Prothetische Versorgungen im Kindesalter sind für jeden Techniker eine Herausforderung. Nicht nur die kleinen Ausmaße stellen die Versorger vor Probleme, sondern auch die hohen Belastungen im täglichen Leben eines Kindes. Die Passteilauswahl ist sehr begrenzt und deren Ausmaße sind meistens überproportioniert. Daher sind Ideenreichtum und Improvisation gefragt. Folgende Beispiele sollen dies näher erläutern:
Fall 1
Hier handelte es sich um ein heute 16-jähriges Mädchen mit einer Dysmelie (Abb. 1) der linken unteren Extremität, deren Unterschenkel als langer, spitzer, nicht belastbarer Dorn gewachsen ist. Um einen belastungsfähigen Stumpf zu erhalten, wurde 2001 eine Knie-Exartikulation durchgeführt. Die gleichseitige Hüfte ist dysplastisch (Abb. 2) und luxiert nach ventral, hinzu kommen Stuhl- und Harninkontinenz. Nach der Knie-Exartikulation war der Stumpf nun belastungsfähig, aber nicht alleine tragfähig, da die Hüfte der Belastung nicht Stand hielt (Abb. 3).
Die Orthopädie-Techniker entschieden sich für eine Oberschenkelprothese mit einer querovalen Schaftform sowie einen Beckenkorb, um die luxierende Hüfte zu stabilisieren. Der Hüftgelenksdrehpunkt war nicht zu lokalisieren. Bei einer Flexionsbewegung der Hüfte rotierte der Trochanter Major nach ventral-cranial. So wurde beschlossen, im Hüftgelenksbereich eine doppelachsige Zahnsegmentschiene aus Titan zu verwenden, die eine bestimmte Eigenelastizität mit sich brachte. Diese Elastizität war nötig, um die erforderliche Bewegungsfreiheit in der Hüfte gewährleisten zu können, ohne dass die Patientin die Schiene in kürzester Zeit zerbrach. Hier verwendeten die Techniker ein vierachsiges Kniegelenk und einen TruPer Fuß (Abb. 4).
Eine weitere Herausforderung war der Wunsch der Patientin nach einer Badeprothese. Wasserfeste Kniepassteile für Kinder von europäischen Herstellern waren den Technikern nicht bekannt, deshalb mussten sie ein eigenes Kindergelenk konstruieren. Die im Prepreg-Verfahren angefertigten zwei Kniehälften konnten in Schalenbauweise mit Fuß und Schaft verbunden werden. Für die Extensionsbewegung in der Gang- und Standphase wurde ein Gummizug integriert, der durch den gesamten Unterschenkel reichte. Die Extensionsdämpfung übernahm ein Sohlengummi im Oberschenkelbereich. Der Verwendung als Badeprothese stand somit nichts mehr im Wege (Abb. 5).
Mit elf Jahren wurde die Patientin immer dynamischer und wollte mehr erreichen. Das Mädchen wollte ihren Freunden und Klassenkameraden in nichts nachstehen. Dafür stellten die Techniker eine entsprechend dynamischere Prothese für sie zusammen. Hierfür verwendeten sie einen „Variflex Junior Karbonfuß“ und ein „Total Knee“ als Kniepassteil. Den Beckenkorb und die Titanschiene behielten sie bei (Abb. 6).
In der aktuellen Versorgung hat das Team erstmals Passteile für Erwachsene verwendet: Der Trias-Fuß mit seiner hohen Beweglichkeit und das 3R95-Modular-Kniegelenk waren hier die geeignete Wahl, um dem stetig zunehmenden Bewegungsdrang der Patientin gerecht zu werden. Im Hüftgelenk benötigten sie eine neue Konstruktion, da die Patientin mit zunehmender Körpergröße, Gewicht und Dynamik die Titanschiene immer häufiger zerstörte. Hier entschied man sich für das Salera-Gelenk, bei dem die Sperrung ausgebaut wurde, das wiederum eine gewisse Beweglichkeit in der Ab- und Adduktionsrichtung sowie die freie Flex- und Extensionsbewegung ermöglichte (Abb. 7).
