralen Bandapparates 27. Die posterolaterale Gelenkecke lässt sich schlechter durch Nähte versorgen als die posteromediale Gelenkecke. Hier ist eine zusätzliche Augmentation – entweder mit einem autologen oder einem allogenen Sehnentransplantat – zu erwägen. Eine Alternative zur Augmentation mit autologen Sehnentransplantaten ist die Augmentation mit Fadenkordeln („ligament bracing“) 28. Im Hinblick auf dieses Verfahren sind die Mitteilungen in der Literatur jedoch noch limitiert.
Es gilt bei allen operativen Maßnahmen zu bedenken, dass das hintere Kreuzband adressiert wird. Bei Beteiligung des hinteren Kreuzbandes hat eine isolierte Rekonstruktion des vorderen Kreuzbandes auf jeden Fall zu unterbleiben, da das Knie in der hinteren Schublade fixiert wird 29. Dann spricht man von einer „fixierten hinteren Schublade“ 30. Umgekehrt kann es bei einer isolierten Versorgung des hinteren Kreuzbandes nicht zu einer fixierten vorderen Schublade kommen.
Chronische Phase
Die chronische Phase beginnt definitionsgemäß bei den meisten Autoren nach der dritten postoperativen Woche 31. Die eigentliche operative Therapie erfolgt in der Regel deutlich später. Auch in der chronischen Phase kommt der Diagnostik eine große Bedeutung zu. Insbesondere posteriore Instabilitäten bereiten immer wieder diagnostische Schwierigkeiten. Aufgrund ihrer Seltenheit werden Rupturen des hinteren Kreuzbandes oft übersehen und oft fehlgedeutet. Deshalb gilt auch heute noch der Grundsatz: Jede Kreuzbandruptur ist bis zum Beweis des Gegenteils eine hintere Kreuzbandruptur. Ein weiteres Problem der Diagnostik besteht darin, dass hintere Kreuzbandläsionen ein gutes Heilungspotenzial haben. Heilung bedeutet jedoch nicht, dass durch die Wiederherstellung der Kontinuität auch die Funktion wiederhergestellt wird. Viele Läsionen verheilen in Elongation. Das erschwert die Bildgebung und Beurteilung chronischer Instabilitäten. Hier sind funktionelle Untersuchungen erforderlich.
Auch wenn die Schubladenphänomene bei chronischen Instabilitäten manuell einfach zu testen sind, so bereitet die Abgrenzung zur vorderen Instabilität (gerade bei Begleitverletzungen des vorderen Kreuzbandes) gelegentlich Schwierigkeiten. Ein Problem beim manuellen Schubladentest besteht darin, dass die Untersuchung nur schwierig quantifiziert werden kann 32.
Zur quantitativen Erfassung der posterioren tibialen Translation haben sich gehaltene Röntgenaufnahmen bewährt (Abb. 4). Die posteriore tibiale Translation wird in diesen Aufnahmen im Vergleich zur Gegenseite am seitlichen Röntgenbild in Millimetern bestimmt. Ab einer posterioren Translation von 5 mm im Vergleich zur Gegenseite spricht man von einer „hinteren Instabilität“. Ab 12 mm besteht der Verdacht auf eine Begleitverletzung der posterolateralen oder posteromedialen Strukturen 33 34. Auch die Applikation einer nach anterior gerichteten Kraft hat in der Diagnostik hinterer Instabilitäten eine Bedeutung, da auf diese Weise eine fixierte hintere Schublade ausgeschlossen werden kann 35. Von einer fixierten hinteren Schublade spricht man, wenn trotz anterior gerichteter Kraft eine posteriore tibiale Translation besteht (Abb. 5). Liegt eine fixierte hintere Schublade vor, so muss diese vor einer operativen Rekonstruktion erst behandelt werden, sonst kann das Knie durch die ligamentäre Rekonstruktion nicht in die Neutralstellung gebracht werden. Hier hat sich die konservative Therapie mit einem „posterior tibial support brace“ bewährt (PTS Brace, Medi, Bayreuth).
