Einleitung
Die kongenitale Hüftdysplasie gehört mit einer Inzidenz von 2 bis 4 Prozent in Mitteleuropa auch heute noch zu den häufigsten Skelettfehlbildungen 12. Sie gilt als einer der wichtigsten Risikofaktoren für die Entstehung einer sekundären Coxarthrose und sollte daher frühzeitig durch eine effektive Therapie behandelt werden. Seit Einführung der Hüftsonografie ist ein frühzeitiges Erkennen und anschließendes stadienabhängiges Behandeln der kongenitalen Hüftdysplasie möglich. Das standardisierte sonografische Hüftscreening nach Graf wurde in Deutschland 1996 eingeführt. Es erfolgt im Rahmen der Kinderuntersuchung U3 (4. bis 5. Lebenswoche) bzw. risikoorientiert bereits im Rahmen der Kinderuntersuchung U2 (2. Lebenstag).
Therapieziele und Behandlungsschemata
Bei der kongenitalen Hüftdysplasie ist die Rückführung der Hüfte in einen altersentsprechenden anatomischen Normalzustand das Ziel der Behandlung. Die Therapie sollte so früh wie möglich nach der Geburt und so schonend wie möglich erfolgen, um das altersabhängige Ossifikationspotenzial des Hüftgelenkes in Anlehnung an die Hüftreifungskurve nach Tschauner zu nutzen 3. Hierdurch kann die Behandlungsdauer abgekürzt und der Therapieerfolg erhöht werden 4567.
Entscheidend für die Therapiewahl sind die Differenzierung der verschiedenen Schweregrade der Pathologien sowie das Alter des Kindes. Diese werden sonografisch nach Graf in unterschiedliche Hüfttypen eingeteilt (Abb. 1 u. 2). Insbesondere eine Unterscheidung zwischen einer alleinigen Fehlentwicklung der Hüftgelenkspfanne und einer zusätzlichen Luxation des Hüftkopfes ist entscheidend für den Therapieverlauf.
Die Therapie verläuft stadienabhängig und wird unterteilt in:
- Reposition
- Retention
- Nachreifung
Das dezentrierte Gelenk muss zunächst reponiert, also im Acetabulum zentriert werden. Nach erfolgreicher Reposition folgt die Retentionsphase. In dieser Phase besteht weiterhin eine Gelenkinstabilität mit der Gefahr der Reluxation. Im Anschluss an die erfolgreiche Retentionsphase ist das Gelenk ausreichend stabil, muss aber aufgrund der Restdysplasie (fehlende ausreichende Ossifikation des Pfannendaches) mittels Hüftbeuge-Abspreiz-Orthese in der Nachreifungsphase ausbehandelt werden. Diese Phase endet, sobald sonografisch ein Hüfttyp I nach Graf erreicht wurde (Alpha-Winkel > 60°). Die Abspreizbehandlung sollte möglichst vor Laufbeginn beendet sein, da die zunehmende Mobilität des Kindes die Behandlung deutlich erschwert 8.
Konservative Therapie
Ausreifungsbehandlung
Die Hüfttypen IIa, IIb und IIc (stabil) sind stabil und nicht dezentriert. Diese Gelenke müssen somit nicht reponiert werden; eine Ausreifungsbehandlung ist hier ausreichend.
Breites Wickeln
Liegt eine physiologisch reifungsverzögerte Hüfte vom Typ IIa (+) vor, ist diese nicht behandlungsbedürftig, sondern nur kontrollbedürftig. Häufig wird jedoch traditionell das „breite Wickeln“ empfohlen. Hierfür werden dem Kind zwei Windeln übereinander angezogen (Abb. 3).
Nachreifungsorthese (z. B. Tübinger Hüftbeugeschiene, Mittelmeier-Graf-Orthese, Coxaflex etc.)
Für die Hüfttypen IIa (–), IIb und IIc stabil erfolgt die Ausreifung in einer Hüftbeuge-Abspreiz-Schiene. Hierfür gibt es auf dem Markt verschiedenste Modelle. Im Klinikalltag hat sich in der Klinik der Verfasser hierfür die Tübinger Hüftbeugeschiene nach Prof. Bernau bewährt, in der die Hüftgelenke ca. 100° flektiert und 50 bis 60° abduziert werden (Abb. 4). Neben einer guten Feinjustierung der Abspreizung und Beugung des Hüftgelenkes ist die Schiene für die Eltern einfach in der Handhabung 9. Es erfolgt eine Therapie mit vierwöchigen Kontrollsonografien. Nach Erreichen des Hüfttyps I nach Graf (α‑Winkel > 60°) kann die Ausreifungsbehandlung beendet werden.