Bei der Hüftflexion besteht noch immer ein muskuläres Problem. Der Muskelstatus der Hüftflexoren beträgt 2, da sich die Minderausbildung der linken unteren Extremität nicht nur auf die knöcherne Struktur begrenzte. Dies gleicht die junge Patientin beim Gehen durch den Fersenhochstand der kontralateralen Seite aus. Die Physiotherapie bemüht sich auch weiterhin, den Muskelstatus und das Gangbild zu verbessern.
Diskussion Fall 1
Die Herausforderung bei dieser Versorgung waren hauptsächlich die vielen Spitalaufenthalte mit OPs und Infekten der Ausscheidungsorgane. Dies führte zu Unterbrechungen in der Versorgung sowie zu längeren Testphasen. Eine Vorgabe von den Eltern und vor allem von den Lehrkräften war, dass man die Prothese einfach an- und ausziehen konnte. Des Weiteren musste der Beckenkorb schnell zu öffnen sein, um einen raschen Toilettengang zu ermöglichen. Die luxierende und instabile Hüfte wird weiterhin ein Problem in der Versorgung der Patientin bleiben. Der Verschleiß von Hüftgelenksschienen war enorm, mit dem neuen Gelenk hatten die Techniker bis jetzt keine Probleme. Die Kosmetikhüllen der Prothesenfüße waren in kürzester Zeit abgelaufen. Bei den Kniepassteilen waren die Achsen ausgeschlagen oder verbogen. Aber die Erfahrung aus dieser Versorgung zeigte, dass wasserfeste Bauteile für Patienten im Kindesalter eine Marktlücke sind.
Fall 2
Im zweiten Fall handelt es sich um ein 8‑jähriges Mädchen, das infolge einer intrauterinen Embolie (im 7. Schwangerschaftsmonat) nach der Geburt transfemoral amputiert wurde. Das Erscheinungsbild des Stumpfes wirkt äußerlich wie ein Knie-Exartikulationsstumpf (Abb. 8). Am distalen Femurende waren mehrere Knochensegmente eingelagert, die die Patientin muskulär bewegen konnte (Abb. 9). Das Hüftgelenk wurde zu Beginn der Versorgung mit 10 Monaten als nicht stabil eingestuft.
Bei der Erstversorgung konnten die Techniker nicht auf handelsübliche Passteile zurückgreifen. Die Bauhöhe ließ keinen Raum für ein Kniegelenk, daher entschieden sie sich für eine bewegliche Fußkonstruktion, ein Ausstellungsstück für Karbonfüße von einem namhaften Hersteller wurde verbaut. Der PP-Fuß war ideal für das geringe Gewicht. Den ersten Krabbel-und Stehversuchen stand somit nichts mehr im Wege (Abb. 10). Um die Stumpfspitze zu entlasten, wurde damals eine querovale Schaftform gewählt. Zusätzlich fertigte man einen Beckenkorb für die instabile Hüfte an.
Ein paar Monate später konnten die ersten erhältlichen Passteile eingesetzt werden. Ein gesperrtes Kniegelenk war für die Steh- und Gehfähigkeit unabdingbar. So konnte die Patientin ihre ersten Gehversuche durchführen. Die Hüfte war bis dahin immer noch nicht sehr stabil, deswegen verwendeten die Techniker weiterhin einen halbseitigen Beckenkorb (Abb. 11).
Im Alter von 3 Jahren führte man bei der Patientin eine Verlängerungsosteotomie durch mit dem Ziel, einen längeren und brauchbareren Stumpf zu erhalten. Um mit der Versorgung so früh wie möglich beginnen zu können, fertigten die Techniker einen HTV-Silikonhaftschaft an, um eine geringere Belastung auf die Haut und Knochen zu bringen. Den Silikonschaft rollten sie einfach über den Stumpf wie einen Liner und fixierten ihn mit zwei Haftnoppen im Außenschaft. Die Schaftform war bis dahin immer noch queroval, das Knie gesperrt und der Fuß ein bewegliches Prothesenpassteil (Abb. 12).