Schwierig ist auch die Diagnostik posterolateraler und posteromedialer Rotationsinstabilitäten 36. Diese lassen sich in eine Varus/Valgus- und eine Rotationskomponente zerlegen. Oft kommen Kombinationen vor. Zur Untersuchung der Rotationskomponente (Popliteuskomplex) bietet sich der Dial-Test und zur Untersuchung der Frontalebene der Varus-Valgus-Stress-Test in 0° und 30° an 37. Rotationsschubladen haben in der Diagnostik der kombinierten Instabilitäten eine sehr große Bedeutung, da diese Tests die Auswirkungen der peripheren Bandverletzungen auf die posteriore tibiale Translation erfassen. Das Kniegelenk wird in 90°-Beugung außenrotiert und die Tuberositas tibiae nach hinten gedrückt. Bleibt die Schublade im Vergleich zur Neutralstellung gleich oder verstärkt sie sich sogar, spricht der Befund für eine therapierelevante posterolaterale Instabilität. Eine vermehrte Schublade in Innenrotation spricht für eine posteromediale Instabilität 38.
Die MRT spielt für die Diagnostik chronischer Instabilitäten nur eine untergeordnete Rolle, da aufgrund der MRT keine funktionellen Aussagen möglich sind. Bei akuten Verletzungen kann die MRT jedoch wichtige Hinweise auf den Zustand des Gelenkes im Hinblick auf den Knorpel und die Menisken liefern.
Besteht inspektorisch der Verdacht auf eine varische Beinachse, so sollte bei chronischen Instabilitäten eine radiologische Bestimmung der Beinachse erfolgen, da diese bedeutsam für die Therapie der posterolateralen Instabilität ist.
Bei symptomatischen chronischen multiligamentären Instabilitäten richtet sich die Therapie nach dem Ausmaß der posterioren tibialen Translation, nach den Begleitinstabilitäten und nach der Beinachse. Hier muss zwischen ligamentären Rekonstruktionseingriffen und ossären Korrekturen unterschieden werden. Zu den ligamentären Rekonstruktionen zählen die Ersatzplastik des hinteren und vorderen Kreuzbandes sowie die posterolaterale oder posteromediale Rekonstruktion39 40 41 42. Bei einer symptomatischen Instabilität kann ab einer posterioren tibialen Translation von mehr als 10 mm die Indikation zu einer Rekonstruktion des HKB mit einem autologen Sehnentransplantat gestellt werden 43. Bei zusätzlichen drittgradigen peripheren Instabilitäten sollte auch an eine posterolaterale oder posteromediale Rekonstruktion gedacht werden 44 45 46 47. Eine Rekonstruktion des vorderen Kreuzbandes ist bei diesen Kombinationsverletzungen immer als optional anzusehen und muss nicht erzwungen werden 48.
Als operatives Verfahren zum Ersatz des hinteren Kreuzbandes werden arthroskopische transtibiale Tunneltechniken und sogenannte Inlaytechniken beschrieben 49. Hinsichtlich der klinischen Ergebnisse konnte in einem systematischen Review kein Unterschied zwischen beiden Techniken ermittelt werden 50. Als Nachteil der Inlaytechniken gilt, dass die dazu erforderlichen Knochenblocktransplantate aus dem Streckapparat gewonnen werden. Dieser ist der muskuläre Agonist zum hinteren Kreuzband und wird auch durch die Transplantatentnahme geschwächt. Aus diesem Grunde wird in der eigenen Praxis die arthroskopische hintere Kreuzbandrekonstruktion mit einem autologen Beugesehnentransplantat in Einzelbündeltechnik bevorzugt (Abb. 6) 51. Dabei sollte das alte Bandgewebe so weit wie möglich erhalten bleiben („remnant augmentation“) 52.
