Indikation zur konservativen Therapie
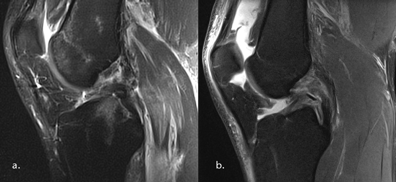
Vor allem isolierte HKB-Verletzungen eignen sich zur konservativen Behandlung. Bei zusätzlicher Verletzung z. B. des posterolateralen Ecks und somit konsekutiv erhöhter Instabilität sollte jedoch vielmehr ein operativer Therapieansatz gewählt werden1 2. In der Vergangenheit hat sich zur Einteilung weitestgehend die Hughston-Klassifikation durchgesetzt, welche isoliert nach der Laxität (instrumentell oder radiologisch gemessen) einteilt3. Grad-I- und ‑II-Verletzungen mit einer hinteren Schublade von < 10 mm sprechen für ein konservatives Vorgehen. Grad-III-Verletzungen mit einer > 10 mm Schublade suggerieren eine zusätzliche Verletzung des posterolateralen Ecks. Agolley (2017) zeigte bei konservativer Therapie dieser Grad-III-Verletzungen zwar ein hohes Return-to-Sports und einen Tegner-Score von 9, eine stabile Konsolidierung des HKBs konnte jedoch nicht erreicht werden4. Die strukturelle ligamentäre Stabilität des Gelenkes ist jedoch ein wesentlicher Faktor für die Aufrechterhaltung des Knorpelstatus. Bei Insuffizienz des HKB kommt es zu erhöhten Kontaktdrücken im medialen und patellofemoralen Kompartiment von bis zu 52 %5 6. Neben der reinen Laxizität sollte auch die Rupturmorphologie im MRT als konservatives Entscheidungskriterium mit herangezogen werden, da es Rupturformen gibt, welche nicht oder schlecht konservativ konsolidieren können. Hierzu zählen z. B. dislozierte femorale Abrisse (Abb. 1a) oder knöcherne tibiale Ausrisse mit einer Dislokation von > 6,7 mm7. Wesentlich ist der intakte Synovialschlauch als Leitstruktur für das gerissene Ligament (Abb. 1b). Auch haben sich mittlerweile minimalinvasive (arthroskopische) operative Techniken entwickelt, welche die Refixation erleichtern und gleichzeitig sehr gute klinische Ergebnisse erreichen lassen8 9. Da sowohl die konservative Behandlung als auch die operative Nachbehandlung mit einem hohen zeitlichen Aufwand verbunden sind, sollte ein „Wir versuchen es mal“ möglichst vermieden werden. Die frühzeitige Einleitung der adäquaten Versorgung, sowohl konservativ als auch operativ, ist essentiell wichtig.
Hintergrund der konservativen Therapie
Die Probleme, welche zu einer insuffizienten Heilung des HKB führen, sind die Schwerkraft und der Zug der Hamstringmuskulatur10. Beide führen zu einer Dorsalverlagerung des Tibiakopfes und müssen im Rahmen des konservativen Therapieansatzes adressiert werden.
Physiotherapie
Von physiotherapeutischer Seite kann auf muskulärer Ebene ein Einfluss auf die Zentrierung der Gelenkstellung genommen werden. So sollte initial zum einen die Hamstringmuskulatur detonisiert werden, welche posttraumatisch hyperton ist und antagonistisch zum HKB wirkt11 12. Gleichzeitig sollte der Quadrizeps als Agonist aktiviert und gekräftigt werden. Jegliche Therapie sollte in den ersten 6 Wochen immer unter Posteriorem Tibialen Support (PTS) entweder in der Orthese, in Bauchlage oder mit dorsaler Unterstützung des Unterschenkels durchgeführt werden (Abb. 2). Da das gesunde HKB einer linearen Spannungs- bzw. Längenzunahme bis ca. 120° Flexion unterliegt, sollte auch in den ersten 6 Wochen keine übermäßige Flexion über 40–60° durchgeführt werden13 14 15 16 17.