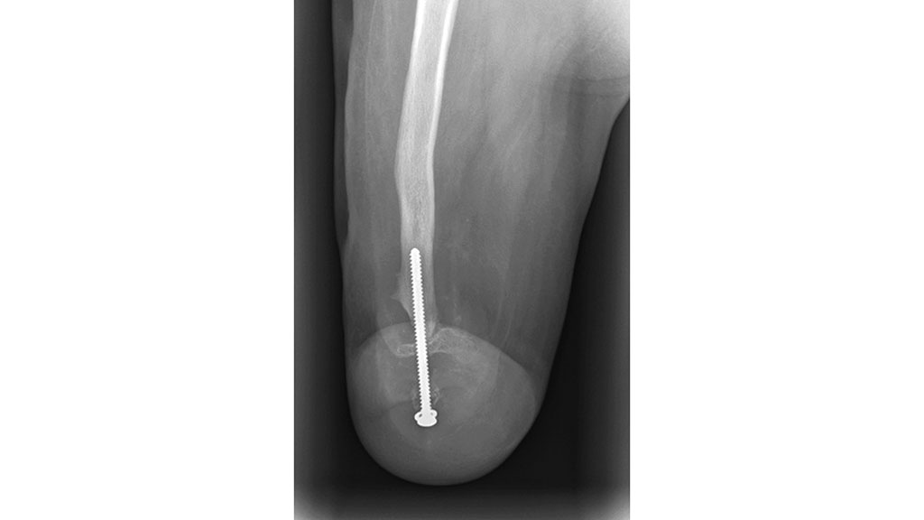
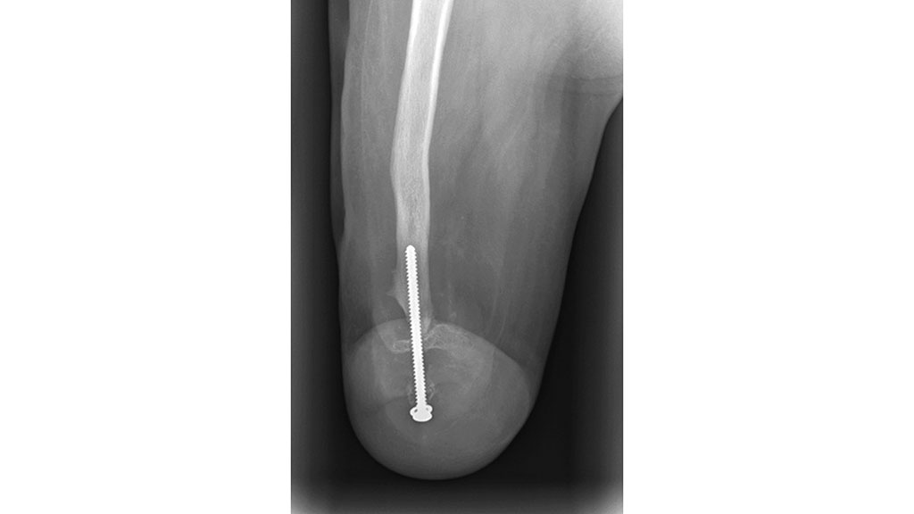
Mit fünf Jahren fusionierte man die einzelnen distalen Knochensegmente mit einer Schraube, die man nach einem halben Jahr entfernte (Abb. 13). Seither wird die Patientin mit längsovalen Schäften (M.A.S.) versorgt (Abb. 14). Die dafür verwendeten Fuß- und Kniepassteile brachte die Patientin in kürzester Zeit mit Defekten zurück, besonders die Vierachskniegelenke mit Federvorbringer. Bei der derzeitigen Versorgung nutzten die Orthopädie-Techniker ein einachsiges Kniegelenk mit Hydraulik und den Pediatric-Prothesenfuß (Abb. 15).
