In einigen Lehrbüchern für die Amputationsmedizin findet diese tibiofibulare Osteomyoplastik zur Stumpfumgestaltung Erwähnung; da es sich bei dem überwiegenden Teil der hiesigen Amputationskandidaten jedoch um Patienten mit Kontraindikationen handelt, wird sie nur selten in Deutschland praktiziert. Möglicherweise weil die bewährte Unterschenkelamputation nach Burgess und die Anwendung der aktuellen Versorgungstechniken befriedigende bis sehr gute Nutzungsergebnisse zeigen. Die militärischen Konflikte der beiden vorangegangen Dekaden haben bei den Streitkräften und ihren Zivilgesellschaften eine Vielzahl von jungen Unterschenkelamputierten verursacht1. Die international beschriebenen funktionellen Möglichkeiten einer solchen Osteomyoplastik (Knochenbrückensynostose) sind bekannt, daher ist man insbesondere in den USA bestrebt, die konventionell transtibiale Amputation (Burgess) mit der osteomyoplastischen transtibialen Amputation (modifiziert nach Ertl) vergleichend zu analysieren, um zukünftige Standards oder Empfehlungen erarbeiten zu können2. Der Autor nimmt im Artikel Bezug auf einige renommierte vergleichende und laufende Studien (Pro und Kontra): Diese haben die verantwortlichen Operateure und ihn dazu veranlasst, in diesem Versorgungsfall diese alternative Amputationstechnik zur Stumpfoptimierung anzuwenden3. Der aktuelle (Ukraine-)Krieg erhöht zukünftig in Europa, speziell in Osteuropa, die Klientel an hochaktiven Amputierten und die deutsche Orthopädietechnik wird dabei nicht nur Zuschauer sein. Der Autor hofft, dass mit der Schilderung des Versorgungsbeispiels und durch Empfehlung der aufgeführten Quellen zur Osteomyoplastik die Aufmerksamkeit an dieser Technik wieder auflebt.
Einleitung
Der hier aufgeführte Versorgungsfall ist Offizier einer militärischen Spezialeinheit und verlor während eines Kampfeinsatzes im Oktober 2020 beide Füße. Bei der unmittelbaren militärmedizinischen Erstversorgung im Feldlazarett wurde klug und situationsgerecht gehandelt. Es wurde keine übereilte Stumpfgestaltung, sondern eine geringe knöcherne Absetzung zur Durchführung eines ordnungsgemäßen Wundverschlusses durchgeführt. Aufgrund der Spreng- und Ausrissverletzungen wurde zur Begradigung der zerstörten Gelenkflächen und zur spannungsfreien Weichteildeckung jeweils ein transversaler Sägeschnitt durch Tibia und Fibula vorgenommen.
Im Januar 2021 stellte sich der 32-jährige Major R. im Bundeswehrkrankenhaus Berlin (Klinik für Unfallchirurgie und Orthopädie, Septisch-Rekonstruktive Chirurgie, Forschungs- und Behandlungszentrum Rekonstruktion von Amputations- und Defektwunden) beim Klinikdirektor und Oberstarzt Prof. Dr. Christian Willy vor. Mobilisiert war er im Rollstuhl; die überlangen Stümpfe waren erwartungsgemäß nicht kontaktfähig, die Absetzungslinie zeigte sich bei ca. 4 cm bzw. ca. 6 cm proximal der medialen Malleolen. Die Hautoberfläche beider Unterschenkelstümpfe war mit den typischen Einschlüssen von kleinsten Schrapnellpartikeln gezeichnet. Sonstige Auffälligkeiten am Muskel- und Skelettsystem gab es keine. Bei einer Körpergröße von vormals 186 cm ist ein Kniespalt-Boden-Maß von 51–52 cm anzunehmen. Das Körpergewicht betrug 90 kg.
Bedarfsanalyse
Die physischen Belastungen im Dienst sind für solche spezialisierten Berufssoldaten besonders hoch. Neben dem Fallschirmspringen, der amphibischen und alpinen Gefechtsfeldausbildung gehören extreme Märsche über große Distanzen zum militärischen Alltag.
Während der ersten Konsultationen wurde vom Patienten wiederholt der hohe Funktionsanspruch an die zukünftige Prothesenversorgung betont. Im gleichen Zuge gab es seinerseits die Zusicherung, dass er mit einem Höchstmaß an Disziplin und Fleiß am Gelingen dieses umfangreichen Rehabilitationszieles beitragen werde. Da diese Militärangehörigen enorm mental trainiert werden, wurden eine vorbildliche Therapietreue und ein starker Wille vorausgesetzt.
Trotz der zahlreichen Informationen aus den gängigen Video-Internetkanälen und ‑Plattformen unterlag er keiner realitätsfernen Einschätzung. Er erkannte vor Beginn der Versorgung, welche Aktivitäten er zukünftig nur eingeschränkt würde ausüben können. Wir starteten mit einer konservativen, realistischen Prognose. Gewünscht war das Wiedererlangen der Fähigkeit des mehrstündigen Gehens und Stehens sowie eigenständig Autofahren zu können. Als mittelfristiges Ziel nannte der Patient den Fitnesssport, auch auf dem Laufband, und als Traumziel das Absolvieren von Trekkingtouren durch die Berge.
Zielformulierung
Kein Patient vorher konnte mich so glaubhaft von einem 4er-Mobilitätsanspruch überzeugen. Dafür benötigte er hochbelastbare Stümpfe, möglichst für die nächsten 15–20 Jahre. Aus vorangegangenen Versorgungen von drei ähnlich aktiven bilateral amputierten Patienten, diese waren schon ca. 15 und ca. 25 Jahren zuvor amputiert, war mir bekannt, wie geschädigt sich das proximale Areal der Stümpfe nach einer intensiven Nutzung mit Kurzprothesen darstellen kann. Die berechtigte Frage war also: Wie langlebig sind Burgess-Stümpfe, insbesondere bei jungen und hochaktiven bilateral amputierten Patienten? Denn man bedenke: Der einseitig Amputierte kann sich in einer Schmerz- oder Überlastungssituation des Stumpfes auf seinem erhaltenen Bein kompensieren, sowohl beim Pausieren als auch durch eine asymmetrische Belastungszeit während eines Doppelschrittes. Dem Doppelamputierten ist diese Kompensation nicht möglich.