Zur posterolateralen Rekonstruktion wird im Schrifttum eine Vielzahl an Techniken beschrieben (Bizepstenodese, Popliteusbypass etc.) 53 54. Die meisten Techniken haben einen Transplantatschenkel, der das laterale Kollateralband rekonstruiert, und einen Schenkel, der den Popliteuskomplex rekonstruiert. Dabei verbinden die sogenannten Popliteus-Bypass-Rekonstruktionen die posterolaterale Tibia mit dem Femur und die popliteofibularen Rekonstruktionen das Fibulaköpfchen mit dem Femur. Diese Techniken versuchen das Ligamentum popliteofibulare zu rekonstruieren. Bei diesen Techniken werden weiterhin anatomische und isometrische Techniken unterschieden: Bei den anatomischen Techniken werden LCL und popliteofibularer Schenkel in getrennten Knochentunneln verankert; bei den isometrischen Techniken erfolgt die Verankerung in einem isometrischen Knochentunnel. In klinischen Studien wurde bisher kein Unterschied zwischen den verschiedenen Rekonstruktionstechniken identifiziert 55.
Beim eigenen Vorgehen hat sich die isometrische Rekonstruktionstechnik nach Larson bewährt (Abb. 7) 56. Dabei werden die posterolateralen Strukturen mit einem autologen Sehnentransplantat ersetzt, das durch ein Bohrloch in der Fibula gezogen wird. Es wird die Ansatzsehne des M. semitendinosus der Gegenseite als Transplantat verwendet. Der vordere Transplantatschenkel soll das laterale Kollateralband ersetzen, der hintere Transplantatschenkel den Popliteuskomplex. Beide Transplantatschenkel werden im Bereich des Epicondylus lateralis mit einer Interferenzschraube (z. B. Megafix P, Karl Storz, Tuttlingen) fixiert. Die Fixation erfolgt in 70° Beugung, bevor das HKB-Transplantat fixiert wird.
Da das Heilungsverhalten der posteromedialen Strukturen gut ist, kommt es seltener zu chronischen posteromedialen Instabilitäten. Wenn jedoch eine chronische drittgradige posteromediale Instabilität besteht, sollte sie adressiert werden 57. Im Bereich der posteromedialen Gelenkecke stehen verschiedene Möglichkeiten zur Verfügung. Diese reichen von der Heilungsstimulation durch Mikrofrakturierung über die Raffung bis hin zum Sehnentransplantat 58 59. Bei den Rekonstruktionstechniken ist darauf zu achten, dass möglichst auch das hintere Schrägband durch einen Transplantatschenkel rekonstruiert wird, da dieses das Knie gegen die posteriore tibiale Translation sichert 60 61. Bei medialen Instabilitäten sollten die Beugesehnen der ipsilateralen Seite geschont werden, da diese das Knie aktiv gegen Valgusstress sichern 62. Bei kombinierten Instabilitäten sollten aus diesem Grunde bei diesen Operationen möglichst allogene Transplantate eingesetzt werden 63.
Die Indikation zur ossären Korrektur kann bei Genu varum und posterolateraler Instabilität bestehen (Triple-Varus-Situation). Durch das im Einbeinstand verstärkte Adduktionsmoment kann es ansonsten zur Elongation des zur posterolateralen Rekonstruktion verwendeten Sehnentransplantates kommen. Tischer et al. haben in einem systematischen Literaturreview zeigen können, dass Rezidivinstabilitäten bei kombinierten hinteren und posterolateralen Instabilitäten durch eine valgisierende Umstellungsosteotomie verhindert werden können 64. Auch bei medialen Knorpelschäden und hinterer Instabilität mit Genu varum sollte an eine Umstellungsosteotomie gedacht werden 65. Zusätzlich kann bei diesen Korrekturosteotomien die Sagittalneigung des Tibiaplateaus („tibial slope“) erhöht werden, da ein erhöhter „tibial slope“ der posterioren tibialen Translation unter Last entgegenwirkt. An Korrekturen der Sagittalneigung des Tibiaplateaus sollte insbesondere in Revisionssituationen gedacht werden.