Reposition
Liegt ein dezentriertes Hüftgelenk vom Typ IIc (instabil), Typ D, IIIa/b oder IV nach Graf vor, beginnt die Therapie mit einer Reposition des dezentrierten Hüftkopfes in die Hüftpfanne.
Manuelle Reposition
In den meisten Fällen kann das Hüftgelenk bei fehlender Abspreizhemmung mittels manueller Reposition ohne Traumatisierung des Gelenkes durch Einnahme der Fettweis-Position (100° Flexion und 60° Abduktion) zentriert werden. Gelingt die Reposition nicht spontan, kann eine Reposition des Hüftkopfes durch verschiedene Hilfsmittel erzielt werden.
Pavlik-Bandage
Die Pavlik-Bandage ist als Repositionsorthese geeignet und hat sich bei frühzeitigem Beginn im klinischen Alltag bewährt 10. Die Beine werden dabei in 110° Flexion langsam in eine Abduktion bis 60° überführt (Abb. 5). In dieser Position besteht das geringste Risiko der Entwicklung einer Hüftkopfnekrose, die durchschnittlich in 7 % der Fälle berichtet wird 11. Durch Strampelbewegungen der Beine des Säuglings führt die Pavlik-Bandage innerhalb von Tagen bis wenigen Wochen zur Reposition der Hüftgelenke. Der Therapieerfolg hängt jedoch maßgeblich von der Mitarbeit der Eltern ab, denn die Bandage darf trotz der vielen Riemen von den Eltern nicht abgenommen werden. Dies macht die Körperpflege im Alltag des Kindes sehr aufwendig. In wöchentlichen sonografischen Kontrollen werden der Therapieerfolg sowie die korrekte Anlage der Pavlik-Bandage kontrolliert. Die Altersbegrenzung für die Anwendung der Pavlik-Bandage liegt bei 9 Monaten, wobei eine Studie von Inoue et al. eine erhöhte Rate an Hüftkopfnekrosen bei Kindern mit einem Alter > 4 Monaten nachweisen konnte 12. Über Repositionserfolge wird in der Literatur bei 78 bis 92,7 % der Fälle berichtet 13.
Overhead-Extension
Bei älteren Kindern – als Alternative zur Pavlik-Bandage bei mangelnder Compliance der Eltern oder bei Kindern ohne Repositionserfolg in den ersten 4 Wochen – kann eine Overhead-Extension durchgeführt werden 14. Dabei werden die in 100° flektierten Beine des Säuglings unter Zug bis zur spontanen Reposition der Hüftgelenke in die Abduktion überführt. Ergänzend sollte eine krankengymnastische Übungsbehandlung zur Dehnung der verkürzten Muskulatur erfolgen. Die Dauer der Extensionsbehandlung beträgt 5 bis 10 Tage und sollte intermittierend sonografisch kontrolliert werden.
Retention
Nach einer erfolgreichen Zentrierung des Hüftkopfes in der primären Hüftpfanne besteht weiterhin ein instabiles Hüftgelenk, sodass eine wiederkehrende Reluxation verhindert werden muss. Das deformierte, hyalin-knorpelig präformierte Pfannendach in Kombination mit einer schlaffen Gelenkkapsel kann den Hüftkopf nicht stabil in der Hüftpfanne fixieren. Ein anatomisches Remodelling des knorpelig präformierten Pfannendaches ist jedoch nur bei sicherer Einstellung des Hüftkopfes in die Hüftpfanne möglich 15. In dieser Position kann der zentrierte Hüftkopf als Wachstumsreiz auf das Acetabulum wirken. Hierbei ist jeglicher kraniokaudale Druck auf das knorpelige Pfannendach zu vermeiden. Darüber hinaus führt die geschaffene Gelenkstabilität in der Retentionsphase zur Rückbildung der Elongation der Gelenkkapsel. Die Notwendigkeit zur Retentionsbehandlung besteht demnach bei allen ehemals dezentrierten Hüftgelenken Typ IIIa/b und IV sowie allen instabilen Hüftgelenken Typ IIc instabil und D. Hierfür stehen ebenfalls verschiedenste Orthesen zur Verfügung.