Eine Stumpfrevision war aus mehreren Gründen indiziert: Zuerst einmal waren die transversalen Sägeschnitte am Ende von Tibia und Fibula nicht zur definitiven Prothesenversorgung nutzbar. Beide Stumpflängen mussten reduziert werden, insbesondere um eine funktionelle Prothesenversorgung sicherstellen zu können. Die vernarbten Weichteilareale, ggf. noch mit durch die Explosion verursachten mineralischen und metallischen Verunreinigungen, und die minimal weichteilgedeckten Partien, vorrangig die distalen Tibiaspitzen mit den medialen Tibiaflächen, führen bei hoher mechanischer Beanspruchung zu oberflächlichen Schädigungen. Die avisierten Längen für die neu zu gestaltenden Stümpfe wurden auch durch die Weichteilqualität mitbestimmt. Die Tibialängen dazu waren wie folgt benannt: minimal 16 cm, ideal 19–22 cm.
Welche Möglichkeiten gibt es also für eine so intensive Prothesennutzung bei diesen speziellen Anforderungen? Auch unter dem Aspekt, dass man nicht mehrmals monatlich eine spezialisierte OT-Werkstatt in Anspruch nehmen kann. Denn bei jedem Liner-Haftschaft-System gilt es, das dauerhafte zu tiefe Hineinrutschen des Stumpfes in den Schaft durch Änderung an der Schaftform zu verhindern. Denn auch bei einem gut gestalteten Burgess-Stumpf ist das Stumpfende nur teilbelastbar.
Ein transkutan osseointegriertes System war als Reserveoption evaluiert, dafür wurde auch die o. g. Minimallänge der Tibiae definiert. Aber ein transtibiales Endo-Exo-Prothesensystem ist bei einem derartig avisierten Aktivitätslevel kontraindiziert. Die ausladende proximale Tibiagestalt und die dadurch fehlende röhrenartige Form gewährleisten dem Implantat keinen dauerhaft stabilen Formschluss. Um das Kniegelenk vor Instabilität und vorzeitiger Abnutzung zu schützen, sollte der Vorfußhebel des Prothesenfußes deutlich (im Vergleich zu einer konventionellen Schaftversorgung) durch Rückverlagerung verkürzt werden4. Meines Erachtens beeinträchtigt solch eine Modifizierung jedoch die Effizienz der energieaufnehmenden Prothesenfüße.
Die Zielstellung war, die Stümpfe so zu gestalten, dass sie zukünftig mehr und längere Endbelastung aufnehmen können. Im Idealfall sogar mit weniger Einengung im Abschnitt der Mid Patellar Tendon (MPT) bis zur 2,5er Höhe. Zusätzlich wird dadurch im prothetischen Interface eine optimale Verbindung gefunden.
Für einen Prothesentechniker mit langjähriger Erfahrung, der die Gelegenheit bekommt, eine individuelle Vorstellung bei der Planung einer Stumpfrevision einfließen zu lassen und auf eine hohe Expertise der Amputationsmediziner zurückgreifen kann, ist eine Knochenbrücke eine interessante Option. Die Technik wird im Standardwerk von Baumgartner et al.5 explizit beschrieben. Dort ist eine deutlich positive Bewertung herauszulesen.
In einem Fachartikel in der ORTHOPÄDIE TECHNIK widmen sich Schröter et al. (BG Klinik Halle)6 diesem Thema. Bei der Einschätzung dieser Technik beziehen sie sich auf die bekanntesten US-amerikanischen Veröffentlichungen. Auch wenn sie sich darin zurückhaltend äußern, so benennen sie deutlich die Vorteile und können sogar auf erste Ertl-Erfahrungen zurückgreifen7. Damit endet die Liste der aktuellen deutschsprachigen Publikationen zum Thema Ertl. Erkundigt man sich im Kreise langjähriger spezialisierter Fachkollegen zu diesem Thema, folgt die Frage nach dem Warum oder nach einer Klinik mit dieser Expertise. Weitet man die Suche jedoch weltweit aus, lassen sich einige Beiträge finden. Hier eine kurze Zusammenfassung:
Die modifizierte Stumpfgestaltungstechnik nach Ertl hat sich während der letzten zwei Dekaden häufig bei den traumatischen Unterschenkelamputationen bewährt. Dadurch hat sie bei vielen Amputationsmedizinern einen höheren Stellenwert bei der Wahl der Amputationstechniken bekommen. Warum? Als Hauptargument wird angeführt, dass die Knochenbrücke eine in sich stabilere und flächigere Basis bietet und dadurch eine höhere distale Lastaufnahme möglich ist. Dieses Mehr an Stumpfendbelastbarkeit ermöglicht eine längere Belastungszeit der Prothese und bietet jungen, gesunden und hochaktiven Patienten einige Vorteile gegenüber dem konventionellen Amputationsverfahren8 9 10 11 12 13 14 15 16 17.
Der Beweis eines zusätzlichen Benefits dieser Technik bei der Prothesenversorgung wurde noch nicht erbracht. Bei der modernen Schaftgestaltung erfolgt der Lastübertrag auf den Schaft großflächig bis global, so die Skeptiker18. Da die modifizierte Ertl-Technik sehr komplex ist, kann sie zu Komplikationen an der tibiofibulären Knochenbrücke führen.
Derzeit fehlt es an qualitativ hochwertiger Evidenz dafür, welcher Amputationsansatz für die Behandlung von Traumata der unteren Extremitäten am besten geeignet ist. Ebenso an einheitlichen Operationstechniken und Standards für die nachfolgende Rehabilitation.
Überblick
Terminologie und Beschreibung der Amputationstechnik
Was ist die Amputationstechnik nach Ertl? Janos Ertl (1949) benutzte zur knöchernen Vereinigung von Tibia und Fibula einen Knochenchip. Die von Guedess-Pinto weiterentwickelte Technik sieht eine Brückensynostose aus einem 4–5 cm langen Fibulastück vor und wird als modifizierter Ertl bezeichnet (Abb. 1). Diese Ausführung ist heute die am häufigsten angewendete Technik; in den internationalen Publikationen der letzten 20 Jahre werden alternative Begriffe wie Brückensynostose, Knochenbrücke, Tibiofibulare Synostose, Ertl Bridge, Ertl Procedure, Bone Bridge Synostosis oder auch Osteomyoplastische Transtibiale Amputation (OTTA) genutzt. Gemeint ist immer ein modifizierter Ertl.