Aktuell sieht man im Gangbild ein leichtes Rotieren im Oberschenkel. Die Autoren weisen hier explizit darauf hin, dass sie bei Kindern oder Jugendlichen wegen deren stetigem Wachstum keine hundertprozentige knöcherne Verriegelung gewährleisten können. Ihre Patientin steht mittlerweile ihrer Zwillingsschwester in nichts nach: Sie läuft zur Schule und nimmt voll am Sportunterricht teil. Ihre Hobbys sind Trampolinspringen, Kickboardfahren, Klettern und Fußballspielen.
Diskussion Fall 2
Auch bei dieser Versorgung hatten die Techniker viele Unterbrechungen durch Operationen. Die anfänglich instabile Hüfte wurde zum Glück immer belastbarer und stabiler. Somit konnte man auf den Beckenkorb verzichten, was für den Tatendrang der Patientin absolut notwendig war. Durch das schnelle Wachstum und die Verlängerungsosteotomie gab es ein sehr hohes Versorgungsintervall. Weniger aufgrund ihres Wachstums benötigte die junge Patientin fast alle sechs Monate neue Prothesenfüße, sondern vor allem durch den hohen Verschleiß. Unabhängig davon, ob ein Dynamik- oder Karbonfuß eingesetzt wurde, das tägliche Leben zeigt, dass diese Bauteile der Belastung von Kindern nicht lange gewachsen sind. Auch bei den Kniepassteilen kamen die Achsen dauernd ausgeschlagen und verbogen zurück. Die Federvorbringer waren oft zu schwach ausgelegt, der Mechanismus verbogen oder komplett zerstört. Passteile im Kleinkindalter sind nicht vorhanden, was – wie hier gezeigt – für eine rasche Versorgung enorm wichtig wäre.
Fall 3
Hierbei handelt es sich um einen 15-jährigen Jungen. Zu Beginn versuchte man, die angeborene Femurdysplasie mit mehreren orthoprothetischen Versorgungen auszugleichen (Abb. 16). Man entschied sich nach mehreren problematischen Versorgungen zu einer Umkehrplastik (Typ B3a nach Prof. Winkelmann).
Da die Entwicklung des Patienten noch unklar war, entschieden sich die versorgenden Techniker, seinen eigenen Fuß in der Normalstellung zu belassen. Zu dem damaligen Zeitpunkt war der Plan für das Procedere, das Femur zu verlängern, um die Längendifferenz auszugleichen. Hierfür wurde eine Orthoprothese gebaut. Um die Hüftsituation zu stabilisieren (Abb. 17), entschied man sich für einen rigiden Beckenkorb und eine bewegliche Stahlschiene als Hüftgelenk. Zur Optimierung des Sitzens beschloss das Team, ein Kniegelenk mit Federvorbringer zu verwenden (Abb. 18). Als Fußpassteil wurde ein Kinder-Dynamikfuß eingesetzt.
Im 6. Lebensjahr entschied man sich für eine Umkehrplastik. Die immer schlechter werdende Hüftsituation war hierfür ausschlaggebend. Es wurde eine Umkehrplastik Typ B3a nach Prof. Winkelmann durchgeführt (Abb. 19 u. 20). Bei der Erstversorgung arbeitete das Team noch mit einem Beckenkorb, um die Hüftsituation zu stabilisieren. Sie verwendeten Unterschenkelschienen mit Anschlägen als Kniegelenke sowie einen „TruPer Fuß“ zur besseren Stoßdämpfung. Der Patient hielt es nicht lange an den Gehstöcken aus (Abb. 21), in kürzester Zeit war er Torwart Nummer Eins im Fußballverein seines Heimatdorfes. Im Winter ist Snowboard fahren seine große Leidenschaft. Bei den Wintersportaktivitäten der Schule belegt er immer die vordersten Platzierungen.