Rehabilitation
Die Rehabilitation multiligamentärer Eingriffe richtet sich immer nach dem hinteren Kreuzband, sofern es betroffen ist. Dem Patienten wird 6 Wochen lang eine gerade Knieschiene mit einem Wadenpolster (z. B. PTS Brace, Medi, Bayreuth) in Streckstellung angelegt 66. In Streckung zieht der Zug der ischiokruralen Muskulatur die Tibia nicht nach hinten. Außerdem kommt es durch die physiologische Sagittalneigung in Streckung unter Last eher zu einer anterioren Verlagerung der Tibia 67. Der PTS Brace besitzt außerdem ein Polster, das die Wade im Liegen unterstützen soll. Damit soll der Schwerkraft im Liegen entgegengewirkt werden. Bewegungsübungen sollen in den ersten 6 Wochen nur passiv in Bauchlage erfolgen. Nach 6 Wochen wird dem Patienten eine bewegliche Knieorthese angelegt. Der PTS Brace wird dann für weitere 6 Wochen nur noch zur Nacht getragen. Abbildung 9 zeigt einen diagnostischen und therapeutischen Algorithmus zur Behandlung der chronischen multiligamentären Instabilität.
Fazit für die Praxis
Bei der Knieluxation handelt es sich um eine schwere Knieverletzung, die in den verschiedenen Behandlungsphasen unterschiedliche Maßnahmen erfordert. In der akuten Phase (Tag der Verletzung) sollte vor allem auf Gefäß- und Nervenverletzungen geachtet werden. Insbesondere Gefäßverletzungen können eine sofortige operative Intervention erfordern. Das Gleiche gilt für verhakte Luxationen, Kompartmentsyndrome und offene Verletzungen. In der subakuten Phase (< 3 Wochen nach Trauma) steht die Wiederherstellung des Band- und ggf. auch des Streckapparates im Vordergrund. Dabei setzen sich zunehmend Verfahren zur Reparation der betroffenen Bänder durch (Naht und Augmentation). Bei der Behandlung chronischer multiligamentärer Instabilitäten handelt es sich um einen komplexen Therapie-Algorithmus, bei dem die elongierten und insuffizienten Bänder durch autologe Sehnentransplantate ersetzt werden. Die Beinachse darf dabei jedoch nicht außer Acht gelassen werden.
Der Autor:
Prof. Dr. med. Wolf Petersen
Martin-Luther-Krankenhaus
Klinik für Orthopädie und Unfallchirurgie
Caspar-Theyß-Straße 27–31
14193 Berlin
kerstin.hofschulz@pgdiakonie.de
Begutachteter Beitrag/reviewed paper
Petersen W. Behandlungsstrategien bei Knieluxation. Orthopädie Technik. 2018; 69 (10): 16–22
| Grad | Verletzte anatomische Struktur | |
|---|---|---|
| I | ein Kreuzband und posteromedial oder posterolateral | |
| II | beide Kreuzbänder | |
| III | M | beide Kreuzbänder und posteromedial |
| L | beide Kreuzbänder und posterolateral | |
| IV | beide Kreuzbänder und posteromedial sowie posterolateral | |
| V | Frakturluxation | |
- Entwicklung eines zum physiologischen Gangbild kongruenten polyzentrischen Knieorthesengelenks – Zwischenstand eines Forschungsprojektes — 10. April 2026
- Mikroprozessorgesteuerte stand- und schwungphasenkontrollierte Ganzbeinorthesen (SSCO): Entwicklung, Systeme und Versorgungsrealität in der orthopädietechnischen Praxis — 9. April 2026
- Gips oder Orthese bei distalen Radiusfrakturen? — 8. April 2026
- Moatshe G, Dornan GJ, Løken S, Ludvigsen TC, LaPrade RF, Engebretsen L. Demographics and Injuries Associated With Knee Dislocation: A Prospective Review of 303 Patients. Orthop J Sports Med; 2017; 5 (5): 2325967117706521. doi: 10.1177/2325967117706521