Orthesen
Es gibt verschiedenste Orthesen, um die geforderte Hüftgelenksstellung in der Retentionsphase zu halten, z. B. die Pavlik-Bandage, die Hoffmann-Daimler-Schiene oder die Düsseldorfer Schiene. Bei dieser Behandlungsmethode ist jedoch die Compliance der Eltern von entscheidender Bedeutung.
Fettweis-Gips
Nach erfolgter Reposition schließt sich in der Klinik der Verfasser daher standardmäßig eine Retention des Hüftgelenks im Fettweis-Gips an, da es sich dabei um die sicherste Methode der Retention handelt und sie von der Compliance der Eltern unabhängig ist. Die Anlage des Becken-Bein-Gipses erfolgt in 110° Flexion und 50 bis 60° Abduktion im Hüftgelenk (Abb. 6). In dieser Position zeigen sich die geringsten Raten an Hüftkopfnekrosen 16. Die Behandlungsdauer beträgt insgesamt 8 bis 12 Wochen, wobei alle 4 Wochen ein Gipswechsel in Sedierung sowie eine sonografische Verlaufskontrolle vor Neuanlage durchgeführt wird. Nach Gipsanlage erfolgt eine sonografische Kontrolle der Zentrierung des Hüftkopfes von ventral nach van Douveren 1718. Die Kontrolle mittels Kernspintomografie bleibt nur noch speziellen Indikationen vorbehalten 19.
Nachreifung
Nach Abschluss der Retentionsphase ist das Gelenk nun ausreichend stabil. Aufgrund der Ruhigstellung des Gelenkes ist die Gelenkkapsel straff geworden und der Hüftkopf tief in der Hüftpfanne eingestellt. Das Pfannendach ist jedoch noch nicht ausreichend knöchern ausgereift. Daher ist eine weitere Nachreifung des Hüftgelenks in Sitz-Hock-Position mittels Hüftbeuge-Orthese erforderlich, um das Pfannendach zu entlasten und eine erneute Deformierung zu vermeiden. Dafür ist eine Vielzahl von Orthesen geeignet, die Strampelbewegungen zulassen, z. B. die Graf-Mittelmeier-Spreizhose, die Tübinger Hüftbeugeschiene oder die Pavlik-Bandage. In der Klinik der Verfasser wird die Tübinger Hüftbeugeschiene aufgrund ihrer einfachen Handhabung verwendet. Ein Abschluss der Behandlung ist auch bei diesen Kindern erst nach Erreichen eines sonografischen Hüfttyps I nach Graf möglich.
Komplikationen nach Abspreiz- und Repositionsbehandlung
Die Hüftkopfnekrose ist eine gefürchtete Komplikation. Eine extreme bzw. maximale Abspreizung des Hüftgelenkes (Lorenzposition in 90° Hüftflexion und 90° Abduktion) ist daher unbedingt zu vermeiden, da dies überproportional häufig zur Hüftkopfnekrose führt.
Sonderform „Zerebrale Bewegungsstörungen“
Bei zerebralen Bewegungsstörungen ist eine konsequente motorische Förderung durch Krankengymnastik sowie eine Förderung der Vertikalisierung – gegebenenfalls mit Unterstützung durch Orthesen oder Hilfsmittel (z. B. im Stehständer) – entscheidend, um die Entwicklung einer Hüftdysplasie oder sogar Hüftluxation im Wachstum zu verhindern (Abb. 7). Bei ausgeprägter Spastik kann eine Therapie mit Botolinumtoxin durch einen hemmenden Effekt auf die spastisch überaktive Muskulatur operative Interventionen auf einen späteren Zeitpunkt verzögern oder sogar gänzlich vermeiden 20.
Operative Therapie
Offene Reposition
Wenn die Hüfte nicht geschlossen reponiert werden kann, muss eine offene Einstellung erfolgen. Grund hierfür können die teratologische Luxation oder ein Repositionshindernis sein. Im Fall einer hohen Hüftluxation ist gegebenenfalls zusätzlich eine Pfannendachplastik und/oder eine derotierende, varisierende Verkürzungsosteotomie des Femurs jenseits des 1. Lebensjahres nötig 21.