„Trauma-related transtibial amputations have numerous complications. The modified Ertl amputation adds a bone bridge that connects the residual tibia to the fibula. Surgical steps are added, requiring additional operating-room time, technical complexity, and the potential for complications that have been ill defined in the literature. The original bone-bridge amputation described by Ertl required a cortico-periosteal flap to create the bridge. Subsequent modifications most commonly utilize a fibular strut graft to create the synostosis. Collectively, these methods are frequently referred to as modified Ertl amputations or simply as bone-bridge or bridge synostosis amputations.“19
(„Traumabedingte Unterschenkelamputationen haben zahlreiche Komplikationen. Die modifizierte Ertl-Amputation fügt eine Knochenbrücke hinzu, die das verbleibende Schienbein mit dem Wadenbein verbindet. Hinzu kommen chirurgische Schritte, die zusätzliche OP-Zeit und technische Komplexität erfordern und das Potenzial für Komplikationen haben, die in der Literatur nur unzureichend angesprochen sind. Die von Ertl beschriebene ursprüngliche Knochenbrückenamputation erforderte einen Kortiko-Periostlappen, um die Brücke zu bilden. Nachfolgende Modifikationen verwenden am häufigsten ein Fibula-Strut-Transplantat, um die Synostose zu erzeugen. Zusammenfassend werden diese Methoden häufig als modifizierte Ertl-Amputationen oder einfach als Knochenbrücken- oder Brücken-Synostose-Amputationen bezeichnet.“)
Von den zwei früheren bekannten Versorgungen von Kriegsversehrten des Zweiten Weltkrieges war mir der „Stumpf mit Knochenbrücke“ noch als unkomplizierte Prothesenanfertigung in Erinnerung. Die bewährten Holzprothesen mit Weichwandinnentrichtern und Oberschenkelhülsen hatten dafür über Jahrzehnte gut funktioniert, warum dann nicht auch mit einem Liner-Vakuumsystem?
Operationstechnik-Studien
Bei der Vielzahl an verfügbaren Publikationen, Studien und Fallberichten kann man insgesamt von einem hohen Interesse ausgehen, denn es sind u. a. Arbeiten aus den USA, aus Brasilien und China20 21 22 23 24 25 26 27 28 29 30 31 32 verfügbar. Die meisten klinischen Veröffentlichungen bewerten die Ergebnisse positiv. Sie erörtern die Technik zur optimalen Knochensynostose und ermuntern die Ärzteschaft zur Anwendung dieser Technik 33. Andere Veröffentlichungen können aus der Brückensynostose keinen überzeugenden zusätzlichen Gebrauchsvorteil für den Amputierten ableiten34 35.
2011 wurde im US-amerikanischen Walter Reed National Military Medical Center in Maryland eine retrospektive Kohortenstudie mit 137 TT-Amputationen (100 Burgess: 37 mod. Ertl) durchgeführt, um die frühen und mittelfristigen Komplikationen zu vergleichen, die zu einer Reoperation bei kampfbedingten Unterschenkelamputationen führen36. Die durchschnittliche Nachbeobachtungszeit betrug zwei Jahre. Die Autoren weisen auf eine höhere Gesamtkomplikationsrate hin; dabei handelte es sich um nicht-infektiöse Komplikationen sowie eine höhere Reoperationsrate bei den modifizierten Ertl-Amputationen im Vergleich zur Burgess-Amputationstechnik.
„Bone-bridge-specific complications occurred in 32% of the modified Ertl group. Delayed union or nonunion of the synostosis (11%) and implant-related complications (27%) predominated. Three bone bridges were ultimately removed.“37
(„Knochenbrückenspezifische Komplikationen traten bei 32 % der modifizierten Ertl-Gruppe auf. Verzögerte Heilung oder Pseudoarthrose der Synostose (11 %) und Implantat-bedingte Komplikationen (27 %) überwogen. Drei Knochenbrücken wurden schließlich entfernt.“)
Die Gründe dafür sind nach Einschätzung der Autoren vielfältig: der Zeitpunkt der Primäramputation nach der Verletzung, die Stumpflänge, die fehlenden Standards, die variierenden Fixationstechniken zur Brückensynostose der verschiedenen Chirurgen und die Schaftgestaltung der Prothesen. Ein weiterer Grund findet im selben Artikel Erwähnung:
„It is plausible that the generally young and athletic, active-duty military patients in the bone-bridge cohort may be more prone to developing symptoms in the residual limbs because of their activity levels. However, these are the specific patients in theory who are most likely to benefit from a bridge synostosis. Finally, the long-term close follow-up and daily interaction with a dedicated amputation rehabilitation team may also contribute to the higher reoperation rate.“38
(„Es ist plausibel, dass die im Allgemeinen jungen und sportlichen Militärpatienten im aktiven Dienst in der Knochenbrückenkohorte aufgrund ihres Aktivitätsniveaus anfälliger für die Entwicklung von Symptomen an den Stümpfen sind. Dies sind jedoch die spezifischen Patienten, die theoretisch am ehesten von einer Brückensynostose profitieren. Schließlich können auch die lange, engmaschige Nachsorge und die täglichen Interaktionen mit einem engagierten Amputierten-Rehabilitationsteam zu der höheren Reoperationsrate beitragen.“)
Das ist eine bedeutsame Erkenntnis: zu zeitig zu viel Aktivität ohne und mit der ersten, vermutlich nicht passformgerechten Interimsprothese. Aus diesem Grund fertigten wir für den Zeitraum der aktiven Rehabilitation sogenannte Therapieschäfte ohne Prothesenfüße. Deren Hauptmerkmal ist eine spürbare Verengung auf transversaler Ebene von der medialen Tibiafläche zum fibularen Synostosenanteil, die bei optimalem Design einen sehr guten Schutz der Brückensynostose gewährleistet.
