Einleitung
Die Arthrose ist die häufigste muskuloskelettale Erkrankung und die Hauptursache für Behinderungen im Alter. In den USA sind ca. 43 Mio. Einwohner davon betroffen, weltweit leiden 15 % der Bevölkerung darunter. Aufgrund demografischer Wandlungsprozesse wächst die Inzidenz der Arthrose rasch, sie wird zu einer zunehmenden sozioökonomischen und persönlichen Belastung.
Um arthrotische Gelenke adäquat behandeln zu können, ist es wichtig, Biomechanik und Pathomechanismen zu verstehen 1. Ferner müssen die Bedürfnisse und Erwartungen der Patienten erarbeitet werden, damit der Behandlungsvorschlag akzeptiert wird und umgesetzt werden kann. Im Folgenden werden anhand einer Fragenliste wesentliche Entscheidungsgrundlagen erarbeitet und anschließend konservative Lösungs– respektive Versorgungsmöglichkeiten anhand eines Patientenbeispiels mit einer Sprunggelenksarthrose aufgezeigt. In den meisten Fällen sind die Hintergründe der Fragen klar. Wo dies nicht eindeutig der Fall ist, wird es näher erläutert.
Fragenliste
Richtungsweisend sind Fragen zu folgenden Aspekten zu Beginn 2:
- Geschlecht
- Alter
- Allgemeinzustand
- Komorbiditäten
- Erwartungen des Patienten und seiner Umgebung
Insbesondere der letzte Punkt ist sehr wichtig, da unrealistischen Erwartungen von Beginn an begegnet und die Behandlung in umsetzbare Bahnen gelenkt werden muss. Wird dieser Zeitpunkt verpasst, ist der Patient von seinem Betreuungsteam enttäuscht und verliert so möglicherweise das Vertrauen.
Weitere Grundlagen bilden folgende Fragen 3 4:
- Was sind die Hauptbeschwerden des Patienten?
- Sind es Schmerzen, eine Mobilitätseinschränkung, eine Instabilität oder eine Bewegungseinschränkung?
- Hat der Patient (deswegen) Probleme mit anderen Gelenken oder mit dem Rücken?
- Ist seine Hauptbeschwerde kosmetischer Natur? Dies kann die Stellung einer Gliedmaße oder die dadurch verursachte Körperhaltung oder das Gangbild betreffen.
Neben allgemeinen Fragen zum Patienten gilt es auch grundlegende Fragen zum betroffenen Gelenk zu beantworten 5:
- Was ist die Ursache der Arthrose? Handelt es sich um eine rheumatoide Arthritis oder um eine sekundäre, posttraumatische Arthrose? Liegt der Arthrose ursächlich eine Deformität zugrunde?
- Mit welcher Geschwindigkeit hat sich die Arthrose entwickelt? Handelt es sich hierbei um einen Zeitraum von Monaten, Jahren oder Jahrzehnten?
- Ist die Stabilität des betroffenen Gelenkes beeinträchtigt? Wenn dies der Fall ist, stellt sich die Frage, ob die Ursache ligamentär, muskulär oder knöchernen Ursprungs ist.
- Ist die Mobilität des Gelenkes oder seiner Umgebung – der benachbarten Gelenke – eingeschränkt? Ist das Gelenk oder ein benachbartes sogar steif?
- Wie lautet die Prognose?
Die folgenden Fragen betreffen die Umgebung des Gelenkes 6:
- Wie gestaltet sich der Fuß-Status zur Lastübertragung?
- Weist der Fuß Deformitäten auf?
- Wie ist der Zustand des Knies? Hierbei ist für die Hilfsmittelwahl vor allem das Bewegungsausmaß wichtig.
- Wie ist der Hautzustand? Gibt es Ausschläge, Allergien, ist die Haut nach einer Langzeit-Cortisonbehandlung ausgedünnt und fragil?
- Wie ist die Gefäß-Situation beschaffen? Bei poplitealen Bypässen sind beispielsweise Unterschenkelentlastungsorthesen, die im Bereich der Tuberositas tibiae anterior abstützen, kontraindiziert, da sie den Blutdurchfluss durch den Bypass beeinträchtigen können.
Weitere wichtige Fragen betreffen den Fuß 7, da dieser für jegliche Art der Stabilisierung oder Entlastung mittels Orthesen maßgeblich ist. Die Frage der Belastbarkeit wurde bereits angesprochen.
- Besteht eine Plantarfasziitis?
- Leidet der Patient an einem Tarsaltunnel-Syndrom?
- Hat sich eine retrocalcaneare Bursitis gebildet?
- Besteht eine Sehnenscheidenentzündung?
- Hat der Patient eine vollständige Sehnenruptur erlitten?