Orthetik
Auch in der Orthesenversorgung ist der PTS die wesentliche Funktion, da 24/7 eine Unterstützung des HKB vorliegen sollte. Jung (2008) konnte in einer ersten Studie mit einer 6‑wöchigen Ruhigstellung in einem Gipscast mit PTS-Modul eine Verbesserung der hinteren Schublade von 6,2 auf 3 mm und eine deutliche Verbesserung des subjektiven IKDC auf 90.3 ± 4.2 zeigen18. Dies führte zu der heutigen „Standard“-Therapie mit initialer Ruhigstellung für 6 Wochen in einer starren PTS-Schiene unter Sohlenkontakt und anschließend weiterer Versorgung mit einer beweglichen Orthese für weitere 6 Wochen unter Vollbelastung. Die sich hieraus ergebenden Probleme sind offensichtlich. Es kommt zu einer deutlichen muskulären Atrophie und einem Funktionsdefizit. Eine lange Rehabilitationsphase ist vorprogrammiert. Somit kommt es auch zu einem erheblichen beruflichen und sportlichen Ausfall und zu guter Letzt zu hohen direkten und indirekten Krankheitskosten. Dieses Konzept steht und fällt vor allem auch mit der Patientencompliance (Abb. 3), welche auf eine harte Probe gestellt wird. Wünschenswert ist also eine frühzeitige funktionelle Behandlung mit beweglichen Orthesen. Die ersten Ansätze mit statischem PTS, welcher zum Teil auch stufenweise einstellbar war, führte bereits zu guten klinischen Ergebnissen, wenn auch nicht physiologischer Wiederherstellung der Stabilität19. Dies ist dem Fakt geschuldet, dass das HKB über den Flexionszyklus einer linearen Dehnungs- und Spannungszunahme unterliegt20 21. Ein statischer Support ist nicht in der Lage, diesen bei Bewegung zu kompensieren. Der aktuelle Ansatz liegt im dynamischen Support, welcher bei zunehmender Flexion ebenfalls zunimmt (Abb. 4). Bisherige Studien zu 2 solchen Orthesen-Modellen zeigten in der statischen Aufnahme bei 90° einen guten, wenn auch nicht optimalen Support22. In der klinischen Anwendung mit natürlichen Bewegungsabläufen konnte die Funktionsweise bestätigt und der Vorteil gegenüber einem statischen Support gezeigt werden23. Da Untersuchungen jedoch auch gezeigt haben, dass die Dehnung des HKB bei über 90° Flexion auf bis zu 108 % zunimmt und bei Bewegung wie Sprung, Cutting oder auch Seitschritten auf bis zu 123 ± 12 % ansteigt, sollten diese Bewegungen und auch Flexionen über 90° in den initialen 6 Wochen weiterhin vermieden werden24 25. Ob der dynamisch ansteigende Support auch die Längenzunahme des HKB ausgleichen kann, ist fraglich und bisher auch nicht untersucht. Hinzu kommt, dass bei Flexionen über 90° Kompressionsdrücke von bis zu 160 N gemessen worden sind26. Auch hierbei ist fraglich, ob dies vom Patienten auf Dauer toleriert wird.
Versorgungsrealität
Die PTS-Orthesen finden sich im Heilmittelkatalog in derselben Gruppe wie die Orthese zur Versorgung anderer Ligamentverletzungen. Aus diesem Grund unterliegt die Verordnung einem Genehmigungsverfahren und es kommt regelmäßig zu Nachfragen der Versicherungsträger, ob auch eine anderweitige Orthesenversorgung möglich ist. Dies führt leider zu Verzögerungen in der Versorgung und somit im so wichtigen frühen Therapiebeginn. Leider mangelt es bislang noch an vergleichenden wissenschaftlichen Studien, welche den Vorteil der dynamisch-wirkenden Orthesen ausreichend sichtbar machen.
Wünschenswert wäre in Zukunft eine frühzeitige Versorgung der Patienten mit einer beweglichen und dynamisch wirkenden Orthese, mit welcher eine frühzeitige Belastung möglich ist und somit sowohl die Nachbehandlungsdauer reduziert als auch die Patientenzufriedenheit und ‑compliance erhöht werden.
Hinweis:
Dieser Beitrag erschien in ähnlicher Form unter demselben Titel in dem Booklet „Grim C, Tischer T (Hrsg.). Verletzungen und Erkrankungen des Kniegelenkes – wie helfen orthopädische Hilfsmittel?“, einer Publikation der Gesellschaft für Orthopädietechnisch-Traumatologische Sportmedizin (GOTS) und der European Manufacturers Federation for Compression Therapy and Orthopaedic Devices (eurocom e. V.).