Aufgrund der signifikanten Komplikationsrate endet die Studienveröffentlichung mit der Aussage:
„Although we continue to selectively offer bone-bridging procedures, the results of this study emphasize the need for detailed patient counseling and careful patient selection prior to performing bone-bridging transtibial amputation, particularly in the absence of convincing evidence objective functional benefits from the procedure.“39
(„Obwohl wir weiterhin selektiv knochenüberbrückende Verfahren anbieten, unterstreichen die Ergebnisse dieser Studie die Notwendigkeit einer detaillierten Patientenberatung und sorgfältigen Patientenauswahl vor der Durchführung knochenüberbrückender Unterschenkeloperationen.“)
Insgesamt erfährt dieses Thema eine besondere Gewichtung in großen nordamerikanischen Traumazentren (zivil und militärisch) [siehe unten TAOS]. Dort ist die Technik der transtibialen osteomyoplastischen Amputation kein Standard, aber das Interesse daran beachtlich. Die meisten Studien sind aufgrund ihrer geringen Teilnehmerzahl und ihres retroperspektivischen Charakters nicht konsistent. Es bedarf unbedingt einer prospektiven und randomisierten Bewertung der beiden Amputationsansätze. Das US-Verteidigungsministerium hat dieses Wissensdefizit erkannt und unterstützt den Abschluss einer derartigen multizentrischen Studie. Seit 2013 läuft deshalb die Studie „Transtibial Amputation Outcomes Study (TAOS): Comparing Transtibial Amputation With and Without a Tibiofibular Synostosis (Ertl)Procedure“40. Die teilnehmenden 23 Zentren werden bezüglich des Studiendesigns und der Datenerfassung durch staatliche und wissenschaftliche Institutionen begleitet. Diese Studie wird erstmals die Wirksamkeit der beiden Amputationsverfahren unter Bewertung der prothetischen Versorgung empirisch überprüfen, um die festgelegten Hypothesen zu belegen bzw. zu widerlegen. Eine Arbeitsgruppe, bestehend aus spezialisierten Fachärzten und zertifizierten Prothetikern, hat zu diesem Zweck ein objektives Bewertungstool zur Passform des Prothesenschaftes und zum optimierten Prothesenaufbau geschaffen. Diese Zusatzstudie wird vom Peer Reviewed Orthopaedic Research Program (PRORP) des US-Verteidigungsministeriums (DoD) entwickelt, validiert und finanziert. Man darf gespannt sein, inwieweit sich Details des Studien-Controllings bei der alltäglichen prothetischen Versorgung praktisch anwenden lassen werden.
Entscheidung zur Operationstechnik
Die Ergebnisse von TAOS liegen leider noch nicht vor. Aber die Tatsache, dass TAOS überhaupt initiiert wurde, hat mich zu einem engagierten Ertl-Fürsprecher werden lassen. Auch die beachtliche Teilnehmerzahl von „Ertl-Stumpf“-Patienten bei den vereinzelten US-amerikanischen Studien hat mein Interesse befeuert41 42 43.
Zur weiteren Agitation hat mich auch die konsentierende Studie „Combat-related bridge synostosis versus traditional transtibial amputation: comparison of military-specific outcomes“ bewegt44. Diese ist retrospektiv, nicht randomisiert, aber mit einer beachtlichen Teilnehmerzahl an unterschenkelamputierten Militärangehörigen durchgeführt worden. Von insgesamt 478 Probanden waren 406 konventionell nach Burguess amputiert und bei 72 wurde eine modifizierte Ertl-Amputationen durchgeführt – ebenfalls mit einer ermutigenden Zusammenfassung.
„There is a higher rate of remaining on active duty using the Ertl technique. This study suggests that there is an improvement in functional outcome with the Ertl technique.“45
(„Bei der Ertl-Technik gibt es eine höhere Verbleibrate im aktiven Dienst. Diese Studie legt nahe, dass es eine Verbesserung des funktionellen Ergebnisses mit der Ertl-Technik gibt.“)
Entscheidender als die positiven Veröffentlichungen war die exzellente Expertise der spezialisierten Ärzte des Bundeswehrkrankenhauses Berlin, ohne die es keine Entscheidung für die Durchführung einer osteomyoplastischen Amputationstechnik gegeben hätte. Die endgültige Entscheidung wurde interprofessionell und mit dem Patienten getroffen.
Therapieverlauf
Beschreibung der operativen Stumpfgestaltung
Die bilateralen Stumpfrevisionen zur modifizierten Ertl-Stumpfgestaltung erfolgten im Februar 2021 im zeitlichen Versatz von einer Woche. Die verantwortlichen Operateure waren Oberfeldarzt Miriam Vosloo, Fachärztin für Gefäßchirurgie, Leiterin Wundzentrum, Endovaskuläre Chirurgie und Amputationsmedizin, und Oberfeldarzt Dr. Dennis Vogt, Facharzt für Orthopädie und Unfallchirurgie, Schwerpunktleiter Septisch-Rekonstruktive Chirurgie mit der Expertise für Osteomyoplastik/Osteosynthesen.
Das größte Hauptaugenmerk war darauf zu richten, dass die Fibulastrebe ihre optimale Blutversorgung behält. Dies wird durch eine geringfügig manipulierte und unbeschädigte, am Wadenbeinperiost anhaftende Muskulatur lateral und dorsal sichergestellt (Abb. 2).
Die imaginären Mittellinien von Tibia und Fibula sollten annähernd parallel ausgerichtet sein oder nach stumpfabwärts dezent konisch verlaufen. Daher ist es nicht ausreichend, die Fibulalänge nur anhand der Tibia-Absetzungslinie auszumessen, denn die allgemein in Veröffentlichungen genannten 5 cm können bei einem schlankgliedrigen Unterschenkel zu einer ungewollten skelettären Verbreiterung im distalen Abschnitt führen.
Idealerweise sollte die gebildete Fibulastrebe in transversaler Betrachtung annähernd im rechten Winkel zur medialen Tibiafläche in die Tibia eingesetzt werden. Dies ist zur Einhaltung der geplanten distalen M‑L-Weite hilfreich (Abb. 3).
Auf den Punkt der Fibula-Umlenkung muss akribisch geachtet werden. Wird er einige Millimeter zu weit distal gelegt, entsteht ein prominenter distaler Kontaktpunkt, der in der späteren Schaftversorgung problematisch werden kann. Im Idealfall ist die Fibulastrebe während der einbeinigen Körperunterstützung waagerecht ausgerichtet oder sie steigt leicht nach lateral an (Abb. 4).
Dazu muss die adäquate Belastungslinie präoperativ, auch unter Berücksichtigung einer frontalen Knieachsabweichung, zumindest annähend definiert sein. Meine Anwesenheit im OP-Saal, ärztlicherseits gewünscht, hat mir die Komplexität dieser Stumpfgestaltung deutlich gemacht. Darüber hinaus war es für den interdisziplinären Teamgedanken förderlich.
Statt einer Kortikalisschraube, einer Plattenosteosynthese oder eines nicht resorbierbaren Fadenmaterials (Tight Rope) entschieden sich die Operateure für je zwei passager einzubringende Kirschner-Drähte, die von schräg distal nach schräg proximal implantiert wurden (vgl. Abb. 1 und 5).