Aktuell arbeiten die versorgenden Techniker nur noch ohne Beckenkorb. Die Hüftsituation ist noch immer nicht ganz stabil, durch die hohen sportlichen Aktivitäten des Patienten bessert sich dies aber kontinuierlich. Aufgrund der sehr guten Erfahrungen verwenden sie zusätzlich spezielle Umkehrplastik-Kniegelenke. Größere Probleme bereitete die passende Fußauswahl wegen des Wachstums. Da der Patient nur knapp 35 kg wiegt und mit einer Fußgröße von 26 cm einen relativ großen Fuß hat, bekamen die Techniker für seine vielen Aktivitäten keinen adäquaten Prothesenfuß, was sich wiederum in einem hohen Verschleiß äußerte. Im Gangbild sieht man ein Duchenne-Hinken und die leicht verdrehte Knieachse (Fußachse) (Abb. 22).
Diskussion Fall 3
Die instabile Hüftsituation des Jungen beschäftigt die Techniker noch immer, obwohl sie sich immer weiter bessert. Den exakten Kniedrehpunkt (Fußdrehpunkt) zu ermitteln, ist sehr schwierig, da der Oberschenkel im Gehen rotiert. Den richtigen Prothesenfuß in seiner Kategorie, Aktivitätsklasse und bei seinem geringen Gewicht zu finden, ist bei dem kleinen Angebot aussichtslos. Somit musste man sich mit einem Kompromiss begnügen: Durch die dynamische Längselongation im Oberschenkel bildete sich ein rezidivierendes Ekzem auf dem Fußrücken, wofür noch keine Lösung gefunden wurde.
Schlussfolgerung
Der Beckenkorb ist ein ideales Hilfsmittel bei einer instabilen kindlichen Hüfte. Dieser stabilisiert und lenkt vor allem im Kleinkindalter die Bewegung. Die spärlich gesäte Passteilauswahl stellt in der Kinderprothetik ein großes Problem dar. Hochfunktionelle Komponenten sind Mangelware. Die versorgbaren Kinder des Teams Hofer/Berli sind in die Mobilitätsklasse vier einzustufen. Eine einheitliche Passteileinteilung der Hersteller gibt es nicht und wird nach Ansicht des Autors zu schwach ausgelegt. Dies spiegelt sich in dem hohen Verschleiß und den häufigen Defekten wider. Hier hofft man auf bessere und leistungsfähigere Passteile seitens der Industrie.
Durch das schnelle Wachstum bekommen Kinder schnell Hautirritationen oder Weichteilüberhänge durch zu kleine und zu enge Schäfte. Ekzembildung durch dauerhaftes Reiben ist ebenso keine Seltenheit. Daher hat das Team eine engmaschige Kontrolle der kleinen Patienten eingeführt: Alle drei Monate findet dort im Haus ein Kontrolltermin statt, um frühzeitig Probleme zu erkennen. Denn die vorgestellten Patienten sind drei lebhafte und tolle Kinder, die das Team herausfordern und anspornen, eine gute Arbeit zu leisten.
Der Autor:
Michael Hofer
Teamleiter Prothetik
BalgristTec AG
Forchstraße 340
CH – 8008 Zürich
michael.hofer@balgrist.ch
Begutachteter Beitrag/Reviewed paper
Hofer M. Ein Langzeitbericht über drei prothetische Kinderversorgungen. Orthopädie Technik, 2013; 64 (5): 28–34
- Entwicklung eines zum physiologischen Gangbild kongruenten polyzentrischen Knieorthesengelenks – Zwischenstand eines Forschungsprojektes — 10. April 2026
- Mikroprozessorgesteuerte stand- und schwungphasenkontrollierte Ganzbeinorthesen (SSCO): Entwicklung, Systeme und Versorgungsrealität in der orthopädietechnischen Praxis — 9. April 2026
- Gips oder Orthese bei distalen Radiusfrakturen? — 8. April 2026
