- Schulz MS, Russe K, Weiler A, Eichhorn HJ, Strobel MJ. Epidemiology of posterior cruciate ligament injuries. Arch Orthop Trauma Surg, 2003; 123 (4): 186–191
- Moatshe G, Dornan GJ, Løken S, Ludvigsen TC, LaPrade RF, Engebretsen L. Demographics and Injuries Associated With Knee Dislocation: A Prospective Review of 303 Patients. Orthop J Sports Med; 2017; 5 (5): 2325967117706521. doi: 10.1177/2325967117706521
- Schulz MS, Russe K, Weiler A, Eichhorn HJ, Strobel MJ. Epidemiology of posterior cruciate ligament injuries. Arch Orthop Trauma Surg, 2003; 123 (4): 186–191
- Moatshe G, Dornan GJ, Løken S, Ludvigsen TC, LaPrade RF, Engebretsen L. Demographics and Injuries Associated With Knee Dislocation: A Prospective Review of 303 Patients. Orthop J Sports Med; 2017; 5 (5): 2325967117706521. doi: 10.1177/2325967117706521
- Schenck R. Classification of knee dislocations. Oper Tech Sports Med, 2003; 11 (3): 193–198
- Moatshe G, Dornan GJ, Løken S, Ludvigsen TC, LaPrade RF, Engebretsen L. Demographics and Injuries Associated With Knee Dislocation: A Prospective Review of 303 Patients. Orthop J Sports Med; 2017; 5 (5): 2325967117706521. doi: 10.1177/2325967117706521
- Petersen W, Zantop T. Bandverletzungen des Kniegelenkes. Trauma und Berufskrankheit, 2009; 11 (3): 307–317
- Moatshe G, Dornan GJ, Løken S, Ludvigsen TC, LaPrade RF, Engebretsen L. Demographics and Injuries Associated With Knee Dislocation: A Prospective Review of 303 Patients. Orthop J Sports Med; 2017; 5 (5): 2325967117706521. doi: 10.1177/2325967117706521
- Stannard JP, Sheils TM, Lopez-Ben RR, McGwin G Jr, Robinson JT, Volgas DA. Vascular injuries in knee dislocations: the role of physical examination in determining the need for arteriography. J Bone Joint Surg Am, 2004; 86‑A (5): 910–915
- Peskun CJ, Levy BA, Fanelli GC, Stannard JP, Stuart MJ, MacDonald PB, Marx RG, Boyd JL, Whelan DB. Diagnosis and management of knee dislocations. Phys Sportsmed, 2010; 38 (4): 101–111
- Peskun CJ, Levy BA, Fanelli GC, Stannard JP, Stuart MJ, MacDonald PB, Marx RG, Boyd JL, Whelan DB. Diagnosis and management of knee dislocations. Phys Sportsmed, 2010; 38 (4): 101–111
- Moatshe G, Dornan GJ, Løken S, Ludvigsen TC, LaPrade RF, Engebretsen L. Demographics and Injuries Associated With Knee Dislocation: A Prospective Review of 303 Patients. Orthop J Sports Med; 2017; 5 (5): 2325967117706521. doi: 10.1177/2325967117706521
- Moatshe G, Dornan GJ, Løken S, Ludvigsen TC, LaPrade RF, Engebretsen L. Demographics and Injuries Associated With Knee Dislocation: A Prospective Review of 303 Patients. Orthop J Sports Med; 2017; 5 (5): 2325967117706521. doi: 10.1177/2325967117706521
- Moatshe G, Dornan GJ, Løken S, Ludvigsen TC, LaPrade RF, Engebretsen L. Demographics and Injuries Associated With Knee Dislocation: A Prospective Review of 303 Patients. Orthop J Sports Med; 2017; 5 (5): 2325967117706521. doi: 10.1177/2325967117706521
- Schulz MS, Russe K, Weiler A, Eichhorn HJ, Strobel MJ. Epidemiology of posterior cruciate ligament injuries. Arch Orthop Trauma Surg, 2003; 123 (4): 186–191
- Schulz MS, Russe K, Weiler A, Eichhorn HJ, Strobel MJ. Epidemiology of posterior cruciate ligament injuries. Arch Orthop Trauma Surg, 2003; 123 (4): 186–191
- Bedi A, Musahl V, Cowan JB.Management of Posterior Cruciate Ligament Injuries: An Evidence-Based Review. J Am Acad Orthop Surg, 2016; 24 (5): 277–289