Nach Erstellung der Knochenbrücke wurde entsprechend der modifizierten Burgess-Amputation eine Myoplastik durchgeführt und ein langer hinterer Lappen zum Stumpfverschluss verwendet.
Die finalen Tibialängen von jeweils 18 cm ab Kniegelenkspalt garantieren im gefäßphysiologischen Sinne und unter den Aspekten der prothesentechnischen Konfiguration eine sinnvolle Stumpflänge. Für eine spätere Reserveoption bildet diese Länge eine gute Basis. Durch die Kürzung entstand eine ausreichende Bauhöhe für die notwendige Technik. Ein „Zuviel“ (>3 cm) an prothesentechnischer Verlängerung gestaltet sich für den bilateralen Nutzer als problematisch. Bei ca. 4 cm postoperativ, später 1–2 cm distaler Weichteildeckung und ca. 1,5 cm distaler Wandungsstärke des Liners verblieb bei einer theoretischen Gesamtlänge von 51–52 cm unterhalb der Prothesenschäfte eine Bauhöhe von 28–30 cm — ideal für die Erstversorgung. Für die technischen Komponenten der High-End-Versorgung musste das Knie-Boden-Maß um <3 cm verlängert werden.
Planung und Durchführung der prothetischen Versorgung
Postoperative Phase
- Direkt postoperativ erfolgte eine elastokompressive Stumpfwickelung.
- Ab dem 5. postoperativen Tag erfolgte eine Kompressionstherapie mit Kompressionsstrümpfen (Anlegen nur mit einem Anziehring).
- Ab dem 10. postoperativen Tag wurde die Kompressionstherapie mit intervallischer Lineranwendung ergänzt (Cushion-Liner Größe 32).
- Die Kirschner-Drähte wurden nach 12 bzw. 13 Wochen operativ entfernt (Entfernung erfolgte zeitgleich).
- Nach Entfernung der Kirschner-Drähte wurde die Liner-Größe reduziert.
- Fertigung der Therapieschäfte (Abb. 6) um eine Knochenbrückendislokation zu verhindern (zukünftig: bei Patientenakzeptanz idealerweise Gipsabdruck mit reduzierter Linergröße für die erforderlichen Therapieschäfte und deren Fertigung noch vor Entfernung der Kirschner-Drähte)
- Unter Verwendung dieser Therapieschäfte waren drei Wochen hochfrequenter Reha-Sport mit täglicher Physiotherapie zur Kontrakturreduzierung der Hüft- und Kniebeugemuskulatur gestattet.
Interims-Versorgung
Die ersten Test-Prothesenschäfte wurden im distalen Schaftareal mit einem deutlichen partiellen Druck von medio-frontal zu dorso-lateral gestaltet, ähnlich wie das Design der Therapieschäfte.
Bei der Erprobung der Prothesenfüße zeigte sich, dass ein stabiler Vorfußhebel für die Sicherheit des Anwenders nur wenige Tage erforderlich war. Eine weiterentwickelte Version mit einem C‑förmigen Fußmodul, die eine Vorwärtsbewegung unterstützt, wurde ebenfalls nur kurzzeitig benötigt. Zu unserem Erstaunen wünschte sich der experimentierfreudige Anwender schon frühzeitig mehr Flexibilität im fiktiven Fußgelenk. Nach dem Test von drei Modellen mit großem Bewegungsumfang im Knöchelgelenk bewährte sich der Prothesenfuß (PF Pivot) mit einem 27° Bewegungsumfang dauerhaft im Alltag.
Nach vier Wochen und einer Vielzahl von Testschäften, ausgeführt in unterschiedlichen Schaftdesigns und Volumenabänderungen, war die Erstversorgung abgeschlossen. Die finalen Interimsschäfte konnten für drei Monate ohne Schaftänderung intensiv und vielseitig genutzt werden.
Definitiv-Versorgung 1 und 2
Die Phase der Definitiv-Versorgung 1 galt der Volumenanpassung und Optimierung der Alltagsprothesen und der Erprobung eines tiefstmöglichen proximalen Schaftrandes. Dieser konnte seitlich auf Höhe des Kniegelenkspaltes und vorn auf ein Niveau unterhalb der MPT-Höhe verringert werden (Abb. 7).
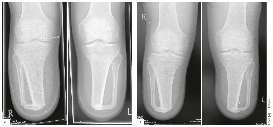
Die Röntgenkontrolle Anfang Dezember 2021 zeigte zwei stabile Brückensynostosen und bestätigte unsere geplante Vorgehensweise. Die sportlichen Aktivitäten des Anwenders konnten weiter erhöht werden. Je mehr Bodenreaktionskraft auf die distalen Knochenverbindungen wirkte, desto schneller fand die Durchbauung der Synostosen statt. (Abbildungen mit Röntgenbildern 10. Monat) Daher wurde in dieser Phase, im Januar 2022, mit der Anfertigung von Prothesen für sportliche Aktivitäten begonnen. Die speziellen Ansprüche erforderten einen klassischen Schaftrandverlauf an den dafür genutzten Prothesenschäften.
Die Phase der Definitiv-Versorgung 2 erfolgte nach weiteren elf Monaten. Sämtliche Schaftdesigns und technischen Konfigurationen hatten sich bewährt, sodass größere Schaftänderungen in einer Werkstatt innerhalb dieser Zeit nicht nötig waren. Nach alltagsintensiver und sportlicher Nutzung hat sich erwartungsgemäß ein weiterer messbarer Teil der ehemals sprunggelenksichernden Unterschenkelmuskulatur aufgrund von extremer Aktivität „verbrannt“. Infolgedessen wurde eine Volumenreduzierung an allen Schäften erforderlich.
Nach den Erfahrungen der ersten Skiabfahrten im Februar 2022 wurden Ski-Prothesen mit Oberschenkelhülsen gefertigt und konnten im März 2023 erfolgreich erprobt werden (Abb. 8).
Evaluation der Versorgung
Die teilweise sehr substanziellen internationalen Publikationen waren für uns Ansporn und Leitfaden, aber auch Anlass, um bei Details abzuweichen. Im Unterschied zu den US-amerikanischen Publikationen
- wurden Kirschner-Drähte zur temporären Fixierung verwendet,
- eine Wartezeit von drei Monaten verordnet,
- anschließend nicht gehfähige Therapieschäfte mit speziellem distalem Schaftdesign eingesetzt und
- die erstmalige Belastung in den Prothesen erst nach vier Monaten vorgenommen.