- Besteht eine Insuffizienz der Musculus-tibialis-posterior-Sehne?
Sind die Antworten auf die Fragen zum Patienten bekannt, stellt sich die Frage nach den Behandlungsoptionen 8 9:
- Wird ein chirurgisches oder ein konservatives Vorgehen angestrebt? Ist ein chirurgisches Vorgehen überhaupt möglich?
- Kann mit Physiotherapie eine signifikante Beschwerdebesserung erzielt werden?
- Was kann medikamentös erreicht werden? Dies können Schmerzmittel, Medikamente zur Knorpelregeneration, Injektionen etc. sein.
- Wie weit kann mit physikalischen Maßnahmen – Stockentlastung, orthopädisches Schuhwerk, Orthesen etc. – ein positiver Effekt erzielt werden?
Einen sehr nützlichen Behandlungsalgorithmus zur asymmetrischen Sprunggelenksarthrose beschreiben Schmid und Krause 10.
Im Folgenden werden die Indikationen für die konservative Behandlung einer asymmetrischen Sprunggelenksarthrose aufgeführt:
- Vor jeglicher chirurgischen Intervention beim betagten Patienten sollte auf jeden Fall ein konservativer Therapieversuch durchgeführt werden;
- Arthrose im Endstadium beim jungen, aktiven Patienten, um Zeit zu gewinnen;
- ausgeprägte Rückfußinstabilität, die chirurgisch nicht mehr stabilisiert werden kann;
- fortgeschrittene vaskuläre oder neurologische Defizite;
- neuropathische Krankheiten (z. B. Charcot-Fuß);
- instabile Weichteile bei Knöchel und Rückfuß;
- ein gegenwärtiger Infekt von Weichteilen, Knochen oder Gelenken.
Eine relative Kontraindikation zur konservativen Behandlung ist ein junger und aktiver Patient mit milder bis moderater asymmetrischer Sprunggelenksarthrose, da mit einem frühzeitigen Eingreifen eine Verschlimmerung möglicherweise verhindert und ein stabiler, erträglicher Zustand erreicht werden kann. Folgende Faktoren können das Resultat einer maßgefertigten Orthese bei Patienten mit rheumatoider Arthritis nachgewiesenermaßen positiv beeinflussen 11: Eine kürzere Krankheitsdauer bis zur Anfertigung und Abgabe der Orthese bringt größere Verbesserungen im Schmerz- und Behinderungsbereich. Je früher bei jungen und aktiven Patienten interveniert wird, desto größer ist die mögliche Mobilisationsdauer und desto besser ist auch der Einfluss auf die täglichen Aktivitäten und die Selbstständigkeit der Patienten. Eine frühe und gute klinische und demografische Einschätzung sind folglich für ein gutes Outcome wichtig.
Im Bereich der konservativen Therapie der Sprunggelenksarthrose gibt es generell wenig objektivierbare Daten. Dies muss abgewogen werden gegen die objektivierten Resultate einer Sprunggelenksarthrodese: eine lange Immobilisationszeit, ein relativ hohes Risiko einer Non-Union und Arthrose der benachbarten Gelenke.
Fallbeispiel
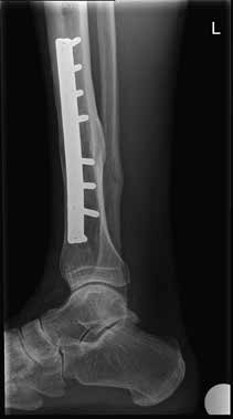
Als Beispiel dient ein 75-jähriger pensionierter aktiver Patient mit einer sekundären Sprunggelenksarthrose nach einer distalen Tibiaschaft-Fraktur vor rund 25 Jahren (Abb. 1). Als wichtige Nebenerkrankung ist eine fortgeschrittene pAVK bekannt, zudem besteht ein persistierender Nikotinabusus. Der Patient klagt über Schmerzen, die ihn vor allem bei längerem Gehen und im steilen oder unebenen Gelände stark stören. Da er gerne längere Wanderungen unternimmt, fühlt er sich in seiner Lebensqualität stark beeinträchtigt. Knorpelaufbaupräparate und Physiotherapie sind ohne Erfolg geblieben, die Schmerzmitteleinnahme möchte der Patient nicht weiter ausbauen. Für ein chirurgisches Vorgehen – Sprunggelenksarthrodese oder Sprunggelenksprothese – ist die Arthrose nicht genügend fortgeschritten.