- Levy BA, Dajani KA, Whelan DB, Stannard JP, Fanelli GC, Stuart MJ, Boyd JL, MacDonald PA, Marx RG. Decision making in the multiligament-injured knee: an evidence-based systematic review. Arthroscopy, 2009; 25 (4): 430–438
- Peskun CJ, Whelan DB. Outcomes of operative and nonoperative treatment of multiligament knee injuries: an evidence-based review. Sports Med Arthrosc Rev, 2011; 19 (2): 167–173
- Hohmann E, Glatt V, Tetsworth K. Early or delayed reconstruction in multi-ligament knee injuries: A systematic review and meta-analysis. Knee, 2017; 24 (5): 909–916
- Forkel P, Seppel G, Imhoff A, Petersen W. Suturing and refixation of the medial collateral ligament in severe acute medial instability of the knee. Oper Orthop Traumatol, 2015; 27 (2): 155–171
- Heitmann M, Gerau M, Hötzel J, Giannakos A, Frosch KH, Preiss A. [Ligament bracing – augmented primary suture repair in multiligamentous knee injuries].Oper Orthop Traumatol, 2014; 26 (1): 19–29
- Petersen W, Zantop T. Arthroscopic reconstruction of the anterolateral bundle of the posterior cruciate ligament in single-bundle technique with autologous hamstring grafts. Oper Orthop Traumatol, 2010; 22 (4): 354–372
- Levy BA, Dajani KA, Whelan DB, Stannard JP, Fanelli GC, Stuart MJ, Boyd JL, MacDonald PA, Marx RG. Decision making in the multiligament-injured knee: an evidence-based systematic review. Arthroscopy, 2009; 25 (4): 430–438
- Heitmann M, Gerau M, Hötzel J, Giannakos A, Frosch KH, Preiss A. [Ligament bracing – augmented primary suture repair in multiligamentous knee injuries].Oper Orthop Traumatol, 2014; 26 (1): 19–29
- Forkel P, Seppel G, Imhoff A, Petersen W. Suturing and refixation of the medial collateral ligament in severe acute medial instability of the knee. Oper Orthop Traumatol, 2015; 27 (2): 155–171
- Heitmann M, Gerau M, Hötzel J, Giannakos A, Frosch KH, Preiss A. [Ligament bracing – augmented primary suture repair in multiligamentous knee injuries].Oper Orthop Traumatol, 2014; 26 (1): 19–29
- Strobel MJ, Weiler A, Schulz MS, Russe K, Eichhorn HJ. Fixed posterior subluxation in posterior cruciate ligament-deficient knees: diagnosis and treatment of a new clinical sign. Am J Sports Med, 2002; 30 (1): 32–38
- Strobel MJ, Weiler A, Schulz MS, Russe K, Eichhorn HJ. Fixed posterior subluxation in posterior cruciate ligament-deficient knees: diagnosis and treatment of a new clinical sign. Am J Sports Med, 2002; 30 (1): 32–38
- Schulz MS, Russe K, Weiler A, Eichhorn HJ, Strobel MJ. Epidemiology of posterior cruciate ligament injuries. Arch Orthop Trauma Surg, 2003; 123 (4): 186–191
- Petersen W, Zantop T. Bandverletzungen des Kniegelenkes. Trauma und Berufskrankheit, 2009; 11 (3): 307–317
- Petersen W, Zantop T. Bandverletzungen des Kniegelenkes. Trauma und Berufskrankheit, 2009; 11 (3): 307–317
- Schulz MS, Russe K, Lampakis G, Strobel MJ. Reliability of stress radiography for evaluation of posterior knee laxity. Am J Sports Med, 2005; 33 (4): 502–506
- Strobel MJ, Weiler A, Schulz MS, Russe K, Eichhorn HJ. Fixed posterior subluxation in posterior cruciate ligament-deficient knees: diagnosis and treatment of a new clinical sign. Am J Sports Med, 2002; 30 (1): 32–38
- Petersen W, Zantop T. Bandverletzungen des Kniegelenkes. Trauma und Berufskrankheit, 2009; 11 (3): 307–317