Seit Beginn der ersten Gehübungen konnten folgende Ergebnisse erzielt werden:
- Innerhalb eines Monats konnte der Anwender uneingeschränkt laufen, trotz vorangegangener achtmonatiger Rollstuhlbindung.
- Nach gleicher Dauer waren ein freihändiger Treppenaufstieg sowie ein stabiler Einbeinstand möglich (Abb. 9).
- Drei Monate später absolvierte der Patient erste Treckingtouren durch unebenes Gelände und Jogging auf dem Laufband.
- Ein Jahr später war alpine Skiabfahrt ausführbar.
- Ab dieser Zeit wurde die Intensität und die Komplexität der sportlichen Aktivität kontinuierlich erhöht und erweitert mit regelmäßigem Fußballtraining und Gewichtheben.
- Während der ersten elf Monate nach Abschluss der Definitiv-Versorgung 1 waren keine Änderungen in der Werkstatt nötig.
Status der Brückensynostose nach 24 Monaten
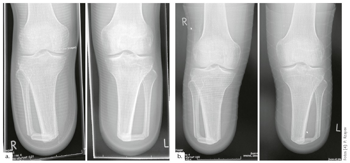
Hochinteressant ist, welche Umbauprozesse sich an der Tibiaspitze und der Fibulastrebe vollzogen haben. Am auffälligsten ist das an der linken Brückensynostose erkennbar: Überflüssige knöcherne Randbereiche werden durch Demineralisierung abgebaut. Ein besonderes Monitoring ist daher nicht erforderlich. Jeder vitale Knochen behält nur die Dimension, die für seine stabilisierende Funktion notwendig ist. Das linke Bein ist weiterhin Stand- und Stopp-Bein geblieben.
Die linke und rechte Brückensynostose sind geometrisch nicht identisch. Am linken Stumpf trifft die Fibulastrebe in transversaler Betrachtung (von distal) nicht im gleichen Winkel auf die mediale Tibiafläche. Diese Modifizierung ist bisher ohne spürbare Auswirkung (Abb. 12).
Fazit
Um eine stabile Vereinigung der tibiofibularen Synostose zu schaffen, ist vor allem eine sehr lange Wartezeit notwendig, bedingt durch eine ca. dreimonatige Fixierung mit Kirschner-Drähten. Der Patient muss das explizit verstehen und streng befolgen. Eine Stumpfrevision dieser speziellen Art sollte nur von Operateuren mit hervorragender Expertise ausgeführt werden.
Durch Vermeidung von permanentem Fremdmaterial im Stumpf sowie der restriktiven Anwendung eines individuellen postoperativen Programms wurden wichtige Risikofaktoren vermieden. Ab dem Zeitpunkt der radiologisch nachgewiesenen gesicherten Synostose kann eine hohe Belastung auf die Knochenbrücke wirken, damit die vollständige Verknöcherung schneller erfolgt. Die sichtbaren, nicht störenden Ecken werden durch Demineralisierung der Kanten allmählich „abgerundet“. Es bleibt abzuwarten, inwieweit Exostosen durch das Verschließen des Röhrenknochens dauerhaft verhindert werden. Der zweijährige Rückblick gibt Anlass zu verhaltenem Optimismus.
Aus der Stumpfgestaltung mit modifiziertem Ertl ergeben sich zusammengefasst folgende Nutzungsvorteile: Beeindruckend ist die Möglichkeit, die Prothesen so intuitiv sicher zu kontrollieren, trotz des minimalistischen Schaftrands und der Prothesenfüße mit ihrem großen Bewegungsumfang (Alltagsprothesen). Eine ganztägige dynamische Nutzung der Prothesen ist möglich. Bei sportlichen Aktivitäten (Sportprothesen) wird sichtlich viel Energie aus den Bodenreaktionskräften in den Fußkonstruktionen aufgenommen und für eine hohe Dynamik genutzt (Abb. 11).
Die Knochenbrücke erzeugt eine kompakte Einheit, welche hohe Kraftmomente aus dem Hüft- und Kniegelenk auf die Prothese übertragen kann46 (Abb. 10). Und es gibt einen weiteren Nutzen: Vermutlich können sich die Stümpfe mit ihrer Knochenbrücke beim allmählichen täglichen Hineinrutschen im Schaftboden besser abstützen. Dadurch verringern sich die mechanischen Stressursachen, die u. a. durch die zusätzlichen Stumpfstrümpfe an den bekannten proximalen Stumpfpartien entstehen. Diese oder ähnliche Vorteile werden sicher auch im Rahmen TAOS-Studie erfasst werden.
Im Bundeswehrkrankenhaus Berlin werden weitere gefechtsfeldbedingte Amputationen durch eine modifizierte Ertl-Stumpfgestaltung nachversorgt werden.
Der hier gezeigte Anwender hat ein außerordentlich trainiertes Körpergefühl und eine exzellente mentale Fitness. Die Ergebnisse in diesem Versorgungsfall sind durchschlagend. Es ist nicht mit einer tibiofibularen Stumpfgestaltung getan, sondern der spezialisierte Orthopädietechniker ist mit seinen Spezialkenntnissen gefordert. Letztendlich entscheidet die Qualität des prothetischen Sitzes und die Ausrichtung am Stumpf über eine nachhaltig hohe Nutzungsqualität.
Eingangs hatte ich eine mögliche Begründung für die äußerst seltenen Ertl-Stümpfe genannt. Es gibt aktuell weitere junge, sportliche Personen mit ähnlichem Potenzial, die nicht genau Gleiches leisten wollen, aber nach einer planbaren Stumpfrevision lebenslang prothesenfähig auf hoher Aktivität sein könnten.
Aus der Ukraine gab es im Dezember 2022 unbestätigte Zahlenangaben von ca. 12.000 ukrainischen verletzten Soldaten monatlich (ausgenommen sind zivile Verletzte). In der militärmedizinischen Bewertung geht man von 2400 komplex verletzten Soldaten aus, von denen ca. 10–25 % Gliedmaßenamputationen erhalten werden47 48 49. Es ist also mit ca. 250–500 amputierten Soldaten pro Monat allein auf ukrainischer Seite zu rechnen. Für den Wiederaufbau der Heimat werden die (jungen) kriegsbedingt Amputierten benötigt. Auch für ihr weiteres ziviles Berufsleben sind für diesen Personenkreis gut belastbare Amputationsstümpfe unabdingbar.