Indikation
Eine offene Reposition sollte im 1. und 2. Lebensjahr immer dann erfolgen, wenn eine geschlossene Reposition nicht gelingt. Im 1. Lebensjahr sollte kein Eingriff am Pfannendach erfolgen. Im 1. Lebensjahr wird eine offene Einstellung mit anschließender Gipsruhigstellung präferiert; ab dem 2. Lebensjahr sind gegebenenfalls ergänzende knöcherne Eingriffe bei Hüftluxation indiziert 22.
Nach erfolgreicher offener Reposition schließt sich bei Säuglingen ebenfalls eine Retentionsbehandlung im Sitz-Hock-Gips in Fettweis-Position für 12 Wochen sowie eine Ausreifungsbehandlung in einer Hüftbeuge-Abspreiz-Schiene an. Bei größeren Kindern erfolgt die Retention im gestreckten Becken-Bein-Gips in Abduktion.
Wichtig: Alle Hüftgelenke mit initialem Behandlungsbedarf müssen radiologisch zu den Zeitpunkten Laufbeginn, vor der Einschulung, zwischen dem 8. und 10. Lebensjahr sowie zum Wachstumsabschluss kontrolliert werden, da sich im Rahmen des Wachstums eine neuerliche Dysplasie entwickeln kann 2324252627.
Gelenkverbessernde Eingriffe
Patienten, die trotz frühzeitiger und optimaler Therapie radiologisch dennoch eine unbefriedigende Entwicklung der Hüftpfanne aufweisen, werden als „Therapieversager“ bezeichnet. Diese benötigen sekundär im Verlauf eine gelenkverbessernde Operation. Pfannendachverbessernde Eingriffe sollten zur Vermeidung von Verletzungen der Knochenkerne im Hüftpfannenbereich allerdings erst ab dem 2. Lebensjahr erfolgen.
Acetabuloplastik (z. B. nach Pemberton)
Hierbei handelt es sich um eine domförmige Osteotomie 1 cm oberhalb des Acetabulums in Richtung der y‑Fuge. Das Acetabulum kann im Anschluss nach ventral und lateral geschwenkt werden, wobei ein Knochenkeil die Korrektur stabilisiert. Drehzentrum der Korrektur ist die y‑Fuge 28. Eine Stabilisierung durch Osteosynthesematerial ist nicht notwendig (Abb. 8). Die Operation kann zeitgleich an beiden Hüftgelenken erfolgen. Der Eingriff eignet sich für Kinder zwischen dem 2. und 5. Lebensjahr. Die Indikation zur Pemberton-Osteotomie besteht insbesondere bei entrundeten und ausgeweiteten flachen Gelenkpfannen.
Salter-Beckenosteotomie
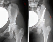
Dabei handelt sich um eine transversale Osteotomie oberhalb der Spina iliaca anterior inferior bis zum Foramen ischiadicum. Das Acetabulum kann im Anschluss nach ventrolateral geschwenkt werden. Das Drehzentrum hierbei liegt in der Symphyse. Die Osteotomie wird mittels K‑Drähten fixiert (Abb. 9). Der Eingriff eignet sich für Kinder zwischen dem 2. und 10. Lebensjahr 29. Dieses Verfahren sollte allerdings nicht zeitgleich an beiden Hüftgelenken durchgeführt werden.
Triple-Beckenosteotomie nach Tönnis und Kalchschmidt
Bei älteren Kindern und Jugendlichen mit zunehmender Skelettreife sind die Flexibilität des Beckens und somit auch das Korrekturausmaß mit einer einfachen Beckenosteotomie nicht mehr ausreichend. Bei schweren Dysplasien wird nahe dem Acetabulum das Os ischii, das Os pubis und das Os ilium osteotomiert. Nun kann die Hüftpfanne in eine beliebige Richtung geschwenkt werden. Ziel ist eine bessere Überdachung im mechanisch bedeutsamen ventralen und lateralen Anteil. Im Anschluss erfolgt eine Stabilisierung mittels Schraubenosteosynthese im Bereich des Os ilium 3031 (Abb. 10). Allerdings sollte dabei eine Überkorrektur vermieden werden. Das beste Outcome konnte für CE-Winkel nach Wiberg zwischen 25° und 35° gezeigt werden 32.