- Petersen W, Zantop T. Bandverletzungen des Kniegelenkes. Trauma und Berufskrankheit, 2009; 11 (3): 307–317
- Petersen W, Zantop T. Bandverletzungen des Kniegelenkes. Trauma und Berufskrankheit, 2009; 11 (3): 307–317
- Petersen W, Zantop T. Arthroscopic reconstruction of the anterolateral bundle of the posterior cruciate ligament in single-bundle technique with autologous hamstring grafts. Oper Orthop Traumatol, 2010; 22 (4): 354–372
- Frosch KH, Akoto R, Heitmann M, Enderle E, Giannakos A, Preiss A.Arthroscopic reconstruction of the popliteus complex: accuracy and reproducibility of a new surgical technique. Knee Surg Sports Traumatol Arthrosc, 2015; 23 (10): 3114–3120
- Petersen W, Achtnich A. Rekonstruktion des medialen Kollateralbandkomplexes. Arthroskopie, 2014; 27 (3): 213–219
- Zantop T, Petersen W. Modified Larson technique for posterolateral corner reconstruction of the knee. Oper Orthop Traumatol, 2010; 22 (4): 373–386
- Petersen W, Achtnich A. Rekonstruktion des medialen Kollateralbandkomplexes. Arthroskopie, 2014; 27 (3): 213–219
- Bedi A, Musahl V, Cowan JB.Management of Posterior Cruciate Ligament Injuries: An Evidence-Based Review. J Am Acad Orthop Surg, 2016; 24 (5): 277–289
- Petersen W, Achtnich A. Rekonstruktion des medialen Kollateralbandkomplexes. Arthroskopie, 2014; 27 (3): 213–219
- Zantop T, Petersen W. Modified Larson technique for posterolateral corner reconstruction of the knee. Oper Orthop Traumatol, 2010; 22 (4): 373–386
- Rochecongar G, Plaweski S, Azar M, Demey G, Arndt J, Louis ML, Limozin R, Djian P, Sonnery-Cottet B, Bousquet V, Bajard X, Wajsfisz A, Boisrenoult P; French Society for Arthroscopy (Société française d’arthroscopie, SFA). Management of combined anterior or posterior cruciate ligament and posterolateral corner injuries: a systematic review. Orthop Traumatol Surg Res, 2014; 100 (8 Suppl): S371–S378
- Strobel MJ, Schulz MS, Petersen WJ, Eichhorn HJ. Combined anterior cruciate ligament, posterior cruciate ligament, and posterolateral corner reconstruction with autogenous hamstring grafts in chronic instabilities. Arthroscopy, 2006; 22 (2): 182–192
- Shin YS, Kim HJ, Lee DH. No Clinically Important Difference in Knee Scores or Instability Between Transtibial and Inlay Techniques for PCL Reconstruction: A Systematic Review. Clin Orthop Relat Res, 2017; 475 (4): 1239–1248
- Shin YS, Kim HJ, Lee DH. No Clinically Important Difference in Knee Scores or Instability Between Transtibial and Inlay Techniques for PCL Reconstruction: A Systematic Review. Clin Orthop Relat Res, 2017; 475 (4): 1239–1248
- Petersen W, Zantop T. Arthroscopic reconstruction of the anterolateral bundle of the posterior cruciate ligament in single-bundle technique with autologous hamstring grafts. Oper Orthop Traumatol, 2010; 22 (4): 354–372
- Lee SH, Jung YB, Lee HJ, Jung HJ, Kim SH. Remnant preservation is helpful to obtain good clinical results in posterior cruciate ligament reconstruction: comparison of clinical results of three techniques. Clin Orthop Surg, 2013; 5 (4): 278–286
- Frosch KH, Akoto R, Heitmann M, Enderle E, Giannakos A, Preiss A.Arthroscopic reconstruction of the popliteus complex: accuracy and reproducibility of a new surgical technique. Knee Surg Sports Traumatol Arthrosc, 2015; 23 (10): 3114–3120