Danksagung
Vielen Dank für eine großartige multidisziplinäre Zusammenarbeit an: Oberstarzt Prof. Dr. Christian Willy, Direktor der Klinik für Unfallchirurgie und Orthopädie, Septische-Rekonstruktive Chirurgie, Forschungs- und Behandlungszentrum Rekonstruktion von Amputations- und Defektwunden am Bundeswehrkrankenhaus Berlin und seine engagierten Spezialisten
Oberfeldarzt Miriam Vosloo, Fachärztin für Gefäßchirurgie, Leitung Wundzentrum, Endovaskuläre Chirurgie und Amputationsmedizin
Oberfeldarzt Dr. Dennis Vogt, Facharzt für Orthopädie und Unfallchirurgie, Schwerpunkt Septisch-Rekonstruktive Chirurgie mit Expertise Osteomyoplastik/Osteosynthese bzw. Osteosynostosis und Defektwunden, Kriegstrauma.
Ein herzliches Dankeschön an einen vorbildlichen und experimentierfreudigen Patienten, dessen Motto immer „Think positive“ war.
Der Autor:
Gernot Kretschmer, OTM
c/o pro-samed Sanitätshaus e. K.
Greifswalder Str. 154 – 156
10409 Berlin
gernot.kretschmer@pro-samed.de
Instagram: #ertlprocedureberlin #ertlbonebridge
Sprechstunde für Amputationsmedizin
in der Klinik für Orthopädie und
Unfallchirurgie, Septisch-rekonstruktive Chirurgie im Bundeswehrkrankenhaus Berlin, Termine vereinbaren unter:
030 2841–1901 und ‑1903 oder
office14berlin@bundeswehr.org
Begutachteter Beitrag/reviewed paper
Kretschmer G. Ein Plädoyer für die modifizierte Ertl-Amputationstechnik am Versorgungsbeispiel eines bilateral-transtibialen Anwenders. Orthopädie Technik, 2023; 74 (8): 32–41
- Entwicklung eines zum physiologischen Gangbild kongruenten polyzentrischen Knieorthesengelenks – Zwischenstand eines Forschungsprojektes — 10. April 2026
- Mikroprozessorgesteuerte stand- und schwungphasenkontrollierte Ganzbeinorthesen (SSCO): Entwicklung, Systeme und Versorgungsrealität in der orthopädietechnischen Praxis — 9. April 2026
- Gips oder Orthese bei distalen Radiusfrakturen? — 8. April 2026
- Aljaber M, Aschoff HH, Christian Willy C. Implantation von Endo-Exo-Prothesen nach traumatischen Ober- und Unterschenkelamputationen – alternative Behandlungsoption auch für Einsatzverletzte? – Update und Fallbericht. Wehrmedizinische Monatsschrift, 2017; 61 (1): 2–9
- Bosse MJ et al. Transtibial Amputation Outcomes Study (TAOS): Comparing Transtibial Amputation With and Without a Tibiofibular Synostosis (Ertl) Procedure. Journal of Orthopaedic Trauma, 2017; 31 (1): 63–69
- Bosse MJ et al. Transtibial Amputation Outcomes Study (TAOS): Comparing Transtibial Amputation With and Without a Tibiofibular Synostosis (Ertl) Procedure. Journal of Orthopaedic Trauma, 2017; 31 (1): 63–69
- Blumentritt, S. Vortragsvideo vom 2. Treffen der Endo-Exo-Prothesenträger. Hannover, 8./9. Juni 2017
- Baumgartner R, Greitemann B, Brückner B, Schäfer M. Amputation und Prothesenversorgung. 4., vollst. überarb. Auflage. Stuttgart: Thieme, 2016: 315–318
- Schröter P, Wendler B, Hofmann GO. Der schlecht belastbare Unterschenkelstumpf aus chirurgischer Sicht. Orthopädie Technik, 2020; 70 (2): 38–45
- Schröter P, Wendler B, Hofmann GO. Der schlecht belastbare Unterschenkelstumpf aus chirurgischer Sicht. Orthopädie Technik, 2020; 70 (2): 38–45
- Baumgartner R, Greitemann B, Brückner B, Schäfer M. Amputation und Prothesenversorgung. 4., vollst. überarb. Auflage. Stuttgart: Thieme, 2016: 315–318
- Taylor BC, Poka A. Osteomyoplastic Transtibial Amputation: The Ertl Technique. Journal of the American Academy of Orthopaedic Surgeons, 2016; 24 (4): 259–265
- Benjamin F et al. Combat-related bridge synostosis versus traditional transtibial amputation: comparison of military-specific outcomes. Strategies in Trauma and Limb Reconstruction, 2015: 11 (10): 5–11
- Mongon ML et al. Cortical tibial osteoperiosteal flap technique to achieve bony bridge in transtibial amputation: Experience in nine adult patients. Strategies in Trauma and Limb Reconstruction, 2013; 8 (1): 37–42
- Song D et al. Applications of myo-periosteal fibular bone bridging for traumatic transtibial amputation. Chinese Journal of Reparative and Reconstructive Surgery (Zhongguo Xiufu Chongjian Waike Zazhi), 2013; 27 (11): 1300–1304
- Malloy JP et al. Tibiofibular bonebridging osteoplasty in transtibial amputation: Case report and description of technique. Journal of Surgical Orthopaedic Advances, 2012; 21 (4): 270–274
- Berlet GC, Pokabla C, Serynek P. An alternative technique for the Ertl osteomyoplasty. Foot & Ankle International, 2009; 30 (5): 443–446
- DeCoster TA, Homedan S. Amputation osteoplasty. The Iowa Orthopaedic Journal, 2006; 26: 54–59
- Taylor BC et al. Osteomyoplastic and traditional transtibial amputations in the trauma patient: Perioperative comparisons and outcomes. Orthopedics, 2010; 33 (6): 390
- Pinzur MS et al. Healthrelated quality of life in patients with transtibial amputation and reconstruction with bone bridging of the distal tibia and fibula. Foot & Ankle International, 2006; 27 (11): 907–912
- Gwinn DE et al. Perioperative differences between bone bridging and non-bone bridging transtibial amputations for wartime lower extremity trauma. Foot & Ankle International, 2008; 29: 787–793
- Tintle SM et al. Operative complications of combat-related transtibial amputations: a comparison of the modified burgess and modified Ertl tibiofibular synostosis techniques. Journal of Bone & Joint Surgery, 2011; 93: 1016–1021
- Bosse MJ et al. Transtibial Amputation Outcomes Study (TAOS): Comparing Transtibial Amputation With and Without a Tibiofibular Synostosis (Ertl) Procedure. Journal of Orthopaedic Trauma, 2017; 31 (1): 63–69