Chiari-Beckenosteotomie
Bei diesem OP-Verfahren wird das Os ilium auf Höhe des Pfannenerkers osteotomiert. Der kraniale Anteil des Os ilium wird nach lateral über den Hüftkopf mobilisiert. Das nach lateral vergrößerte Pfannendach besitzt jedoch keinen Überzug aus hyalinem Knorpel; lediglich die Kapsel dient als Interponat zwischen Hüftkopf und Pfannendach. Die Indikation ist daher nur sehr streng bei asphärischen Pfannen mit inkongruenter Gelenksituation als „Salvage Procedure“ zu stellen 33.
Osteotomien des proximalen Femurs
Im Bereich des proximalen Femurs kann als ergänzende Maßnahme die intertrochantäre varisierende, derotierende Osteotomie zur Gelenkzentrierung beitragen. Hierbei kann die tiefe Einstellung des Hüftkopfes in die Pfanne verbessert werden 34. Eine Stabilisierung erfolgt mittels Winkelplattenosteosynthese.
Nachbehandlung
Bei der Pemberton- und Salter-Osteotomie erfolgt im Kleinkindesalter postoperativ die Ruhigstellung im Becken-Bein-Gips für 6 Wochen postoperativ. Ältere Kinder können bei guter Compliance und stabilen Verhältnissen auch gipsfrei nachbehandelt werden. Nach einer Triple-Osteotomie erfolgt eine 12-wöchige Entlastung sowie eine 6‑wöchige Limitierung der Flexion im Hüftgelenk auf 60°. Zur Einhaltung der Flexionslimitierung benötigt das Kind ein Arthrodesekissen.
Sonderform „Zerebrale Bewegungsstörungen“
Bei jüngeren Kindern mit Zerebralparese oder Kindern mit leichterer Form einer Subluxation des Hüftgelenks kann ein reiner Weichteileingriff in Form einer Adduktorentenotomie ausreichend sein, um das Muskelungleichgewicht zu beseitigen. Es kommt dabei zu einer Normalisierung der weiteren Hüftentwicklung. Bei manchen Kindern zeigt sich jedoch ein Rezidiv mit Überwiegen der Adduktoren. In diesen Fällen kommt es über die Entwicklung einer Coxa valga zu einer Progredienz der neurogenen Hüftdysplasie und einer zunehmenden Lateralisierung des Femurkopfes bis hin zur Luxation. Bei diesen Kindern ist eine intertrochantäre derotierende varisierende Osteotomie und bei ausgeprägter Pfannendysplasie eine zusätzliche Beckenosteotomie erforderlich. Um postoperativ einem erneuten Überwiegen der Adduktoren entgegenzuwirken, sollte eine Lagerung in einer nach Maß angefertigten Ganzkörper-Abduktionslagerungsschale erfolgen (Abb. 11).
Fazit
Die Hüftdysplasie ist auch heute noch die häufigste Erkrankung des Stütz- und Bewegungsapparates im Säuglingsalter. Unbehandelt kann sie in Abhängigkeit von der Schwere der Fehlbildung zu erheblichen Behinderungen führen. Durch die Einführung des Ultraschall-Screenings im Rahmen der Kinderuntersuchung U3 können durch frühzeitige Diagnosestellung und Therapiebeginn schwere Krankheitsverläufe meist verhindert werden. Denn insbesondere in den ersten Lebenswochen lassen sich exzellente Therapieergebnisse erzielen. Hier ist in den meisten Fällen bereits ein konservatives Vorgehen ausreichend.