Dem Patienten wurde eine orthopädische Innenschuhorthese als Versorgung vorgeschlagen (Abb. 2). Um diese zu testen, wurde dem Patienten ein abnehmbares Soft-Cast-Stiefelchen (Abb. 3 und 4) mitgegeben. Dieses konnte sofort angefertigt werden und zeigte unmittelbar den gewünschten Erfolg, sodass die vorgeschlagene Versorgung nach kurzer Zeit ausgeführt werden konnte (Abb. 5).
Das Resultat ist sehr erfreulich: Der Patient kann ohne Schmerzmitteleinnahme wieder bis zu sechs Stunden wandern und fühlt sich im unebenen Gelände wieder deutlich sicherer. Einzig das Gehen am Berg bereitet ihm wegen des relativ blockierten oberen Sprunggelenkes mehr Mühe als früher.
Zusammenfassung
Die Wahl des korrekten Hilfsmittels zur konservativen Therapie bedingt folgende wichtigen Entscheidungsgrundlagen:
- Bedürfnisse und Erwartungen des Patienten
- patientenspezifische Information
- Zustand des betroffenen und der benachbarten Gelenke
- Umgebung des betroffenen Gelenkes
- Verfügbarkeit und Finanzierung möglicher Hilfsmittel
Die konservativen Therapiemöglichkeiten sollten nach Meinung des Verfassers vor einem chirurgischen Vorgehen evaluiert werden, da bei keinem chirurgischen Eingriff Problemlosigkeit und das erhoffte Resultat garantiert werden können. Die detaillierte Evaluation des Patienten, seiner Bedürfnisse und Erwartungen sowie seiner Möglichkeiten ist vor der Anfertigung und Abgabe orthopädietechnischer Hilfsmittel notwendig, um die Ressourcen sinnvoll einsetzen zu können und das Vertrauen des Patienten in die Versorgung und das versorgende Team zu behalten.
Der Autor:
Dr. med. Martin Berli
Stellvertretender Leiter
Technische Orthopädie
Universitätsklinik Balgrist
Forchstrasse 340
CH-8008 Zürich
Martin.Berli@balgrist.ch
Begutachteter Beitrag/reviewed paper
Berli M. Arthrose – therapeutisches Konzept und Hilfsmittelwahl aus Sicht der Technischen Orthopädie. Orthopädie Technik, 2015; 66 (4): 30–32
- Entwicklung eines zum physiologischen Gangbild kongruenten polyzentrischen Knieorthesengelenks – Zwischenstand eines Forschungsprojektes — 10. April 2026
- Mikroprozessorgesteuerte stand- und schwungphasenkontrollierte Ganzbeinorthesen (SSCO): Entwicklung, Systeme und Versorgungsrealität in der orthopädietechnischen Praxis — 9. April 2026
- Gips oder Orthese bei distalen Radiusfrakturen? — 8. April 2026
- Egloff C, Hügle T. Biomechanics and Pathomechanisms of Osteoarthritis. Swiss Med Wkly, 2012; Jul 19; 142: w13583
- John S, Bongiovanni F. Brace management for ankle arthritis. Clin Podiatr Med Surg. 2009; 26 (2): 193–197
- Valderrabano V, Wiewiorski M., et al. Chronische Instabilität des oberen Sprunggelenks [Chronic ankle instability]. Unfallchirurg, 2007; 110 (8): 691–699; quiz: 700
- Martin RL, Stewart GW. Posttraumatic ankle arthritis: an update on conservative and surgical management. J Orthop Sports Phys Ther, 2007; 37 (5): 253–259
- Niggemeyer O, Moosig F. Operative Eingriffe an Fuß und Sprunggelenk [Foot and ankle surgery]. Z Rheumatol, 2011; 70 (1): 26–33
- Tourné Y, Besse JL. Chronic ankle instability. Which tests to assess the lesions? Which therapeutic options? Orthop Traumatol Surg Res, 2010; 96 (4): 433–446
- Aronow MS, Hakim-Zargar M. Management of hindfoot disease in rheumatoid arthritis. Foot Ankle Clin, 2007; 12 (3): 455–474, vi
- Hönle W, Jezussek D, Schuh A. Die konservative und operative Therapie der Sprunggelenksarthrose [Conservative and surgical therapy of upper ankle joint osteoarthritis]. MMW Fortschr Med, 2008; 150 (10): 31–33
- Rao S, Ellis SJ. Nonmedicinal therapy in the management of ankle arthritis. Curr Opin Rheumatol, 2010; 22 (2): 223–228
- Schmid T, Krause FG. Conservative Treatment of Asymmetric Ankle Osteoarthritis. Foot and Ankle Clinics, 2013; 18 (3): 437–448
- Van der Leeden M, Fiedler K. Factors predicting the outcome of customised foot orthoses in patients with rheumatoid arthritis: a prospective cohort study. J Foot Ankle Res, 2011; 4: 8