- Zantop T, Petersen W. Modified Larson technique for posterolateral corner reconstruction of the knee. Oper Orthop Traumatol, 2010; 22 (4): 373–386
- Yoon KH, Lee JH, Bae DK, Song SJ, Chung KY, Park YW. Comparison of Anatomic Posterolateral Knee Reconstruction Using 2 Different Popliteofibular Ligament Techniques. Am J Sports Med, 2016; 44 (4): 916–921
- Zantop T, Petersen W. Modified Larson technique for posterolateral corner reconstruction of the knee. Oper Orthop Traumatol, 2010; 22 (4): 373–386
- Strobel MJ, Schulz MS, Petersen WJ, Eichhorn HJ. Combined anterior cruciate ligament, posterior cruciate ligament, and posterolateral corner reconstruction with autogenous hamstring grafts in chronic instabilities. Arthroscopy, 2006; 22 (2): 182–192
- Forkel P, Seppel G, Imhoff A, Petersen W. Suturing and refixation of the medial collateral ligament in severe acute medial instability of the knee. Oper Orthop Traumatol, 2015; 27 (2): 155–171
- Petersen W, Achtnich A. Rekonstruktion des medialen Kollateralbandkomplexes. Arthroskopie, 2014; 27 (3): 213–219
- Petersen W, Loerch S, Schanz S, Raschke M, Zantop T. The role of the posterior oblique ligament in controlling posterior tibial translation in the posterior cruciate ligament-deficient knee. Am J Sports Med, 2008; 36 (3): 495–501
- Weimann A, Schatka I, Herbort M, Achtnich A, Zantop T, Raschke M, Petersen W. Reconstruction of the posterior oblique ligament and the posterior cruciate ligament in knees with posteromedial instability. Arthroscopy, 2012; 28 (9): 1283–1289
- Herbort M, Michel P, Raschke MJ, Vogel N, Schulze M, Zoll A, Fink C, Petersen W, Domnick C. Should the Ipsilateral Hamstrings Be Used for Anterior Cruciate Ligament Reconstruction in the Case of Medial Collateral Ligament Insufficiency? Biomechanical Investigation Regarding Dynamic Stabilization of the Medial Compartment by the Hamstring Muscles. Am J Sports Med, 2017; 45 (4): 819–825
- Herbort M, Michel P, Raschke MJ, Vogel N, Schulze M, Zoll A, Fink C, Petersen W, Domnick C. Should the Ipsilateral Hamstrings Be Used for Anterior Cruciate Ligament Reconstruction in the Case of Medial Collateral Ligament Insufficiency? Biomechanical Investigation Regarding Dynamic Stabilization of the Medial Compartment by the Hamstring Muscles. Am J Sports Med, 2017; 45 (4): 819–825
- Tischer T, Paul J, Pape D, Hirschmann MT, Imhoff AB, Hinterwimmer S, Feucht MJ. The Impact of Osseous Malalignment and Realignment Procedures in Knee Ligament Surgery: A Systematic Review of the Clinical Evidence. Orthop J Sports Med, 2017; 5 (3): 2325967117697287
- Tischer T, Paul J, Pape D, Hirschmann MT, Imhoff AB, Hinterwimmer S, Feucht MJ. The Impact of Osseous Malalignment and Realignment Procedures in Knee Ligament Surgery: A Systematic Review of the Clinical Evidence. Orthop J Sports Med, 2017; 5 (3): 2325967117697287
- Petersen W, Zantop T. Arthroscopic reconstruction of the anterolateral bundle of the posterior cruciate ligament in single-bundle technique with autologous hamstring grafts. Oper Orthop Traumatol, 2010; 22 (4): 354–372
- Li B, Shen P, Wang JS, Wang G, He M, Bai L.Therapeutic effects of tibial support braces on posterior stability after posterior cruciate ligament reconstruction with autogenous hamstring tendon graft. Eur J Phys Rehabil Med, 2015; 51 (2): 163–170