Für die Autoren:
Dr. Daniela Weinmann
Orthopädische Universitätsklinik Friedrichsheim
Marienburgstraße 2
60528 Frankfurt a. M.
daniela.weinmann@friedrichsheim.de
Begutachteter Beitrag/reviewed paper
Weinmann D, Adolf S, Ninck S, Meurer A. Behandlung der kindlichen Hüftdysplasie aus Sicht des Klinikers. Orthopädie Technik, 2018; 69 (2): 32–37
| Hüfttyp | knöcherne Formgebung | knöcherner Erker | Knorpeldach | Alpha | Beta | |
|---|---|---|---|---|---|---|
| Typ I | “reifes” Hüftelenk” | gut | eckig/stumpf | übergreifend (schmal) | > 60° | |
| Typ II | ||||||
| Typ II a ( 3 Monate) | “physiologisch unreif” | |||||
| Typ II a plus | “altersentsprechend” | ausreichend | rund | breit, übergreifend | 50–59° | |
| Typ II a minus | “mit Reifungsdefizit” | mangelhaft | rund | verbreitert, übergreifend | 50–59° | |
| Typ II b (> 3 Monate) | “Verknöcherungsstörung” | mangelhaft | rund | verbreitert, übergreifend | 50–59° | |
| Typ II c (jedes Alter) | “Gefährdungsbereich” | hochgradig mangelhaft | rund bis flach | verbreitert, aber gerade noch übergreifend | 43–49° | 77° |
| Typ D (jedes Alter) | “am Dezentrieren” | hochgradig mangelhaft | rund bis flach | verdrängt | 43–49° | > 77° |
| Typ III | “dezentriertes Gelenk” | |||||
| Typ III a | schlecht | flach | nach kranial verdrängt, ohne Strukturstörungen | 43° | ||
| Typ III b | schlecht | flach | nach kranial verdrängt, mit Strukturstörungen | 43° | ||
| Typ IV | “dezentriertes Gelenk” | schlecht | flach | nach mediokaudal verdrängt | 43° |
- Entwicklung eines zum physiologischen Gangbild kongruenten polyzentrischen Knieorthesengelenks – Zwischenstand eines Forschungsprojektes — 10. April 2026
- Mikroprozessorgesteuerte stand- und schwungphasenkontrollierte Ganzbeinorthesen (SSCO): Entwicklung, Systeme und Versorgungsrealität in der orthopädietechnischen Praxis — 9. April 2026
- Gips oder Orthese bei distalen Radiusfrakturen? — 8. April 2026
- Dogruel H, Atalar H, Yavuz OY, Sayli U. Clinical examination versus ultrasonography in detecting developmental dysplasia of the hip. Int Orthop, 2008; 32: 415–419
- Tönnis D, Storch K, Ulbrich H. Results of newborn screening for CDH with and without sonography and correlation of risk factors. J Pediatr Orthop, 1990; 10: 145–152
- Tschauner C, Klapsch W, Baumgartner A, et al. Maturation curve of the ultrasonographic alpha angle according to Graf’s untreated hip joint in the first year of life. Z Orthop Ihre Grenzgeb, 1994; 132: 502–504
- Graf R. Die sonographiegesteuerte Therapie. Orthopäde, 1997; 26: 33–42
- Inoue T, Naito M, Nomiyama H. Treatment of developmental dysplasia of the hip with the Pavlik harness: factors for predicting unsuccessful reduction. J Pediatr Orthop, 2001; B 10: 186–191
- Schwend RM, Schonecker P, Stephens Richards BS, Flynn JM, Vitale M. Screening the newborn for developmental dysplasia of the hip. J Pediatr Orthop, 2007; 27: 607–610
- Senaran H, Bowen JR, Harcke HA. Avascular necrosis rate in early reduction after failed Pavlik harness treatment of developmental dysplasia of the hip. J Pediatr Orthop, 2007; 27: 192–197
- Tönnis D. Die angeborene Hüftdysplasie und Luxation im Kindes- und Erwachsenenalter. Berlin, Heidelberg, New York: Springer-Verlag, 1984
- Nelitz M, Reichel H. Konservative Behandlung der Hüftreifungsstörung. Orthopäde, 2008; 37: 550–555
- Pavlik A. Method of functional therapy with strap braces as a principle of conservative therapy of congenital dislocation of the hip in infants. Z Orthop Ihre Grenzgeb, 1957; 89: 341–352