Der Autor:
Dr. med. Björn H. Drews
St. Vinzenz Klinik Pfronten
Kirchenweg 15
87459 Pfronten
Telefon: + 49 (0) 8363 – 693 709
E‑Mail: bjoern.drews@vinzenz-klinik.de
Drews BH. Konservative Therapie bei Ruptur des Hinteren Kreuzbandes (HKB) – wann und wie? Orthopädie Technik, 2024; 75 (2): 48–51
- AMP-Register – aktueller Stand und Perspektiven des deutschen Amputationsregisters — 7. Mai 2026
- Tonusminderung durch sensomotorische Stimulation – ein praxisnaher Versorgungsansatz bei inkompletter Tetraplegie — 7. Mai 2026
- Myoelektrische Orthesenversorgung bei Plexusverletzung der oberen Extremität – Vorstellung eines hybriden bionischen Konzepts — 6. Mai 2026
- Lopez-Vidriero E, Simon DA, Johnson DH. Initial evaluation of posterior cruciate ligament injuries: history, physical examination, imaging studies, surgical and nonsurgical indications. Sports Medicine and Arthroscopy Review, 2010; 18 (4): 230–237
- Wind WM, Bergfeld JA, Parker RD. Evaluation and treatment of posterior cruciate ligament injuries: revisited. American Journal of Sports Medicine, 2004; 32 (7): 1765–1775
- Hughston JC, Andrews JR, Cross MJ, Moschi A. Classification of knee ligament instabilities. Part I. The medial compartment and cruciate ligaments. Journal of Bone & Joint Surgery, 1976; 58 (2): 159–172
- Agolley D, Gabr A, Benjamin-Laing H, Haddad FS. Successful return to sports in athletes following non-operative management of acute isolated posterior cruciate ligament injuries: medium-term follow-up. Bone & Joint Journal, 2017; 99‑B (6): 774–778
- Skyhar MJ et al. The effects of sectioning of the posterior cruciate ligament and the posterolateral complex on the articular contact pressures within the knee. Journal of Bone & Joint Surgery, 1993; 75 (5): 694–699
- Welch T et al. The effect of a dynamic PCL brace on patellofemoral compartment pressures in PCL-and PCL/PLC-deficient knees. Journal of Experimental Orthopaedics, 2017; 4 (1): 10
- Yoon KH, Kim S‑G, Park J‑Y. The amount of displacement can determine non-operative treatment in posterior cruciate ligament avulsion fracture. Knee Surgery, Sports Traumatology, Arthroscopy, 2021; 29 (4): 1269–1275
- Giordano BD, DeHaven KE, Maloney MD. Acute femoral “peel-off” tears of the posterior cruciate ligament: technique for arthroscopic anatomical repair. American journal of orthopedics, 2011; 40 (5): 226–232
- Gwinner C et al. Arthroscopic Treatment of Acute Tibial Avulsion Fracture of the Posterior Cruciate Ligament Using the TightRope Fixation Device. Arthroscopy Techniques, 2014; 3: e377–382
- Lopez-Vidriero E, Simon DA, Johnson DH. Initial evaluation of posterior cruciate ligament injuries: history, physical examination, imaging studies, surgical and nonsurgical indications. Sports Medicine and Arthroscopy Review, 2010; 18 (4): 230–237
- Harner CD, Höher J. Evaluation and treatment of posterior cruciate ligament injuries. American Journal of Sports Medicine, 1998; 26 (3): 471–482
- Jansson KS et al. A historical perspective of PCL bracing. Knee Surgery, Sports Traumatology, Arthroscopy, 2013; 21 (5): 1064–1070
- Jansson KS et al. A historical perspective of PCL bracing. Knee Surgery, Sports Traumatology, Arthroscopy, 2013; 21 (5): 1064–1070
- Charbonnier C et al. In vivo static and dynamic lengthening measurements of the posterior cruciate ligament at high knee flexion angles. International Journal for Computer Assisted Radiology and Surgery, 2020;15 (3): 555–564
- Grassmayr MJ, Parker DA, Coolican MRJ, Vanwanseele B. Posterior cruciate ligament deficiency: biomechanical and biological consequences and the outcomes of conservative treatment. A systematic review. Journal of Science and Medicine in Sport, 2008; 11 (5): 433–443
- Markolf KL et al. Changes in knee laxity and ligament force after sectioning the posteromedial bundle of the posterior cruciate ligament. Arthroscopy, 2006; 22 (10): 1100–1106
- Papannagari R et al. Function of posterior cruciate ligament bundles during in vivo knee flexion. American Journal of Sports Medicine, 2007; 35 (9): 1507–1512
- Jung YB et al. Active non-operative treatment of acute isolated posterior cruciate ligament injury with cylinder cast immobilization. Knee Surgery, Sports Traumatology, Arthroscopy, 2008; 16 (8): 729–733
- Jacobi M et al. Acute isolated injury of the posterior cruciate ligament treated by a dynamic anterior drawer brace: a preliminary report. Journal of Bone & Joint Surgery, 2010; 92 (10): 1381–1384
- Charbonnier C et al. In vivo static and dynamic lengthening measurements of the posterior cruciate ligament at high knee flexion angles. International Journal for Computer Assisted Radiology and Surgery, 2020;15 (3): 555–564
- Markolf KL et al. Changes in knee laxity and ligament force after sectioning the posteromedial bundle of the posterior cruciate ligament. Arthroscopy, 2006; 22 (10): 1100–1106
- Heinrichs CH et al. Biomechanical evaluation of a novel dynamic posterior cruciate ligament brace. Clinical Biomechanics, 2016; 33: 20–25
- Laprade RF, Smith SD, Wilson KJ, Wijdicks CA. Quantification of functional brace forces for posterior cruciate ligament injuries on the knee joint: an in vivo investigation. Knee Surgery, Sports Traumatology, Arthroscopy, 2015; 23 (10): 3070–3076
- Charbonnier C et al. In vivo static and dynamic lengthening measurements of the posterior cruciate ligament at high knee flexion angles. International Journal for Computer Assisted Radiology and Surgery, 2020;15 (3): 555–564
- Markolf KL et al. Changes in knee laxity and ligament force after sectioning the posteromedial bundle of the posterior cruciate ligament. Arthroscopy, 2006; 22 (10): 1100–1106
- Laprade RF, Smith SD, Wilson KJ, Wijdicks CA. Quantification of functional brace forces for posterior cruciate ligament injuries on the knee joint: an in vivo investigation. Knee Surgery, Sports Traumatology, Arthroscopy, 2015; 23 (10): 3070–3076