- Taylor BC, Poka A. Osteomyoplastic Transtibial Amputation: The Ertl Technique. Journal of the American Academy of Orthopaedic Surgeons, 2016; 24 (4): 259–265
- Benjamin F et al. Combat-related bridge synostosis versus traditional transtibial amputation: comparison of military-specific outcomes. Strategies in Trauma and Limb Reconstruction, 2015: 11 (10): 5–11
- Mongon ML et al. Cortical tibial osteoperiosteal flap technique to achieve bony bridge in transtibial amputation: Experience in nine adult patients. Strategies in Trauma and Limb Reconstruction, 2013; 8 (1): 37–42
- Song D et al. Applications of myoperiosteal fibular bone bridging for traumatic transtibial amputation. Chinese Journal of Reparative and Reconstructive Surgery (Zhongguo Xiufu Chongjian Waike Zazhi), 2013; 27 (11): 1300–1304
- Malloy JP et al. Tibiofibular bonebridging osteoplasty in transtibial amputation: Case report and description of technique. Journal of Surgical Orthopaedic Advances, 2012; 21 (4): 270–274
- Berlet GC, Pokabla C, Serynek P. An alternative technique for the Ertl osteomyoplasty. Foot & Ankle International, 2009; 30 (5): 443–446
- DeCoster TA, Homedan S. Amputation osteoplasty. The Iowa Orthopaedic Journal, 2006; 26: 54–59
- Taylor BC et al. Osteomyoplastic and traditional transtibial amputations in the trauma patient: Perioperative comparisons and outcomes. Orthopedics, 2010; 33 (6): 390
- Pinzur MS et al. Healthrelated quality of life in patients with transtibial amputation and reconstruction with bone bridging of the distal tibia and fibula. Foot & Ankle International, 2006; 27 (11): 907–912
- Pinzur MS, Beck J, Himes R, Callaci J. Distal tibiofibular bone-bridging in transtibial amputation. Journal of Bone & Joint Surgery, 2008; 90 (12): 2682–2687
- Gwinn DE et al. Perioperative differences between bone bridging and non-bone bridging transtibial amputations for wartime lower extremity trauma. Foot & Ankle International, 2008; 29: 787–793
- Tintle SM et al. Operative complications of combat-related transtibial amputations: a comparison of the modified burgess and modified Ertl tibiofibular synostosis techniques. Journal of Bone & Joint Surgery, 2011; 93: 1016–1021
- Taylor BC, Poka A. Osteomyoplastic Transtibial Amputation: The Ertl Technique. Journal of the American Academy of Orthopaedic Surgeons, 2016; 24 (4): 259–265
- Tucker CJ, Wilken JM, Stinner PD, Kirk KL. A comparison of limb-socket kinematics of bone-bridging and non-bonebridging wartime transtibial amputations. Journal of Bone & Joint Surgery, 2012; 94 (10): 924–930
- Keeling JJ et al. Comparison of functional outcomes following bridge synostosis with non-bonebridging transtibial combat-related amputations. Journal of Bone & Joint Surgery, 2013; 95 (10): 888–893
- Keeling JJ et al. Comparison of functional outcomes following bridge synostosis with non-bonebridging transtibial combat-related amputations. Journal of Bone & Joint Surgery, 2013; 95 (10): 888–893
- Tintle SM et al. Operative complications of combat-related transtibial amputations: a comparison of the modified burgess and modified Ertl tibiofibular synostosis techniques. Journal of Bone & Joint Surgery, 2011; 93: 1016–1021
- Tintle SM et al. Operative complications of combatrelated transtibial amputations: a comparison of the modified burgess and modified Ertl tibiofibular synostosis techniques. Journal of Bone & Joint Surgery, 2011; 93: 1016–1021
- Tintle SM et al. Operative complications of combat-related transtibial amputations: a comparison of the modified burgess and modified Ertl tibiofibular synostosis techniques. Journal of Bone & Joint Surgery, 2011; 93: 1016–1021
- Bosse MJ et al. Transtibial Amputation Outcomes Study (TAOS): Comparing Transtibial Amputation With and Without a Tibiofibular Synostosis (Ertl) Procedure. Journal of Orthopaedic Trauma, 2017; 31 (1): 63–69
- Bosse MJ et al. Transtibial Amputation Outcomes Study (TAOS): Comparing Transtibial Amputation With and Without a Tibiofibular Synostosis (Ertl) Procedure. Journal of Orthopaedic Trauma, 2017; 31 (1): 63–69
- Benjamin F et al. Combat-related bridge synostosis versus traditional transtibial amputation: comparison of military-specific outcomes. Strategies in Trauma and Limb Reconstruction, 2015: 11 (10): 5–11
- Tintle SM et al. Operative complications of combat-related transtibial amputations: a comparison of the modified burgess and modified Ertl tibiofibular synostosis techniques. Journal of Bone & Joint Surgery, 2011; 93: 1016–1021
- Benjamin F et al. Combat-related bridge synostosis versus traditional transtibial amputation: comparison of military-specific outcomes. Strategies in Trauma and Limb Reconstruction, 2015: 11 (10): 5–11
- Benjamin F et al. Combat-related bridge synostosis versus traditional transtibial amputation: comparison of military-specific outcomes. Strategies in Trauma and Limb Reconstruction, 2015: 11 (10): 5–11
- Ferris AE et al. Biomechanical analysis of curb ascent in persons with Ertl and non-Ertl transtibial amputations. Prosthetics and Orthotics International, 2020; 44 (1) 36–43. DOI: 10.1177/0309364619885717
- Defence Statistics (Health), Ministry of Defence. Quarterly Afghanistan and Iraq Amputations Statistics 7 October 2001–30 June 2015 (Zugriff am 24.05.2023)
- Penn-Barwell JG et al. Acute bilateral leg amputation following combat injury in UK servicemen. International Journal of the Care of the Injured, 2014; 45 (7): 1105–1110
- Krueger CA, Wenke JC, Ficke JR. Ten years at war: comprehensive analysis of amputation trends. The Journal of Trauma and Acute Care Surgery, 2012; 73 (6): 438–444