- Graf R. Die sonographiegesteuerte Therapie. Orthopäde, 1997; 26: 33–42
- Inoue T, Naito M, Nomiyama H. Treatment of developmental dysplasia of the hip with the Pavlik harness: factors for predicting unsuccessful reduction. J Pediatr Orthop, 2001; B 10: 186–191
- Graf R. Die sonographiegesteuerte Therapie. Orthopäde, 1997; 26: 33–42
- Mau H. Technics in American orthopedics. Arch Orthop Unfallchir, 1956; 48: 288–292
- Graf R. Die sonographiegesteuerte Therapie. Orthopäde, 1997; 26: 33–42
- Tönnis D. Die angeborene Hüftdysplasie und Luxation im Kindes- und Erwachsenenalter. Berlin, Heidelberg, New York: Springer-Verlag, 1984
- Eberhardt O, Zieger M, Wirth T, Fernandez FF. Der transinguinale Ultraschall zur Bestimmung der Hüftkopfzentrierung in der Behandlung der Hüftdysplasie und Hüftluxation. Z Orthop Unfall, 2009; 147 (6): 727–733
- van Douveren F, Pruijs H, Sakkers R, et al. Ultrasound in the management of the position of the femoral head during spica cast after reduction of the hip dislocation in developmental dysplasia of the hip. J Bone Joint Surg Br, 2003; 85: 117–120
- Franke J, Lazovic D, Lotz J, Rühmann O, Wirth CJ. Die Magnetresonanztomographie als Therapiekontrolle nach Repositionsbehandlung bei kongenitaler Hüftluxation. Z Orthop, 1998; 136: 205–209
- Molenaers G, Desloovere K, Fabry G, De Cock P. The effects of quantitative gait assessment and botulinum toxin a on musculoskeletal surgery in children with cerebral palsy. J Bone Joint Surg Am, 2006; 88 (1): 161–170
- Baumgart K, Mellerowicz H. Hüftdysplasie. Orthopädie und Unfallchirurgie up2date, 2013; 8 (1): 3–22
- Manig M. Hüftgelenk. In: Ruchholtz S, Wirtz DC (Hrsg.). Essentials Intensivkurs zur Weiterbildung Orthopädie und Unfallchirurgie. Stuttgart: Thieme Verlag, 2013: 292–310
- Schwend RM, Schonecker P, Stephens Richards BS, Flynn JM, Vitale M. Screening the newborn for developmental dysplasia of the hip. J Pediatr Orthop, 2007; 27: 607–610
- Tönnis D. Die angeborene Hüftdysplasie und Luxation im Kindes- und Erwachsenenalter. Berlin, Heidelberg, New York: Springer-Verlag, 1984
- Graf R. Hüftsonographie: Ein Update. Orthopäde, 2002; 31: 181–189
- Nakamura J, Kamegaya M, Saisu T, Someya M, Koizumi W, Moriya H. Treatment for developmental dysplasia of the hip using the Pavlik harness. J Bone Joint Surg Br, 2007; 89: 230–235
- Wenger DR. Is there a role for acetabular dysplasia correction in an asymptomatic patient? J Pediatr Orthop, 2013; 33 (Suppl 1): S8–S12
- Krieg AH, Hefti F. Beckenosteotomie nach Dega und Pemberton. Orthopäde, 2016; 45 (8): 653–658
- Schulze A, Tingart M. Innominatumosteotomie nach Salter. Orthopäde, 2016; 45 (8): 659–665
- Tönnis D. Hüftdysplasie – Was ist bei der dreifachen Beckenosteotomie zu beachten? Z Orthop Unfallchir, 2008; 146 (5): 564–569
- Zahedi AR, Kalchschmidet K, Katthagen BD. Dreifache Beckenosteotomie nach Tönnis und Kalchschmidt. Oper Orthop Traumatol, 2013; 25: 457–468
- Büchler L, Beck M, Gollwitzer H, Katthagen BD, Zahedi AR. Gelenkerhaltende Hüftchirurgie im Erwachsenenalter. Orthopäde, 2012; 41: 925–936
- Manig M. Hüftgelenk. In: Ruchholtz S, Wirtz DC (Hrsg.). Essentials Intensivkurs zur Weiterbildung Orthopädie und Unfallchirurgie. Stuttgart: Thieme Verlag, 2013: 292–310
- Jäger M, Westhoff B, Zilkens C, Weimann-Stahlschmidt K, Krauspe R. Indikation und Ergebnisse hüftnaher Osteotomien bei Dysplasie. Orthopäde, 2008; 37: 556–576













